Idiopathic Intracoronal Resorption of Permanent Molars: A Report of Two Cases.

IF 0.9 Q4 DENTISTRY, ORAL SURGERY & MEDICINE
Case Reports in Dentistry Pub Date : 2025-02-22 eCollection Date: 2025-01-01 DOI:10.1155/crid/9610040
Krasimir Hristov, Victoria Zlateva
{"title":"Idiopathic Intracoronal Resorption of Permanent Molars: A Report of Two Cases.","authors":"Krasimir Hristov, Victoria Zlateva","doi":"10.1155/crid/9610040","DOIUrl":null,"url":null,"abstract":"<p><p>Intracoronal resorption (IR) is a condition characterized by the presence of lesions in the dentin of unerupted or erupting teeth, usually located just below the enamel-dentin junction in the occlusal part of the crown. This article presents two cases of IR-one with and one without pulp involvement. In both cases, the teeth were asymptomatic, and the lesions were discovered during routine checkups. The first case presents pre-eruptive IR with pulp involvement in an immature mandibular molar. To preserve the vitality of the growth zone and complete root development, vital pulp therapy was performed through total coronal pulpotomy and application of Biodentine. The second case is also of a mandibular molar with incomplete root development, but although it initially resembled invasive cervical resorption, treatment revealed that the granulation tissue was surrounded by intact enamel and did not affect the pulp or root of the tooth. No carious lesion was found. The tooth was conventionally restored with a composite filling.</p>","PeriodicalId":46841,"journal":{"name":"Case Reports in Dentistry","volume":"2025 ","pages":"9610040"},"PeriodicalIF":0.9000,"publicationDate":"2025-02-22","publicationTypes":"Journal Article","fieldsOfStudy":null,"isOpenAccess":false,"openAccessPdf":"https://www.ncbi.nlm.nih.gov/pmc/articles/PMC11871979/pdf/","citationCount":"0","resultStr":null,"platform":"Semanticscholar","paperid":null,"PeriodicalName":"Case Reports in Dentistry","FirstCategoryId":"1085","ListUrlMain":"https://doi.org/10.1155/crid/9610040","RegionNum":0,"RegionCategory":null,"ArticlePicture":[],"TitleCN":null,"AbstractTextCN":null,"PMCID":null,"EPubDate":"2025/1/1 0:00:00","PubModel":"eCollection","JCR":"Q4","JCRName":"DENTISTRY, ORAL SURGERY & MEDICINE","Score":null,"Total":0}
引用次数: 0

Abstract

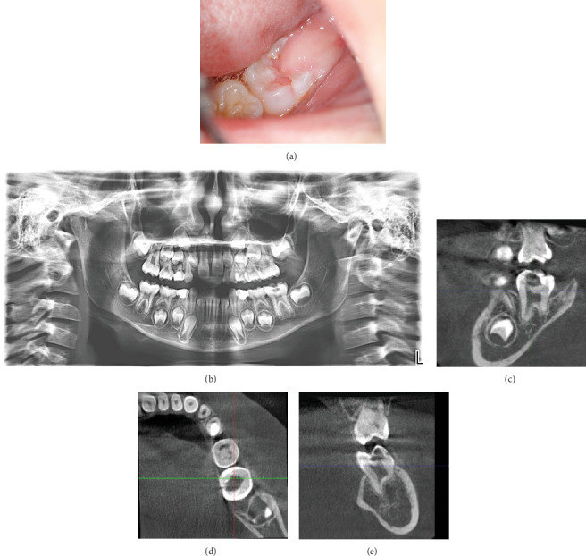
Intracoronal resorption (IR) is a condition characterized by the presence of lesions in the dentin of unerupted or erupting teeth, usually located just below the enamel-dentin junction in the occlusal part of the crown. This article presents two cases of IR-one with and one without pulp involvement. In both cases, the teeth were asymptomatic, and the lesions were discovered during routine checkups. The first case presents pre-eruptive IR with pulp involvement in an immature mandibular molar. To preserve the vitality of the growth zone and complete root development, vital pulp therapy was performed through total coronal pulpotomy and application of Biodentine. The second case is also of a mandibular molar with incomplete root development, but although it initially resembled invasive cervical resorption, treatment revealed that the granulation tissue was surrounded by intact enamel and did not affect the pulp or root of the tooth. No carious lesion was found. The tooth was conventionally restored with a composite filling.

Abstract Image

Abstract Image

Abstract Image

恒磨牙特发性冠内吸收2例报告。
冠状内吸收(IR)是一种以未萌牙或萌牙的牙本质出现病变为特征的疾病,通常位于牙冠咬合部分的牙釉质-牙本质交界处下方。本文介绍了两例ir - 1伴髓部受累和不伴髓部受累的病例。在这两个病例中,牙齿都是无症状的,病变是在常规检查中发现的。第一个病例表现为未成熟下颌磨牙牙髓受累的出牙前IR。为了保持生长区的活力和根的完整发育,我们通过冠状全髓切开术和使用百妥妥定进行了重要的牙髓治疗。第二个病例也是牙根发育不全的下颌磨牙,虽然最初类似于侵袭性颈椎吸收,但治疗显示肉芽组织被完整的牙釉质包围,不影响牙髓或牙根。未见龋齿。这颗牙齿通常是用复合填充物修复的。
本文章由计算机程序翻译,如有差异,请以英文原文为准。
求助全文
约1分钟内获得全文 求助全文
来源期刊
Case Reports in Dentistry
Case Reports in Dentistry DENTISTRY, ORAL SURGERY & MEDICINE-
CiteScore
1.40
自引率
12.50%
发文量
107
审稿时长
14 weeks
期刊介绍: Case Reports in Dentistry is a peer-reviewed, Open Access journal that publishes case reports and case series in all areas of dentistry, including periodontal diseases, dental implants, oral pathology, as well as oral and maxillofacial surgery.
×
引用
GB/T 7714-2015
复制
MLA
复制
APA
复制
导出至
BibTeX EndNote RefMan NoteFirst NoteExpress
×
提示
您的信息不完整,为了账户安全,请先补充。
现在去补充
×
提示
您因"违规操作"
具体请查看互助需知
我知道了
×
提示
确定
请完成安全验证×
copy
已复制链接
快去分享给好友吧!
我知道了
右上角分享
点击右上角分享
0
联系我们:info@booksci.cn Book学术提供免费学术资源搜索服务,方便国内外学者检索中英文文献。致力于提供最便捷和优质的服务体验。 Copyright © 2023 布克学术 All rights reserved.
京ICP备2023020795号-1
ghs 京公网安备 11010802042870号
Book学术文献互助
Book学术文献互助群
群 号:604180095
Book学术官方微信