Tumor ADC value predicts outcome and yields refined prognostication in uterine cervical cancer.

IF 3.5 2区 医学 Q2 ONCOLOGY
Njål Lura, Kari S Wagner-Larsen, Stian Ryste, Kristine Fasmer, David Forsse, Jone Trovik, Mari K Halle, Bjørn I Bertelsen, Frank Riemer, Øyvind Salvesen, Kathrine Woie, Camilla Krakstad, Ingfrid S Haldorsen
{"title":"Tumor ADC value predicts outcome and yields refined prognostication in uterine cervical cancer.","authors":"Njål Lura, Kari S Wagner-Larsen, Stian Ryste, Kristine Fasmer, David Forsse, Jone Trovik, Mari K Halle, Bjørn I Bertelsen, Frank Riemer, Øyvind Salvesen, Kathrine Woie, Camilla Krakstad, Ingfrid S Haldorsen","doi":"10.1186/s40644-025-00828-6","DOIUrl":null,"url":null,"abstract":"<p><p>Pelvic MRI is essential for evaluating local and regional tumor extent in uterine cervical cancer (CC). Tumor microstructure captured by diffusion-weighted imaging (DWI) and apparent diffusion coefficient (ADC) markers may be closely linked to prognosis in CC.Purpose To explore whether primary tumor ADC markers predict survival in CC.Material and methods CC patients (n = 179) diagnosed during 2009-2020 with MRI-assessed primary maximum tumor<sub>size</sub> ≥ 2 cm were included in this retrospective single-center study. Two radiologists read all MRIs independently, measuring mean tumor ADC values in manually drawn regions of interest (ROIs) and mean tumor ADC (tumor<sub>ADCmean</sub>) from five measurements for the two readers was used. ADC from ROIs in the myometrium (myometrium<sub>ADC</sub>), cervical stroma (cervix<sub>ADC</sub>), and bladder (bladder<sub>ADC</sub>) were used to calculate ADC ratios. ADC markers were explored in relation to the International Federation of Gynecology and Obstetrics (FIGO) (2018) stage, disease-specific survival (DSS), and recurrence/progression-free survival (RPFS).Results Inter-reader agreement for all ADC measurements was high (ICC:0.59-0.79). Low tumor<sub>ADCmean</sub> predicted advanced FIGO stage (P = 0.04) and reduced DSS (hazard ratio (HR): 0.96, P < 0.001; AIC: 441). Myometrium<sub>ADC</sub>/tumor<sub>ADCmean</sub> yielded the best Cox regression fit (AIC = 430) among all tumor ADC markers. Patients with high myometrium<sub>ADC</sub>/tumor<sub>ADCmean</sub> had significantly reduced 5-year DSS for FIGO stage I, II, and III (P = 0.01, 0.004, and 0.02, respectively) and tended to the same for FIGO IV (P = 0.22).Conclusion Low tumor<sub>ADCmean</sub> predicted reduced DSS in CC. High myometrium<sub>ADC</sub>/tumor<sub>ADCmean</sub> was the strongest ADC predictor of poor DSS and a marker of high-risk phenotype independent of FIGO stage.</p>","PeriodicalId":9548,"journal":{"name":"Cancer Imaging","volume":"25 1","pages":"23"},"PeriodicalIF":3.5000,"publicationDate":"2025-02-28","publicationTypes":"Journal Article","fieldsOfStudy":null,"isOpenAccess":false,"openAccessPdf":"https://www.ncbi.nlm.nih.gov/pmc/articles/PMC11871606/pdf/","citationCount":"0","resultStr":null,"platform":"Semanticscholar","paperid":null,"PeriodicalName":"Cancer Imaging","FirstCategoryId":"3","ListUrlMain":"https://doi.org/10.1186/s40644-025-00828-6","RegionNum":2,"RegionCategory":"医学","ArticlePicture":[],"TitleCN":null,"AbstractTextCN":null,"PMCID":null,"EPubDate":"","PubModel":"","JCR":"Q2","JCRName":"ONCOLOGY","Score":null,"Total":0}
引用次数: 0

