Diagnostic Criteria of Bile Cytology: A Multicenter Comparative Study of Conventional and Liquid-Based Cytology in Japan.

IF 1.7 4区 医学 Q3 PATHOLOGY
Acta Cytologica Pub Date : 2025-01-01 Epub Date: 2025-02-28 DOI:10.1159/000544997
Yoshiki Naito, Akihiko Kawahara, Ryo Makino, Takako Tokumitsu, Daisuke Nagayama, Eiji Sadashima, Kaori Nakamura, Ryoji Nishizaki, Tadasuke Nagatomo, Yukina Fujino, Chie Hayakawa, Keishi Mizuguchi, Tatsuya Mori, Kenichi Hirabayashi, Takuma Tajiri
{"title":"Diagnostic Criteria of Bile Cytology: A Multicenter Comparative Study of Conventional and Liquid-Based Cytology in Japan.","authors":"Yoshiki Naito, Akihiko Kawahara, Ryo Makino, Takako Tokumitsu, Daisuke Nagayama, Eiji Sadashima, Kaori Nakamura, Ryoji Nishizaki, Tadasuke Nagatomo, Yukina Fujino, Chie Hayakawa, Keishi Mizuguchi, Tatsuya Mori, Kenichi Hirabayashi, Takuma Tajiri","doi":"10.1159/000544997","DOIUrl":null,"url":null,"abstract":"<p><strong>Introduction: </strong>The use of liquid-based cytology (LBC) in non-gynecological fields has progressively increased. However, studies focusing on the application of LBC in bile cytology are limited, and its efficacy remains uncertain. In this study, we assessed the potential of LBC in bile cytology by evaluating the interobserver agreement.</p><p><strong>Methods: </strong>Bile cytology specimens were collected between 2015 and 2022 by using endoscopic retrograde cholangiopancreatography. Eleven cytotechnologists participated in the evaluation. Digital images of bile cytology specimens prepared using conventional smear (CS), ThinPrep LBC (TP-LBC), and SurePath LBC (SP-LBC) methods (20 cases per preparation method) were assessed for interobserver agreement on 21 diagnostic criteria. The diagnostic accuracy was evaluated using 50 bile cytology cases per preparation method.</p><p><strong>Results: </strong>High interobserver agreement (exact kappa > 0.6) was observed for features, including the loss of nuclear polarity, irregular nuclear spacing, nuclear size variation, and increased nuclear-to-cytoplasmic ratio across the CS, TP-LBC, and SP-LBC methods. Malignant cells in TP-LBC appeared smaller and rounder, and formed flat aggregates compared with those in CS. In contrast, the malignant cells in SP-LBC formed three-dimensional clusters that overlapped and exhibited higher cellularity than those in CS. The sensitivity of bile cytology was 76.4%, 84.8%, and 93.2% for CS, TP-LBC, and SP-LBC, respectively.</p><p><strong>Conclusion: </strong>The observers consistently recognized malignant cell features in bile cytology, irrespective of the preparation method. Understanding common features and method-specific cellular morphology is crucial for enhancing diagnostic accuracy. Our findings suggest that LBC methods can be effectively applied to bile cytology, potentially offering improved diagnostic accuracy compared with conventional methods.</p>","PeriodicalId":6959,"journal":{"name":"Acta Cytologica","volume":" ","pages":"269-279"},"PeriodicalIF":1.7000,"publicationDate":"2025-01-01","publicationTypes":"Journal Article","fieldsOfStudy":null,"isOpenAccess":false,"openAccessPdf":"https://www.ncbi.nlm.nih.gov/pmc/articles/PMC12013212/pdf/","citationCount":"0","resultStr":null,"platform":"Semanticscholar","paperid":null,"PeriodicalName":"Acta Cytologica","FirstCategoryId":"3","ListUrlMain":"https://doi.org/10.1159/000544997","RegionNum":4,"RegionCategory":"医学","ArticlePicture":[],"TitleCN":null,"AbstractTextCN":null,"PMCID":null,"EPubDate":"2025/2/28 0:00:00","PubModel":"Epub","JCR":"Q3","JCRName":"PATHOLOGY","Score":null,"Total":0}
引用次数: 0

Abstract

Introduction: The use of liquid-based cytology (LBC) in non-gynecological fields has progressively increased. However, studies focusing on the application of LBC in bile cytology are limited, and its efficacy remains uncertain. In this study, we assessed the potential of LBC in bile cytology by evaluating the interobserver agreement.

Methods: Bile cytology specimens were collected between 2015 and 2022 by using endoscopic retrograde cholangiopancreatography. Eleven cytotechnologists participated in the evaluation. Digital images of bile cytology specimens prepared using conventional smear (CS), ThinPrep LBC (TP-LBC), and SurePath LBC (SP-LBC) methods (20 cases per preparation method) were assessed for interobserver agreement on 21 diagnostic criteria. The diagnostic accuracy was evaluated using 50 bile cytology cases per preparation method.

