Calcified Coronary Artery Disease: Pathology, Prevalence, Predictors and Impact on Outcomes.

IF 2.8 0 PHILOSOPHY
Interventional Cardiology Review Pub Date : 2025-02-14 eCollection Date: 2025-01-01 DOI:10.15420/icr.2024.20
Angela McInerney, Seán O Hynes, Nieves Gonzalo
{"title":"Calcified Coronary Artery Disease: Pathology, Prevalence, Predictors and Impact on Outcomes.","authors":"Angela McInerney, Seán O Hynes, Nieves Gonzalo","doi":"10.15420/icr.2024.20","DOIUrl":null,"url":null,"abstract":"<p><p>Calcified coronary artery disease is a common clinical finding and is visible angiographically in 25-30% of patients presenting for percutaneous coronary intervention. The presence of coronary calcium, even without coronary artery obstruction, confers an adverse clinical prognosis. Coronary calcium score on CT is additive in predicting risk of cardiovascular events beyond traditional scoring systems. Deposition of calcium in coronary arteries is initiated by the formation of an atherosclerotic plaque. Thereafter, multiple processes and pathways are involved, resulting in initial microcalcifications that coalesce into calcium sheets. Calcified nodules are thought to occur from rupture of these sheets. Calcified coronary stenoses requiring revascularisation result in greater target lesion failure and overall major adverse cardiovascular events than noncalcified lesions, regardless of the mode of revascularisation. Modifying calcium prior to stenting to optimise stent expansion is required and intracoronary imaging can greatly facilitate not only the detection of coronary calcium, but also the confirmation of adequate modification and stent optimisation. In this review, the authors examine the pathophysiology, prevalence, predictors and impact on outcomes of coronary calcium.</p>","PeriodicalId":38586,"journal":{"name":"Interventional Cardiology Review","volume":"20 ","pages":"e02"},"PeriodicalIF":2.8000,"publicationDate":"2025-02-14","publicationTypes":"Journal Article","fieldsOfStudy":null,"isOpenAccess":false,"openAccessPdf":"https://www.ncbi.nlm.nih.gov/pmc/articles/PMC11865672/pdf/","citationCount":"0","resultStr":null,"platform":"Semanticscholar","paperid":null,"PeriodicalName":"Interventional Cardiology Review","FirstCategoryId":"1085","ListUrlMain":"https://doi.org/10.15420/icr.2024.20","RegionNum":0,"RegionCategory":null,"ArticlePicture":[],"TitleCN":null,"AbstractTextCN":null,"PMCID":null,"EPubDate":"2025/1/1 0:00:00","PubModel":"eCollection","JCR":"0","JCRName":"PHILOSOPHY","Score":null,"Total":0}
引用次数: 0

Abstract

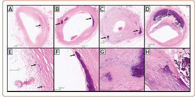
Calcified coronary artery disease is a common clinical finding and is visible angiographically in 25-30% of patients presenting for percutaneous coronary intervention. The presence of coronary calcium, even without coronary artery obstruction, confers an adverse clinical prognosis. Coronary calcium score on CT is additive in predicting risk of cardiovascular events beyond traditional scoring systems. Deposition of calcium in coronary arteries is initiated by the formation of an atherosclerotic plaque. Thereafter, multiple processes and pathways are involved, resulting in initial microcalcifications that coalesce into calcium sheets. Calcified nodules are thought to occur from rupture of these sheets. Calcified coronary stenoses requiring revascularisation result in greater target lesion failure and overall major adverse cardiovascular events than noncalcified lesions, regardless of the mode of revascularisation. Modifying calcium prior to stenting to optimise stent expansion is required and intracoronary imaging can greatly facilitate not only the detection of coronary calcium, but also the confirmation of adequate modification and stent optimisation. In this review, the authors examine the pathophysiology, prevalence, predictors and impact on outcomes of coronary calcium.

Abstract Image

Abstract Image

Abstract Image

钙化冠状动脉疾病:病理学、患病率、预测因素和对结果的影响
钙化冠状动脉疾病是一种常见的临床表现,在25-30%接受经皮冠状动脉介入治疗的患者中可见。冠状动脉钙的存在,即使没有冠状动脉阻塞,也会导致不良的临床预后。CT冠状动脉钙化评分在预测心血管事件风险方面比传统评分系统更具附加价值。冠状动脉中的钙沉积是由动脉粥样硬化斑块的形成引起的。此后,涉及多个过程和途径,导致最初的微钙化合并成钙片。钙化结节被认为是由这些薄片破裂引起的。与非钙化病变相比,需要血管重建的钙化冠状动脉狭窄导致更大的靶病变失败和总体主要心血管不良事件,无论血管重建模式如何。需要在支架置入前修改钙以优化支架扩张,冠状动脉内成像不仅可以极大地促进冠状动脉钙的检测,而且可以确认适当的修改和支架优化。在这篇综述中,作者研究了冠状动脉钙化的病理生理、患病率、预测因素及其对结果的影响。
本文章由计算机程序翻译,如有差异,请以英文原文为准。
求助全文
约1分钟内获得全文 求助全文
来源期刊
Interventional Cardiology Review
Interventional Cardiology Review Medicine-Cardiology and Cardiovascular Medicine
CiteScore
0.30
自引率
0.00%
发文量
18
审稿时长
12 weeks
×
引用
GB/T 7714-2015
复制
MLA
复制
APA
复制
导出至
BibTeX EndNote RefMan NoteFirst NoteExpress
×
提示
您的信息不完整,为了账户安全,请先补充。
现在去补充
×
提示
您因"违规操作"
具体请查看互助需知
我知道了
×
提示
确定
请完成安全验证×
copy
已复制链接
快去分享给好友吧!
我知道了
右上角分享
点击右上角分享
0
联系我们:info@booksci.cn Book学术提供免费学术资源搜索服务,方便国内外学者检索中英文文献。致力于提供最便捷和优质的服务体验。 Copyright © 2023 布克学术 All rights reserved.
京ICP备2023020795号-1
ghs 京公网安备 11010802042870号
Book学术文献互助
Book学术文献互助群
群 号:604180095
Book学术官方微信