Splenic Artery Embolization for Upper Gastrointestinal Bleeding Caused by Hemosuccus Pancreaticus.

IF 0.5 Q4 GASTROENTEROLOGY & HEPATOLOGY
Case Reports in Gastrointestinal Medicine Pub Date : 2025-02-20 eCollection Date: 2025-01-01 DOI:10.1155/crgm/6149221
Evghenii Gutu, Dumitru Casian, Roman Smolnitchi, Vasile Culiuc, Andrei Scureac
{"title":"Splenic Artery Embolization for Upper Gastrointestinal Bleeding Caused by Hemosuccus Pancreaticus.","authors":"Evghenii Gutu, Dumitru Casian, Roman Smolnitchi, Vasile Culiuc, Andrei Scureac","doi":"10.1155/crgm/6149221","DOIUrl":null,"url":null,"abstract":"<p><p>Hemosuccus pancreaticus (HP) is a rare but potentially life-threatening condition, characterized by upper gastrointestinal bleeding from the ampulla of Vater, often originating from a ruptured pseudoaneurysm of the peripancreatic arteries. Despite its rarity, HP presents a diagnostic and therapeutic challenge due to its elusive clinical presentation and complex underlying pathophysiology. In this case report, we presented a compelling instance of HP, diagnosed in a 48-year-old man, complicated with gastrointestinal bleeding and severe anemia successfully managed with urgent endovascular intervention. We highlighted the importance of early recognition, prompt intervention, and interdisciplinary collaboration in achieving favorable outcomes in patients afflicted by this distinctly unusual condition.</p>","PeriodicalId":45645,"journal":{"name":"Case Reports in Gastrointestinal Medicine","volume":"2025 ","pages":"6149221"},"PeriodicalIF":0.5000,"publicationDate":"2025-02-20","publicationTypes":"Journal Article","fieldsOfStudy":null,"isOpenAccess":false,"openAccessPdf":"https://www.ncbi.nlm.nih.gov/pmc/articles/PMC11867726/pdf/","citationCount":"0","resultStr":null,"platform":"Semanticscholar","paperid":null,"PeriodicalName":"Case Reports in Gastrointestinal Medicine","FirstCategoryId":"1085","ListUrlMain":"https://doi.org/10.1155/crgm/6149221","RegionNum":0,"RegionCategory":null,"ArticlePicture":[],"TitleCN":null,"AbstractTextCN":null,"PMCID":null,"EPubDate":"2025/1/1 0:00:00","PubModel":"eCollection","JCR":"Q4","JCRName":"GASTROENTEROLOGY & HEPATOLOGY","Score":null,"Total":0}
引用次数: 0

Abstract

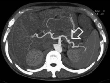
Hemosuccus pancreaticus (HP) is a rare but potentially life-threatening condition, characterized by upper gastrointestinal bleeding from the ampulla of Vater, often originating from a ruptured pseudoaneurysm of the peripancreatic arteries. Despite its rarity, HP presents a diagnostic and therapeutic challenge due to its elusive clinical presentation and complex underlying pathophysiology. In this case report, we presented a compelling instance of HP, diagnosed in a 48-year-old man, complicated with gastrointestinal bleeding and severe anemia successfully managed with urgent endovascular intervention. We highlighted the importance of early recognition, prompt intervention, and interdisciplinary collaboration in achieving favorable outcomes in patients afflicted by this distinctly unusual condition.

Abstract Image

Abstract Image

Abstract Image

脾动脉栓塞治疗胰血浆液致上消化道出血。
胰脏出血(HP)是一种罕见但可能危及生命的疾病,其特征是上消化道出血,来自壶腹,通常起源于胰腺周围动脉的假性动脉瘤破裂。尽管其罕见,但由于其难以捉摸的临床表现和复杂的潜在病理生理,HP呈现出诊断和治疗的挑战。在这个病例报告中,我们提出了一个令人信服的HP病例,诊断为48岁男性,并发胃肠道出血和严重贫血,经紧急血管内介入治疗成功。我们强调了早期识别、及时干预和跨学科合作对这种明显不寻常的疾病患者取得良好结果的重要性。
本文章由计算机程序翻译,如有差异,请以英文原文为准。
求助全文
约1分钟内获得全文 求助全文
来源期刊
Case Reports in Gastrointestinal Medicine
Case Reports in Gastrointestinal Medicine GASTROENTEROLOGY & HEPATOLOGY-
自引率
0.00%
发文量
33
审稿时长
14 weeks
×
引用
GB/T 7714-2015
复制
MLA
复制
APA
复制
导出至
BibTeX EndNote RefMan NoteFirst NoteExpress
×
提示
您的信息不完整,为了账户安全,请先补充。
现在去补充
×
提示
您因"违规操作"
具体请查看互助需知
我知道了
×
提示
确定
请完成安全验证×
copy
已复制链接
快去分享给好友吧!
我知道了
右上角分享
点击右上角分享
0
联系我们:info@booksci.cn Book学术提供免费学术资源搜索服务,方便国内外学者检索中英文文献。致力于提供最便捷和优质的服务体验。 Copyright © 2023 布克学术 All rights reserved.
京ICP备2023020795号-1
ghs 京公网安备 11010802042870号
Book学术文献互助
Book学术文献互助群
群 号:604180095
Book学术官方微信