Recurrent Positional Vomiting due to Cerebellar Infarction and Obstructive Hydrocephalus.

IF 1.1 4区 医学 Q3 MEDICINE, GENERAL & INTERNAL
Internal Medicine Pub Date : 2025-09-01 Epub Date: 2025-03-01 DOI:10.2169/internalmedicine.5080-24
Gohei Yamada
{"title":"Recurrent Positional Vomiting due to Cerebellar Infarction and Obstructive Hydrocephalus.","authors":"Gohei Yamada","doi":"10.2169/internalmedicine.5080-24","DOIUrl":null,"url":null,"abstract":"<p><p>An 80-year-old woman presented with the sudden onset of vertigo and vomiting and was diagnosed with acute cerebellar infarction. Twelve days after the onset, she experienced positional vomiting, predominantly in the lying-down position, triggered by postural changes with immediate or delayed onset. Over 1 month, 23 episodes of vomiting occurred. Brain computed tomography revealed edema in the infarcted area, fourth ventricular outlet compression, and lateral ventricular enlargement. These findings suggest that fluctuations in intracranial pressure are associated with intermittent obstructive hydrocephalus exacerbated by the patient's posture. This case highlights the importance of considering postural triggers in patients with recurrent vomiting associated with cerebellar infarctions.</p>","PeriodicalId":13719,"journal":{"name":"Internal Medicine","volume":" ","pages":"2652-2656"},"PeriodicalIF":1.1000,"publicationDate":"2025-09-01","publicationTypes":"Journal Article","fieldsOfStudy":null,"isOpenAccess":false,"openAccessPdf":"https://www.ncbi.nlm.nih.gov/pmc/articles/PMC12463425/pdf/","citationCount":"0","resultStr":null,"platform":"Semanticscholar","paperid":null,"PeriodicalName":"Internal Medicine","FirstCategoryId":"3","ListUrlMain":"https://doi.org/10.2169/internalmedicine.5080-24","RegionNum":4,"RegionCategory":"医学","ArticlePicture":[],"TitleCN":null,"AbstractTextCN":null,"PMCID":null,"EPubDate":"2025/3/1 0:00:00","PubModel":"Epub","JCR":"Q3","JCRName":"MEDICINE, GENERAL & INTERNAL","Score":null,"Total":0}
引用次数: 0

Abstract

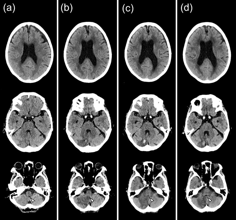
An 80-year-old woman presented with the sudden onset of vertigo and vomiting and was diagnosed with acute cerebellar infarction. Twelve days after the onset, she experienced positional vomiting, predominantly in the lying-down position, triggered by postural changes with immediate or delayed onset. Over 1 month, 23 episodes of vomiting occurred. Brain computed tomography revealed edema in the infarcted area, fourth ventricular outlet compression, and lateral ventricular enlargement. These findings suggest that fluctuations in intracranial pressure are associated with intermittent obstructive hydrocephalus exacerbated by the patient's posture. This case highlights the importance of considering postural triggers in patients with recurrent vomiting associated with cerebellar infarctions.

Abstract Image

Abstract Image

Abstract Image

小脑梗塞和阻塞性脑积水导致的复发性体位性呕吐:病例报告。
一位80岁的妇女表现为突然发作的眩晕和呕吐,并被诊断为急性小脑梗死。发病12天后,患者出现体位性呕吐,主要发生在平卧位,由体位变化引发,即刻或延迟发作。1个月内,呕吐发作23次。脑ct显示梗死区水肿,第四脑室出口受压,侧脑室增大。这些发现表明,颅内压波动与间歇性阻塞性脑积水有关,患者的姿势加剧了脑积水。本病例强调了考虑小脑梗死患者复发性呕吐的体位触发因素的重要性。
本文章由计算机程序翻译,如有差异,请以英文原文为准。
求助全文
约1分钟内获得全文 求助全文
来源期刊
Internal Medicine
Internal Medicine 医学-医学:内科
CiteScore
1.90
自引率
8.30%
发文量
0
审稿时长
2.2 months
期刊介绍: Internal Medicine is an open-access online only journal published monthly by the Japanese Society of Internal Medicine. Articles must be prepared in accordance with "The Uniform Requirements for Manuscripts Submitted to Biomedical Journals (see Annals of Internal Medicine 108: 258-265, 1988), must be contributed solely to the Internal Medicine, and become the property of the Japanese Society of Internal Medicine. Statements contained therein are the responsibility of the author(s). The Society reserves copyright and renewal on all published material and such material may not be reproduced in any form without the written permission of the Society.
×
引用
GB/T 7714-2015
复制
MLA
复制
APA
复制
导出至
BibTeX EndNote RefMan NoteFirst NoteExpress
×
提示
您的信息不完整,为了账户安全,请先补充。
现在去补充
×
提示
您因"违规操作"
具体请查看互助需知
我知道了
×
提示
确定
请完成安全验证×
copy
已复制链接
快去分享给好友吧!
我知道了
右上角分享
点击右上角分享
0
联系我们:info@booksci.cn Book学术提供免费学术资源搜索服务,方便国内外学者检索中英文文献。致力于提供最便捷和优质的服务体验。 Copyright © 2023 布克学术 All rights reserved.
京ICP备2023020795号-1
ghs 京公网安备 11010802042870号
Book学术文献互助
Book学术文献互助群
群 号:604180095
Book学术官方微信