Abstract

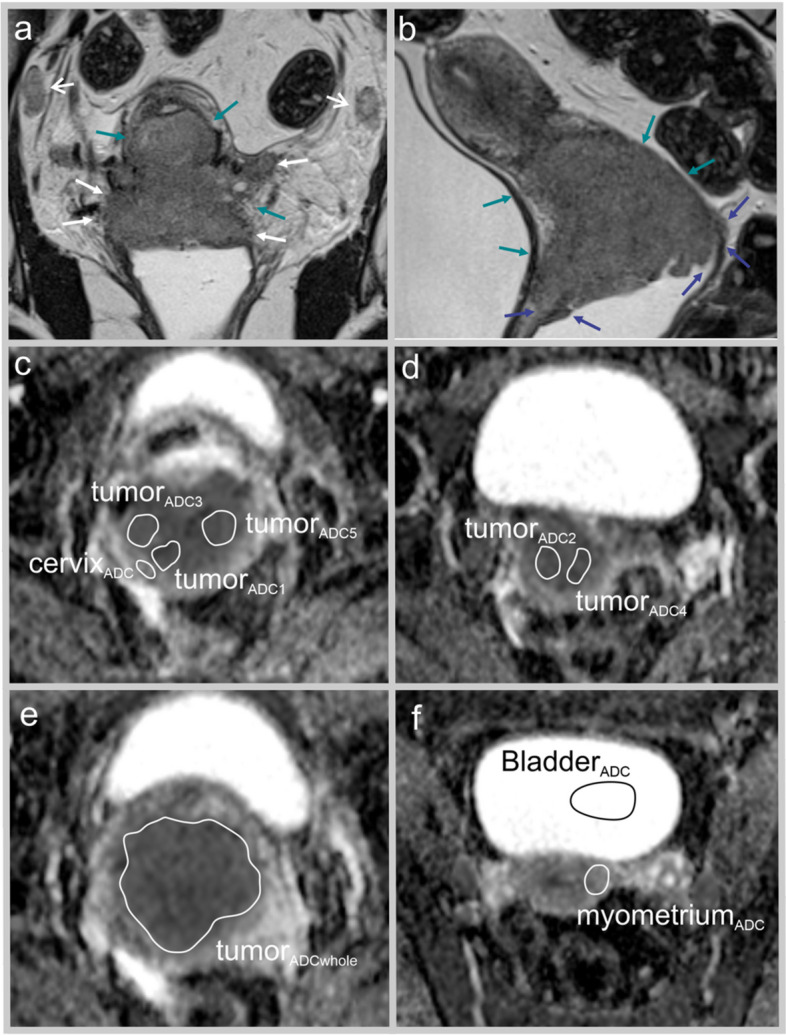
Pelvic MRI is essential for evaluating local and regional tumor extent in uterine cervical cancer (CC). Tumor microstructure captured by diffusion-weighted imaging (DWI) and apparent diffusion coefficient (ADC) markers may be closely linked to prognosis in CC.Purpose To explore whether primary tumor ADC markers predict survival in CC.Material and methods CC patients (n = 179) diagnosed during 2009-2020 with MRI-assessed primary maximum tumorsize ≥ 2 cm were included in this retrospective single-center study. Two radiologists read all MRIs independently, measuring mean tumor ADC values in manually drawn regions of interest (ROIs) and mean tumor ADC (tumorADCmean) from five measurements for the two readers was used. ADC from ROIs in the myometrium (myometriumADC), cervical stroma (cervixADC), and bladder (bladderADC) were used to calculate ADC ratios. ADC markers were explored in relation to the International Federation of Gynecology and Obstetrics (FIGO) (2018) stage, disease-specific survival (DSS), and recurrence/progression-free survival (RPFS).Results Inter-reader agreement for all ADC measurements was high (ICC:0.59-0.79). Low tumorADCmean predicted advanced FIGO stage (P = 0.04) and reduced DSS (hazard ratio (HR): 0.96, P < 0.001; AIC: 441). MyometriumADC/tumorADCmean yielded the best Cox regression fit (AIC = 430) among all tumor ADC markers. Patients with high myometriumADC/tumorADCmean had significantly reduced 5-year DSS for FIGO stage I, II, and III (P = 0.01, 0.004, and 0.02, respectively) and tended to the same for FIGO IV (P = 0.22).Conclusion Low tumorADCmean predicted reduced DSS in CC. High myometriumADC/tumorADCmean was the strongest ADC predictor of poor DSS and a marker of high-risk phenotype independent of FIGO stage.

