Diabetic Ketoacidosis Caused by Acute Pancreatitis Results in Severe Hypertriglyceridemia: A Case Report.

IF 3 Q3 ENDOCRINOLOGY & METABOLISM
Amirpasha Mansour, Shima Ghasemzade
{"title":"Diabetic Ketoacidosis Caused by Acute Pancreatitis Results in Severe Hypertriglyceridemia: A Case Report.","authors":"Amirpasha Mansour, Shima Ghasemzade","doi":"10.1177/11795514251323826","DOIUrl":null,"url":null,"abstract":"<p><p>Diabetic ketoacidosis (DKA) is an acute complication of diabetes that mainly occurs in type 1 diabetes. However, it can also occur in type 2 diabetes, although less commonly. One of the rare causes of this condition is acute pancreatitis. While hypertriglyceridemia is a known complication of DKA, triglyceride levels higher than 2000 are an unusual finding. We present a case of undiagnosed type 2 diabetes mellitus in a patient who came to the hospital with epigastric pain, nausea, and vomiting. Subsequent blood tests revealed hyperglycemia, ketonuria, metabolic acidosis, and increased levels of amylase and lipase, leading to a simultaneous diagnosis of DKA, acute pancreatitis, and very severe hypertriglyceridemia. In patients experiencing abdominal pain and severe diabetic complications, acute pancreatitis should always be considered as a possible diagnosis, and triglyceride levels should be tested to identify hypertriglyceridemia as a potential cause of pancreatitis or complications of DKA.</p>","PeriodicalId":44715,"journal":{"name":"Clinical Medicine Insights-Endocrinology and Diabetes","volume":"18 ","pages":"11795514251323826"},"PeriodicalIF":3.0000,"publicationDate":"2025-02-27","publicationTypes":"Journal Article","fieldsOfStudy":null,"isOpenAccess":false,"openAccessPdf":"https://www.ncbi.nlm.nih.gov/pmc/articles/PMC11866377/pdf/","citationCount":"0","resultStr":null,"platform":"Semanticscholar","paperid":null,"PeriodicalName":"Clinical Medicine Insights-Endocrinology and Diabetes","FirstCategoryId":"1085","ListUrlMain":"https://doi.org/10.1177/11795514251323826","RegionNum":0,"RegionCategory":null,"ArticlePicture":[],"TitleCN":null,"AbstractTextCN":null,"PMCID":null,"EPubDate":"2025/1/1 0:00:00","PubModel":"eCollection","JCR":"Q3","JCRName":"ENDOCRINOLOGY & METABOLISM","Score":null,"Total":0}
引用次数: 0

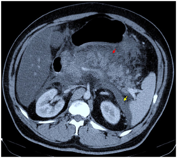
Abstract

Diabetic ketoacidosis (DKA) is an acute complication of diabetes that mainly occurs in type 1 diabetes. However, it can also occur in type 2 diabetes, although less commonly. One of the rare causes of this condition is acute pancreatitis. While hypertriglyceridemia is a known complication of DKA, triglyceride levels higher than 2000 are an unusual finding. We present a case of undiagnosed type 2 diabetes mellitus in a patient who came to the hospital with epigastric pain, nausea, and vomiting. Subsequent blood tests revealed hyperglycemia, ketonuria, metabolic acidosis, and increased levels of amylase and lipase, leading to a simultaneous diagnosis of DKA, acute pancreatitis, and very severe hypertriglyceridemia. In patients experiencing abdominal pain and severe diabetic complications, acute pancreatitis should always be considered as a possible diagnosis, and triglyceride levels should be tested to identify hypertriglyceridemia as a potential cause of pancreatitis or complications of DKA.

Abstract Image

Abstract Image

Abstract Image

急性胰腺炎引起的糖尿病酮症酸中毒导致严重高甘油三酯血症1例报告。
糖尿病酮症酸中毒(DKA)是糖尿病的一种急性并发症,主要发生于1型糖尿病。然而,它也可能发生在2型糖尿病中,尽管不太常见。其中一个罕见的原因是急性胰腺炎。虽然高甘油三酯血症是已知的DKA并发症,但甘油三酯水平高于2000是不寻常的发现。我们报告一例未确诊的2型糖尿病患者,因上腹疼痛、恶心和呕吐来到医院。随后的血液检查显示高血糖、酮尿、代谢性酸中毒、淀粉酶和脂肪酶水平升高,导致DKA、急性胰腺炎和非常严重的高甘油三酯血症的同时诊断。对于出现腹痛和严重糖尿病并发症的患者,应始终将急性胰腺炎视为可能的诊断,并应检测甘油三酯水平,以确定高甘油三酯血症是否是胰腺炎或DKA并发症的潜在原因。
本文章由计算机程序翻译,如有差异,请以英文原文为准。
求助全文
约1分钟内获得全文 求助全文
来源期刊
CiteScore
4.30
自引率
0.00%
发文量
15
审稿时长
8 weeks
×
引用
GB/T 7714-2015
复制
MLA
复制
APA
复制
导出至
BibTeX EndNote RefMan NoteFirst NoteExpress
×
提示
您的信息不完整,为了账户安全,请先补充。
现在去补充
×
提示
您因"违规操作"
具体请查看互助需知
我知道了
×
提示
确定
请完成安全验证×
copy
已复制链接
快去分享给好友吧!
我知道了
右上角分享
点击右上角分享
0
联系我们:info@booksci.cn Book学术提供免费学术资源搜索服务,方便国内外学者检索中英文文献。致力于提供最便捷和优质的服务体验。 Copyright © 2023 布克学术 All rights reserved.
京ICP备2023020795号-1
ghs 京公网安备 11010802042870号
Book学术文献互助
Book学术文献互助群
群 号:604180095
Book学术官方微信