Clinical relevance of plasma-derived exosomal long non-coding RNAs (lncRNAs) CCAT1 and XIST in colorectal cancer patients.

IF 1 Q4 BIOCHEMISTRY & MOLECULAR BIOLOGY
Fatemeh Dana, Soleiman Mahjoub, Zahra Shokati Eshkiki, Abolfazl Namazi, Seidamir Pasha Tabaeian, Abolfazl Akbari
{"title":"Clinical relevance of plasma-derived exosomal long non-coding RNAs (lncRNAs) CCAT1 and XIST in colorectal cancer patients.","authors":"Fatemeh Dana, Soleiman Mahjoub, Zahra Shokati Eshkiki, Abolfazl Namazi, Seidamir Pasha Tabaeian, Abolfazl Akbari","doi":"10.22099/mbrc.2025.51654.2061","DOIUrl":null,"url":null,"abstract":"<p><p>The expression level of exosomal long non-coding RNAs (lncRNAs) can be relevant for clinical diagnostic approaches. The object of our study was to evaluate the differential expression of lncRNAs colon cancer associated transcript 1 (CCAT1) and X-inactive specific transcript (XIST) in plasma exosomes of colorectal cancer (CRC) patients and investigate their potential as clinical biomarkers. In a case-control study, 62 CRC patients and 62 healthy persons were studied. Plasma exosomes were isolated by a centrifugation approach and were characterized by microscopy and western blotting. After RNA extraction and cDNA synthesis, using real-time PCR technique, the relative expression of lncRNAs was evaluated. The expression levels of lncRNA CCAT1, but not XIST, were meaningfully increased in the plasma-derived exosomes of CRC patients compared to non-cancer individuals (p= 0.001, 0.083 respectively). Further analyses revealed that the expression levels of exosomal lncRNA CCAT1 were associated with the lymphovascular invasion and tumor differentiation (p<0.05). ROC curve analysis documented a diagnostic power for lncRNA CCAT1 in CRC with a sensitivity of 79% and a specificity of 80% with an optimal cutoff point 6.5, with an area under curve (AUC)=86% and p<0.0001. Also, lncRNA XIST revealed a sensitivity of 62% and a specificity of 61% with a cutoff point 2.4, with an AUC=65%. Our findings indicated the potential of plasma-derived exosomal lncRNA CCAT1 as a non-invasive clinical indicator for the diagnosis of CRC patients.</p>","PeriodicalId":19025,"journal":{"name":"Molecular Biology Research Communications","volume":"14 2","pages":"157-166"},"PeriodicalIF":1.0000,"publicationDate":"2025-01-01","publicationTypes":"Journal Article","fieldsOfStudy":null,"isOpenAccess":false,"openAccessPdf":"https://www.ncbi.nlm.nih.gov/pmc/articles/PMC11865934/pdf/","citationCount":"0","resultStr":null,"platform":"Semanticscholar","paperid":null,"PeriodicalName":"Molecular Biology Research Communications","FirstCategoryId":"1085","ListUrlMain":"https://doi.org/10.22099/mbrc.2025.51654.2061","RegionNum":0,"RegionCategory":null,"ArticlePicture":[],"TitleCN":null,"AbstractTextCN":null,"PMCID":null,"EPubDate":"","PubModel":"","JCR":"Q4","JCRName":"BIOCHEMISTRY & MOLECULAR BIOLOGY","Score":null,"Total":0}
引用次数: 0

