PMEPA1 Binds NEDD4L to Inhibit the Malignant Progression of Multiple Myeloma by Inactivating Wnt/β-Catenin Signaling.

IF 2.5 4区 生物学 Q4 BIOCHEMISTRY & MOLECULAR BIOLOGY
Cell Biochemistry and Biophysics Pub Date : 2025-09-01 Epub Date: 2025-03-04 DOI:10.1007/s12013-025-01674-w
Shanshan Hu, Xinfang Gao, Yan Zhu, Fangjing Shi, Li Huang
{"title":"PMEPA1 Binds NEDD4L to Inhibit the Malignant Progression of Multiple Myeloma by Inactivating Wnt/β-Catenin Signaling.","authors":"Shanshan Hu, Xinfang Gao, Yan Zhu, Fangjing Shi, Li Huang","doi":"10.1007/s12013-025-01674-w","DOIUrl":null,"url":null,"abstract":"<p><p>Multiple myeloma (MM) is an incurable hematological malignancy with increasing prevalence. Prostate transmembrane androgen inducible protein 1 (PMEPA1) is positively associated with overall survival in MM patients, but the exact functions and mechanisms of PMEPA1 in MM have yet to be elucidated. PMEPA1 and neural precursor cell-expressed developmentally downregulated gene 4L (NEDD4L) levels in MM cells were examined. In RPMI-8226 cells with PMEPA1 overexpression or/and NEDD4L knockdown, cell proliferation, cycle distribution and apoptosis were evaluated with the application of CCK-8, EDU staining and flow cytometry. The BioGrid website and HDOCK SERVER were applied for predicting the binding between PMEPA1 and NEDD4L, which was checked by co-immunoprecipitation. Besides, the levels of proteins associated with proliferation (Ki67 and PCNA), apoptosis (Bcl-2, Bax and cleaved caspase3) and Wnt/β-catenin signaling (β-catenin, c-Myc and cyclin D1) was detected with immunoblotting. Finally, LiCl, an activator of Wnt/β-catenin pathway, was employed to treat RPMI-8226 cells to analyze the proliferation, cycle distribution and apoptosis of MM cells. As a result, PMEPA1 and NEDD4L were expressed at low levels in MM cells. PMEPA1 upregulation repressed proliferation induced cycle arrest and facilitated apoptosis of MM cells. Moreover, PMEPA1 bound to NEDD4L and upregulated NEDD4L expression in RPMI-8226 cells. Functionally, NEDD4L knockdown attenuated the influences of PMEPA1 overexpression on the proliferation, cycle distribution and apoptosis of RPMI-8226 cells. Additionally, PMEPA1 notably downregulated β-catenin, c-Myc and cyclin D1 expression in RPMI-8226 cells, which was abrogated by NEDD4L silencing. Further adding LiCl in RPMI-8226 cells led to the enhanced malignant biological behaviors. Collectively, PMEPA1 damaged MM progression through binding NEDD4L to inactivate Wnt/β-catenin signaling, which may be helpful to develop promising targets for MM treatment.</p>","PeriodicalId":510,"journal":{"name":"Cell Biochemistry and Biophysics","volume":" ","pages":"3971-3981"},"PeriodicalIF":2.5000,"publicationDate":"2025-09-01","publicationTypes":"Journal Article","fieldsOfStudy":null,"isOpenAccess":false,"openAccessPdf":"https://www.ncbi.nlm.nih.gov/pmc/articles/PMC12414010/pdf/","citationCount":"0","resultStr":null,"platform":"Semanticscholar","paperid":null,"PeriodicalName":"Cell Biochemistry and Biophysics","FirstCategoryId":"99","ListUrlMain":"https://doi.org/10.1007/s12013-025-01674-w","RegionNum":4,"RegionCategory":"生物学","ArticlePicture":[],"TitleCN":null,"AbstractTextCN":null,"PMCID":null,"EPubDate":"2025/3/4 0:00:00","PubModel":"Epub","JCR":"Q4","JCRName":"BIOCHEMISTRY & MOLECULAR BIOLOGY","Score":null,"Total":0}
引用次数: 0

