Ureteral Haemangiosarcoma in a Dog: Rare Primary Tumour With Unusual Metastasis to the Contralateral Kidney.

Q3 Veterinary
Case Reports in Veterinary Medicine Pub Date : 2025-02-05 eCollection Date: 2025-01-01 DOI:10.1155/crve/3429069
Kacper Żebrowski, Małgorzata Kandefer-Gola, Jolanta Bujok, Wojciech Borawski, Stanisław Dzimira
{"title":"Ureteral Haemangiosarcoma in a Dog: Rare Primary Tumour With Unusual Metastasis to the Contralateral Kidney.","authors":"Kacper Żebrowski, Małgorzata Kandefer-Gola, Jolanta Bujok, Wojciech Borawski, Stanisław Dzimira","doi":"10.1155/crve/3429069","DOIUrl":null,"url":null,"abstract":"<p><p>A dog (neutered male, 11 years old, Labrador retriever) underwent abdominal ultrasound, which revealed a 7 cm diameter tumour (caudal region of the left kidney). The animal showed symptoms of weight loss, apathy, haematuria, and abdominal pain. A computed tomography (CT) scan confirmed the presence of a tumour originating from the ureter. Following surgery to remove the ureter with the attached kidney, a histopathological examination was performed. The tumour was classified as a haemangiosarcoma. After the initial recovery, 2 months after surgery, the dog was diagnosed with a tumour in the other kidney. A fine needle biopsy was carried out. A haemangiosarcoma metastasis was suspected. Neoplasms of the ureter are a rare pathology. This is the first case in which metastasis to the second kidney has been confirmed.</p>","PeriodicalId":37339,"journal":{"name":"Case Reports in Veterinary Medicine","volume":"2025 ","pages":"3429069"},"PeriodicalIF":0.0000,"publicationDate":"2025-02-05","publicationTypes":"Journal Article","fieldsOfStudy":null,"isOpenAccess":false,"openAccessPdf":"https://www.ncbi.nlm.nih.gov/pmc/articles/PMC11870759/pdf/","citationCount":"0","resultStr":null,"platform":"Semanticscholar","paperid":null,"PeriodicalName":"Case Reports in Veterinary Medicine","FirstCategoryId":"1085","ListUrlMain":"https://doi.org/10.1155/crve/3429069","RegionNum":0,"RegionCategory":null,"ArticlePicture":[],"TitleCN":null,"AbstractTextCN":null,"PMCID":null,"EPubDate":"2025/1/1 0:00:00","PubModel":"eCollection","JCR":"Q3","JCRName":"Veterinary","Score":null,"Total":0}
引用次数: 0

Abstract

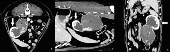
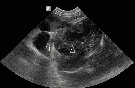
A dog (neutered male, 11 years old, Labrador retriever) underwent abdominal ultrasound, which revealed a 7 cm diameter tumour (caudal region of the left kidney). The animal showed symptoms of weight loss, apathy, haematuria, and abdominal pain. A computed tomography (CT) scan confirmed the presence of a tumour originating from the ureter. Following surgery to remove the ureter with the attached kidney, a histopathological examination was performed. The tumour was classified as a haemangiosarcoma. After the initial recovery, 2 months after surgery, the dog was diagnosed with a tumour in the other kidney. A fine needle biopsy was carried out. A haemangiosarcoma metastasis was suspected. Neoplasms of the ureter are a rare pathology. This is the first case in which metastasis to the second kidney has been confirmed.

Abstract Image

Abstract Image

Abstract Image

犬输尿管血管肉瘤:罕见原发肿瘤伴不寻常的对侧肾脏转移。
一只11岁绝育雄性拉布拉多猎犬接受腹部超声检查,发现一个直径7厘米的肿瘤(左肾尾侧)。动物表现出体重减轻、冷漠、血尿和腹痛的症状。计算机断层扫描(CT)证实存在肿瘤起源于输尿管。手术切除输尿管及附肾后,进行组织病理学检查。该肿瘤被归类为血管肉瘤。术后2个月的初步恢复后,狗被诊断出另一个肾脏有肿瘤。进行了细针活检。怀疑血管肉瘤转移。输尿管肿瘤是一种罕见的病理。这是第一例被证实转移到第二肾的病例。
本文章由计算机程序翻译,如有差异,请以英文原文为准。
求助全文
约1分钟内获得全文 求助全文
来源期刊
Case Reports in Veterinary Medicine
Case Reports in Veterinary Medicine Veterinary-Veterinary (all)
CiteScore
0.70
自引率
0.00%
发文量
14
审稿时长
13 weeks
期刊介绍: Case Reports in Veterinary Medicine is a peer-reviewed, Open Access journal that publishes case reports and case series in all areas of veterinary medicine.
×
引用
GB/T 7714-2015
复制
MLA
复制
APA
复制
导出至
BibTeX EndNote RefMan NoteFirst NoteExpress
×
提示
您的信息不完整,为了账户安全,请先补充。
现在去补充
×
提示
您因"违规操作"
具体请查看互助需知
我知道了
×
提示
确定
请完成安全验证×
copy
已复制链接
快去分享给好友吧!
我知道了
右上角分享
点击右上角分享
0
联系我们:info@booksci.cn Book学术提供免费学术资源搜索服务,方便国内外学者检索中英文文献。致力于提供最便捷和优质的服务体验。 Copyright © 2023 布克学术 All rights reserved.
京ICP备2023020795号-1
ghs 京公网安备 11010802042870号
Book学术文献互助
Book学术文献互助群
群 号:604180095
Book学术官方微信