Abstract

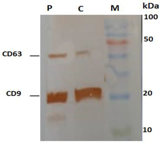
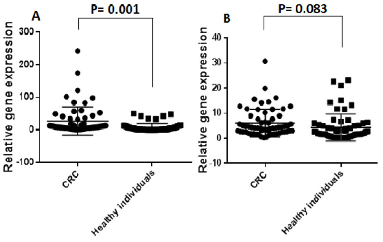
The expression level of exosomal long non-coding RNAs (lncRNAs) can be relevant for clinical diagnostic approaches. The object of our study was to evaluate the differential expression of lncRNAs colon cancer associated transcript 1 (CCAT1) and X-inactive specific transcript (XIST) in plasma exosomes of colorectal cancer (CRC) patients and investigate their potential as clinical biomarkers. In a case-control study, 62 CRC patients and 62 healthy persons were studied. Plasma exosomes were isolated by a centrifugation approach and were characterized by microscopy and western blotting. After RNA extraction and cDNA synthesis, using real-time PCR technique, the relative expression of lncRNAs was evaluated. The expression levels of lncRNA CCAT1, but not XIST, were meaningfully increased in the plasma-derived exosomes of CRC patients compared to non-cancer individuals (p= 0.001, 0.083 respectively). Further analyses revealed that the expression levels of exosomal lncRNA CCAT1 were associated with the lymphovascular invasion and tumor differentiation (p<0.05). ROC curve analysis documented a diagnostic power for lncRNA CCAT1 in CRC with a sensitivity of 79% and a specificity of 80% with an optimal cutoff point 6.5, with an area under curve (AUC)=86% and p<0.0001. Also, lncRNA XIST revealed a sensitivity of 62% and a specificity of 61% with a cutoff point 2.4, with an AUC=65%. Our findings indicated the potential of plasma-derived exosomal lncRNA CCAT1 as a non-invasive clinical indicator for the diagnosis of CRC patients.

Abstract Image

Abstract Image

Abstract Image

结直肠癌患者血浆源性外泌体长链非编码rna (lncRNAs) CCAT1和XIST的临床相关性
外泌体长链非编码rna (lncRNAs)的表达水平可能与临床诊断方法相关。本研究的目的是评估lncRNAs结肠癌相关转录本1 (CCAT1)和x无活性特异性转录本(XIST)在结直肠癌(CRC)患者血浆外泌体中的差异表达,并探讨其作为临床生物标志物的潜力。在一项病例对照研究中,对62例结直肠癌患者和62名健康人进行了研究。用离心法分离血浆外泌体,并用显微镜和免疫印迹法进行鉴定。提取RNA合成cDNA后,采用实时荧光定量PCR技术,检测lncRNAs的相对表达量。与非癌症个体相比,CRC患者血浆源性外泌体中lncRNA CCAT1而非XIST的表达水平显著升高(p分别= 0.001和0.083)。进一步的分析显示外泌体lncRNA CCAT1的表达水平与淋巴血管侵袭和肿瘤分化有关(p
本文章由计算机程序翻译,如有差异,请以英文原文为准。
求助全文
约1分钟内获得全文 求助全文
来源期刊
Molecular Biology Research Communications
Molecular Biology Research Communications BIOCHEMISTRY & MOLECULAR BIOLOGY-
CiteScore
3.00
自引率
0.00%
发文量
12
期刊介绍: “Molecular Biology Research Communications” (MBRC) is an international journal of Molecular Biology. It is published quarterly by Shiraz University (Iran). The MBRC is a fully peer-reviewed journal. The journal welcomes submission of Original articles, Short communications, Invited review articles, and Letters to the Editor which meets the general criteria of significance and scientific excellence in all fields of “Molecular Biology”.
×
引用
GB/T 7714-2015
复制
MLA
复制
APA
复制
导出至
BibTeX EndNote RefMan NoteFirst NoteExpress
×
提示
您的信息不完整,为了账户安全,请先补充。
现在去补充
×
提示
您因"违规操作"
具体请查看互助需知
我知道了
×
提示
确定
请完成安全验证×
copy
已复制链接
快去分享给好友吧!
我知道了
右上角分享
点击右上角分享
0
联系我们:info@booksci.cn Book学术提供免费学术资源搜索服务,方便国内外学者检索中英文文献。致力于提供最便捷和优质的服务体验。 Copyright © 2023 布克学术 All rights reserved.
京ICP备2023020795号-1
ghs 京公网安备 11010802042870号
Book学术文献互助
Book学术文献互助群
群 号:604180095
Book学术官方微信