Abstract

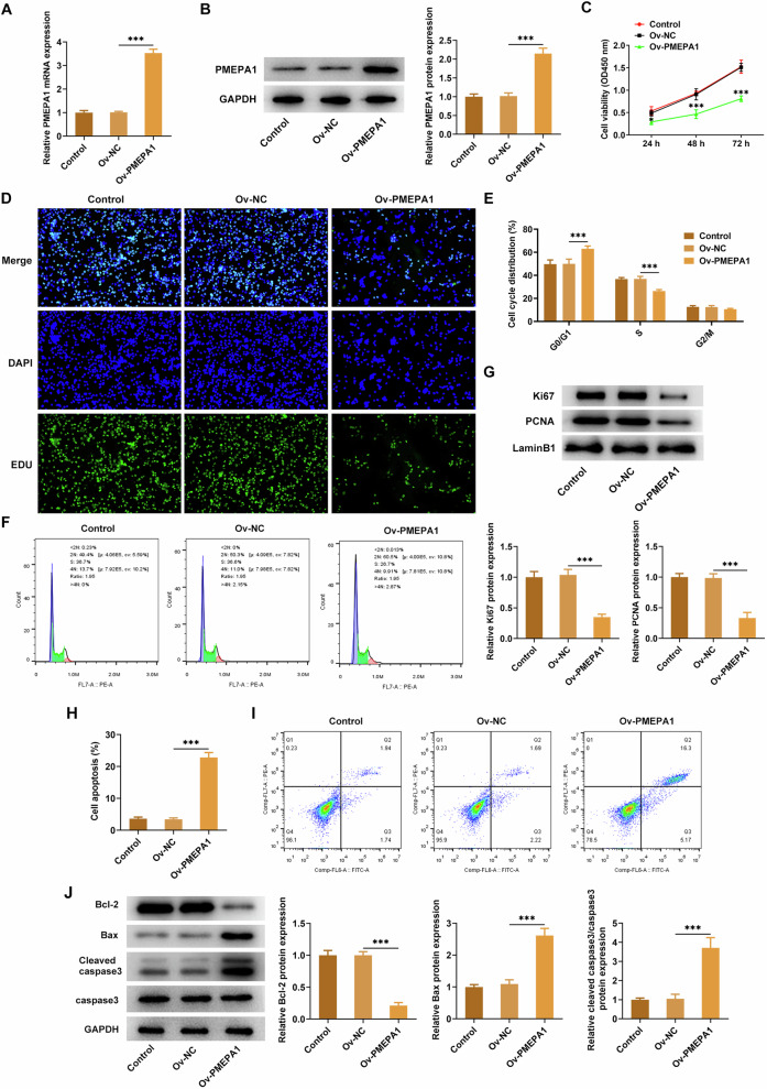
Multiple myeloma (MM) is an incurable hematological malignancy with increasing prevalence. Prostate transmembrane androgen inducible protein 1 (PMEPA1) is positively associated with overall survival in MM patients, but the exact functions and mechanisms of PMEPA1 in MM have yet to be elucidated. PMEPA1 and neural precursor cell-expressed developmentally downregulated gene 4L (NEDD4L) levels in MM cells were examined. In RPMI-8226 cells with PMEPA1 overexpression or/and NEDD4L knockdown, cell proliferation, cycle distribution and apoptosis were evaluated with the application of CCK-8, EDU staining and flow cytometry. The BioGrid website and HDOCK SERVER were applied for predicting the binding between PMEPA1 and NEDD4L, which was checked by co-immunoprecipitation. Besides, the levels of proteins associated with proliferation (Ki67 and PCNA), apoptosis (Bcl-2, Bax and cleaved caspase3) and Wnt/β-catenin signaling (β-catenin, c-Myc and cyclin D1) was detected with immunoblotting. Finally, LiCl, an activator of Wnt/β-catenin pathway, was employed to treat RPMI-8226 cells to analyze the proliferation, cycle distribution and apoptosis of MM cells. As a result, PMEPA1 and NEDD4L were expressed at low levels in MM cells. PMEPA1 upregulation repressed proliferation induced cycle arrest and facilitated apoptosis of MM cells. Moreover, PMEPA1 bound to NEDD4L and upregulated NEDD4L expression in RPMI-8226 cells. Functionally, NEDD4L knockdown attenuated the influences of PMEPA1 overexpression on the proliferation, cycle distribution and apoptosis of RPMI-8226 cells. Additionally, PMEPA1 notably downregulated β-catenin, c-Myc and cyclin D1 expression in RPMI-8226 cells, which was abrogated by NEDD4L silencing. Further adding LiCl in RPMI-8226 cells led to the enhanced malignant biological behaviors. Collectively, PMEPA1 damaged MM progression through binding NEDD4L to inactivate Wnt/β-catenin signaling, which may be helpful to develop promising targets for MM treatment.