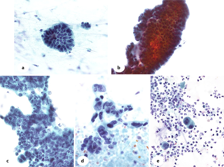
Results: High interobserver agreement (exact kappa > 0.6) was observed for features, including the loss of nuclear polarity, irregular nuclear spacing, nuclear size variation, and increased nuclear-to-cytoplasmic ratio across the CS, TP-LBC, and SP-LBC methods. Malignant cells in TP-LBC appeared smaller and rounder, and formed flat aggregates compared with those in CS. In contrast, the malignant cells in SP-LBC formed three-dimensional clusters that overlapped and exhibited higher cellularity than those in CS. The sensitivity of bile cytology was 76.4%, 84.8%, and 93.2% for CS, TP-LBC, and SP-LBC, respectively.

Conclusion: The observers consistently recognized malignant cell features in bile cytology, irrespective of the preparation method. Understanding common features and method-specific cellular morphology is crucial for enhancing diagnostic accuracy. Our findings suggest that LBC methods can be effectively applied to bile cytology, potentially offering improved diagnostic accuracy compared with conventional methods.

Abstract Image

Abstract Image

Abstract Image

胆汁细胞学诊断标准:日本常规和液体细胞学的多中心比较研究。
导言:液基细胞学(LBC)在非妇科领域的应用逐渐增多。然而,针对液基细胞学在胆汁细胞学中应用的研究却很有限,其疗效仍不确定。在本研究中,我们通过评估观察者之间的一致性来评估 LBC 在胆汁细胞学中的应用潜力:方法:2015 年至 2022 年期间,通过内镜逆行胰胆管造影收集了胆汁细胞学标本。11 名细胞技术专家参与了评估。对使用传统涂片(CS)、ThinPrep LBC(TP-LBC)和 SurePath LBC(SP-LBC)方法制备的胆汁细胞学标本(每种制备方法 20 例)的数字图像进行评估,以确定 21 项诊断标准的观察者间一致性。对每种制备方法的 50 个胆汁细胞学病例进行了诊断准确性评估:结果:在 CS、TP-LBC 和 SP-LBC 三种方法中,观察到核极性丧失、核间距不规则、核大小变化和核质比增加等特征的观察者间一致性很高(精确卡帕 > 0.6)。与CS法相比,TP-LBC法中的恶性细胞看起来更小、更圆,并形成扁平的聚集体。相比之下,SP-LBC 中的恶性细胞形成了三维团块,与 CS 中的恶性细胞相比,这些团块相互重叠,细胞度更高。CS、TP-LBC 和 SP-LBC 的胆汁细胞学敏感性分别为 76.4%、84.8% 和 93.2%:结论:无论采用哪种制备方法,观察者都能一致识别出胆汁细胞学中的恶性细胞特征。了解共同特征和特定方法的细胞形态对提高诊断准确性至关重要。我们的研究结果表明,LBC 方法可以有效地应用于胆汁细胞学检查,与传统方法相比,它有可能提高诊断的准确性。
本文章由计算机程序翻译,如有差异,请以英文原文为准。
求助全文
约1分钟内获得全文 求助全文
来源期刊
Acta Cytologica
Acta Cytologica 生物-病理学
CiteScore
3.70
自引率
11.10%
发文量
46
审稿时长
4-8 weeks
期刊介绍: With articles offering an excellent balance between clinical cytology and cytopathology, ''Acta Cytologica'' fosters the understanding of the pathogenetic mechanisms behind cytomorphology and thus facilitates the translation of frontline research into clinical practice. As the official journal of the International Academy of Cytology and affiliated to over 50 national cytology societies around the world, ''Acta Cytologica'' evaluates new and existing diagnostic applications of scientific advances as well as their clinical correlations. Original papers, review articles, meta-analyses, novel insights from clinical practice, and letters to the editor cover topics from diagnostic cytopathology, gynecologic and non-gynecologic cytopathology to fine needle aspiration, molecular techniques and their diagnostic applications. As the perfect reference for practical use, ''Acta Cytologica'' addresses a multidisciplinary audience practicing clinical cytopathology, cell biology, oncology, interventional radiology, otorhinolaryngology, gastroenterology, urology, pulmonology and preventive medicine.
×
引用
GB/T 7714-2015
复制
MLA
复制
APA
复制
导出至
BibTeX EndNote RefMan NoteFirst NoteExpress
×
提示
您的信息不完整,为了账户安全,请先补充。
现在去补充
×
提示
您因"违规操作"
具体请查看互助需知
我知道了
×
提示
确定
请完成安全验证×
copy
已复制链接
快去分享给好友吧!
我知道了
右上角分享
点击右上角分享
0
联系我们:info@booksci.cn Book学术提供免费学术资源搜索服务,方便国内外学者检索中英文文献。致力于提供最便捷和优质的服务体验。 Copyright © 2023 布克学术 All rights reserved.
京ICP备2023020795号-1
ghs 京公网安备 11010802042870号
Book学术文献互助
Book学术文献互助群
群 号:604180095
Book学术官方微信