Drug-induced Liver Injury from Intravenous Immunoglobulin for Prevention of Recurrent Gestational Alloimmune Liver Disease: A Clinical Catch-22.

IF 0.6 Q4 PEDIATRICS
AJP Reports Pub Date : 2024-11-13 eCollection Date: 2024-07-01 DOI:10.1055/a-2444-7155
Jessica A Meyer, Jenna S Silverstein, Kristen M Thomas, Sara G Brubaker, Judith L Chervenak
{"title":"Drug-induced Liver Injury from Intravenous Immunoglobulin for Prevention of Recurrent Gestational Alloimmune Liver Disease: A Clinical Catch-22.","authors":"Jessica A Meyer, Jenna S Silverstein, Kristen M Thomas, Sara G Brubaker, Judith L Chervenak","doi":"10.1055/a-2444-7155","DOIUrl":null,"url":null,"abstract":"<p><p>Gestational alloimmune liver disease (GALD) is a rare autoimmune syndrome in which maternal antibodies lead to in utero fetal hepatocyte destruction, often presenting as neonatal liver failure and hemochromatosis. Antenatal intravenous immunoglobulin (IVIG) is generally accepted to be safe in pregnancy with demonstrable benefits for reducing GALD recurrence risk in subsequent pregnancies. Here we present a case of a 33-year-old woman with a prior neonatal demise due to GALD who received multiple prophylactic IVIG infusions in a subsequent twin pregnancy complicated by maternal jaundice and acute hepatitis. A liver biopsy demonstrated hepatocellular injury with bridging necrosis and cholestatic features consistent with drug-induced liver injury. This case demonstrates the importance of close clinical monitoring during IVIG therapy and the need for further research into alternative prophylaxis options for GALD. <b>Key Points</b> GALD is a rare antibody-mediated autoimmune syndrome with high recurrence risk.IVIG can be effective in reducing risk of GALD recurrence and fetal loss.Patient's receiving ongoing IVIG therapy should be closely monitored for developing adverse effects, including DILI.</p>","PeriodicalId":7645,"journal":{"name":"AJP Reports","volume":"14 4","pages":"e254-e258"},"PeriodicalIF":0.6000,"publicationDate":"2024-11-13","publicationTypes":"Journal Article","fieldsOfStudy":null,"isOpenAccess":false,"openAccessPdf":"https://www.ncbi.nlm.nih.gov/pmc/articles/PMC11869382/pdf/","citationCount":"0","resultStr":null,"platform":"Semanticscholar","paperid":null,"PeriodicalName":"AJP Reports","FirstCategoryId":"1085","ListUrlMain":"https://doi.org/10.1055/a-2444-7155","RegionNum":0,"RegionCategory":null,"ArticlePicture":[],"TitleCN":null,"AbstractTextCN":null,"PMCID":null,"EPubDate":"2024/7/1 0:00:00","PubModel":"eCollection","JCR":"Q4","JCRName":"PEDIATRICS","Score":null,"Total":0}
引用次数: 0

Abstract

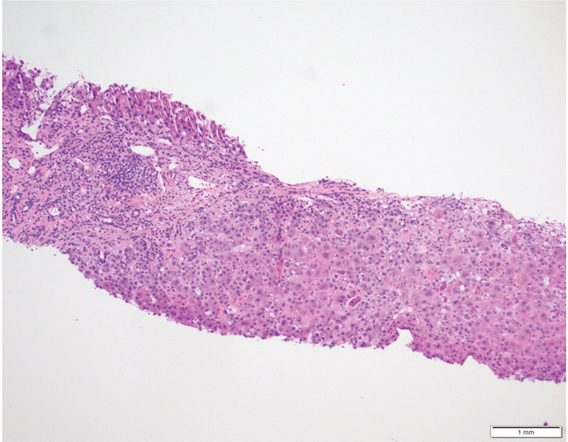
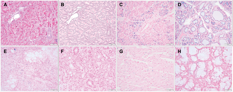
Gestational alloimmune liver disease (GALD) is a rare autoimmune syndrome in which maternal antibodies lead to in utero fetal hepatocyte destruction, often presenting as neonatal liver failure and hemochromatosis. Antenatal intravenous immunoglobulin (IVIG) is generally accepted to be safe in pregnancy with demonstrable benefits for reducing GALD recurrence risk in subsequent pregnancies. Here we present a case of a 33-year-old woman with a prior neonatal demise due to GALD who received multiple prophylactic IVIG infusions in a subsequent twin pregnancy complicated by maternal jaundice and acute hepatitis. A liver biopsy demonstrated hepatocellular injury with bridging necrosis and cholestatic features consistent with drug-induced liver injury. This case demonstrates the importance of close clinical monitoring during IVIG therapy and the need for further research into alternative prophylaxis options for GALD. Key Points GALD is a rare antibody-mediated autoimmune syndrome with high recurrence risk.IVIG can be effective in reducing risk of GALD recurrence and fetal loss.Patient's receiving ongoing IVIG therapy should be closely monitored for developing adverse effects, including DILI.

Abstract Image

Abstract Image

Abstract Image

静脉注射免疫球蛋白预防妊娠期同种免疫性肝病复发的药物性肝损伤:临床第22条军规。
妊娠同种免疫性肝病(GALD)是一种罕见的自身免疫性综合征,其中母体抗体导致子宫内胎儿肝细胞破坏,通常表现为新生儿肝功能衰竭和血色素沉着症。产前静脉注射免疫球蛋白(IVIG)通常被认为是安全的,对降低妊娠期GALD复发风险有明显的益处。在这里,我们提出了一个病例33岁的妇女与新生儿死亡之前由于GALD谁接受了多次预防性IVIG输注在随后的双胎妊娠合并母体黄疸和急性肝炎。肝活检显示肝细胞损伤伴有桥性坏死和胆汁淤积特征,与药物性肝损伤一致。该病例表明了在IVIG治疗期间密切临床监测的重要性,以及进一步研究GALD替代预防方案的必要性。GALD是一种罕见的抗体介导的自身免疫性综合征,具有高复发风险。IVIG可以有效地降低GALD复发和胎儿丢失的风险。应密切监测正在接受IVIG治疗的患者是否出现不良反应,包括DILI。
本文章由计算机程序翻译,如有差异,请以英文原文为准。
求助全文
约1分钟内获得全文 求助全文
来源期刊
AJP Reports
AJP Reports PEDIATRICS-
CiteScore
2.20
自引率
0.00%
发文量
30
审稿时长
12 weeks
×
引用
GB/T 7714-2015
复制
MLA
复制
APA
复制
导出至
BibTeX EndNote RefMan NoteFirst NoteExpress
×
提示
您的信息不完整,为了账户安全,请先补充。
现在去补充
×
提示
您因"违规操作"
具体请查看互助需知
我知道了
×
提示
确定
请完成安全验证×
copy
已复制链接
快去分享给好友吧!
我知道了
右上角分享
点击右上角分享
0
联系我们:info@booksci.cn Book学术提供免费学术资源搜索服务,方便国内外学者检索中英文文献。致力于提供最便捷和优质的服务体验。 Copyright © 2023 布克学术 All rights reserved.
京ICP备2023020795号-1
ghs 京公网安备 11010802042870号
Book学术文献互助
Book学术文献互助群
群 号:604180095
Book学术官方微信