Abstract Image

Abstract Image

Abstract Image

PMEPA1结合NEDD4L通过失活Wnt/β-Catenin信号抑制多发性骨髓瘤恶性进展
多发性骨髓瘤(MM)是一种不可治愈的血液系统恶性肿瘤,发病率越来越高。前列腺跨膜雄激素诱导蛋白1 (PMEPA1)与MM患者的总生存率呈正相关,但PMEPA1在MM中的确切功能和机制尚不清楚。检测MM细胞中PMEPA1和神经前体细胞表达的发育下调基因4L (NEDD4L)水平。采用CCK-8、EDU染色和流式细胞术观察PMEPA1过表达或/和NEDD4L敲低的RPMI-8226细胞增殖、周期分布和凋亡情况。应用BioGrid网站和HDOCK SERVER预测PMEPA1与NEDD4L的结合,采用共免疫沉淀法进行验证。免疫印迹法检测细胞增殖相关蛋白(Ki67、PCNA)、凋亡相关蛋白(Bcl-2、Bax、cleaved caspase3)和Wnt/β-catenin信号传导相关蛋白(β-catenin、c-Myc、cyclin D1)水平。最后,采用Wnt/β-catenin通路激活剂LiCl处理rpm -8226细胞,分析MM细胞的增殖、周期分布和凋亡情况。因此,PMEPA1和NEDD4L在MM细胞中低水平表达。PMEPA1上调可抑制增殖诱导的周期阻滞,促进MM细胞凋亡。此外,PMEPA1与NEDD4L结合,上调了RPMI-8226细胞中NEDD4L的表达。功能上,NEDD4L敲低可减弱PMEPA1过表达对rpm -8226细胞增殖、周期分布和凋亡的影响。此外,PMEPA1显著下调rpm -8226细胞中β-catenin、c-Myc和cyclin D1的表达,这一作用被NEDD4L沉默所消除。进一步在RPMI-8226细胞中添加LiCl可增强其恶性生物学行为。总的来说,PMEPA1通过结合NEDD4L使Wnt/β-catenin信号失活,从而破坏MM的进展,这可能有助于开发有希望的MM治疗靶点。
本文章由计算机程序翻译,如有差异,请以英文原文为准。
求助全文
约1分钟内获得全文 求助全文
来源期刊
Cell Biochemistry and Biophysics
Cell Biochemistry and Biophysics 生物-生化与分子生物学
CiteScore
4.40
自引率
0.00%
发文量
72
审稿时长
7.5 months
期刊介绍: Cell Biochemistry and Biophysics (CBB) aims to publish papers on the nature of the biochemical and biophysical mechanisms underlying the structure, control and function of cellular systems The reports should be within the framework of modern biochemistry and chemistry, biophysics and cell physiology, physics and engineering, molecular and structural biology. The relationship between molecular structure and function under investigation is emphasized. Examples of subject areas that CBB publishes are: · biochemical and biophysical aspects of cell structure and function; · interactions of cells and their molecular/macromolecular constituents; · innovative developments in genetic and biomolecular engineering; · computer-based analysis of tissues, cells, cell networks, organelles, and molecular/macromolecular assemblies; · photometric, spectroscopic, microscopic, mechanical, and electrical methodologies/techniques in analytical cytology, cytometry and innovative instrument design For articles that focus on computational aspects, authors should be clear about which docking and molecular dynamics algorithms or software packages are being used as well as details on the system parameterization, simulations conditions etc. In addition, docking calculations (virtual screening, QSAR, etc.) should be validated either by experimental studies or one or more reliable theoretical cross-validation methods.
×
引用
GB/T 7714-2015
复制
MLA
复制
APA
复制
导出至
BibTeX EndNote RefMan NoteFirst NoteExpress
×
提示
您的信息不完整,为了账户安全,请先补充。
现在去补充
×
提示
您因"违规操作"
具体请查看互助需知
我知道了
×
提示
确定
请完成安全验证×
copy
已复制链接
快去分享给好友吧!
我知道了
右上角分享
点击右上角分享
0
联系我们:info@booksci.cn Book学术提供免费学术资源搜索服务,方便国内外学者检索中英文文献。致力于提供最便捷和优质的服务体验。 Copyright © 2023 布克学术 All rights reserved.
京ICP备2023020795号-1
ghs 京公网安备 11010802042870号
Book学术文献互助
Book学术文献互助群
群 号:604180095
Book学术官方微信