Abstract Image

Abstract Image

Abstract Image

肿瘤ADC值可预测子宫癌的预后,并可提供精确的预后。
盆腔磁共振成像对于评估子宫颈癌(CC)的局部和区域肿瘤范围至关重要。通过弥散加权成像(DWI)和表观弥散系数(ADC)标记捕捉到的肿瘤微观结构可能与CC的预后密切相关。材料和方法 在这项回顾性单中心研究中纳入了2009-2020年期间确诊的、经MRI评估原发最大肿瘤大小≥2厘米的CC患者(n = 179)。两名放射科医生独立阅读所有核磁共振成像,测量手动绘制的感兴趣区(ROI)中的平均肿瘤 ADC 值,并使用两名阅读者五次测量的平均肿瘤 ADC(tumorADCmean)。子宫肌层(myometriumADC)、宫颈基质(cervixADC)和膀胱(bladadderADC)ROI 的 ADC 用于计算 ADC 比值。探讨了 ADC 标记与国际妇产科联盟(FIGO)(2018 年)分期、疾病特异性生存期(DSS)和复发/无进展生存期(RPFS)的关系。在所有肿瘤 ADC 标记中,低肿瘤 ADCmean 预测晚期 FIGO 分期(P = 0.04)和降低 DSS(危险比 (HR):0.96,P ADC/肿瘤 ADCmean 的 Cox 回归拟合效果最好(AIC = 430)。子宫肌层 ADC/tumorADCmean 高的患者在 FIGO I、II 和 III 期的 5 年 DSS 显著降低(P = 0.01、0.004 和 0.02,分别为 0.01、0.004 和 0.02),在 FIGO IV 期也趋于相同(P = 0.22)。高子宫肌层ADC/肿瘤ADCmean是预测不良DSS的最强ADC指标,也是独立于FIGO分期的高风险表型标志。
本文章由计算机程序翻译,如有差异,请以英文原文为准。
求助全文
约1分钟内获得全文 求助全文
来源期刊
Cancer Imaging
Cancer Imaging ONCOLOGY-RADIOLOGY, NUCLEAR MEDICINE & MEDICAL IMAGING
CiteScore
7.00
自引率
0.00%
发文量
66
审稿时长
>12 weeks
期刊介绍: Cancer Imaging is an open access, peer-reviewed journal publishing original articles, reviews and editorials written by expert international radiologists working in oncology. The journal encompasses CT, MR, PET, ultrasound, radionuclide and multimodal imaging in all kinds of malignant tumours, plus new developments, techniques and innovations. Topics of interest include: Breast Imaging Chest Complications of treatment Ear, Nose & Throat Gastrointestinal Hepatobiliary & Pancreatic Imaging biomarkers Interventional Lymphoma Measurement of tumour response Molecular functional imaging Musculoskeletal Neuro oncology Nuclear Medicine Paediatric.
×
引用
GB/T 7714-2015
复制
MLA
复制
APA
复制
导出至
BibTeX EndNote RefMan NoteFirst NoteExpress
×
提示
您的信息不完整,为了账户安全,请先补充。
现在去补充
×
提示
您因"违规操作"
具体请查看互助需知
我知道了
×
提示
确定
请完成安全验证×
copy
已复制链接
快去分享给好友吧!
我知道了
右上角分享
点击右上角分享
0
联系我们:info@booksci.cn Book学术提供免费学术资源搜索服务,方便国内外学者检索中英文文献。致力于提供最便捷和优质的服务体验。 Copyright © 2023 布克学术 All rights reserved.
京ICP备2023020795号-1
ghs 京公网安备 11010802042870号
Book学术文献互助
Book学术文献互助群
群 号:604180095
Book学术官方微信