Dedifferentiated liposarcoma with extensive cystic change causing significant diagnostic challenges: report of two cases and review of the literature.

IF 2.3 3区 医学 Q2 PATHOLOGY
Viola Katharina Vetter, Perparim Limani, Falko Ensle, Michelle Leanne Brown, Lorenz Bankel, Marco Matteo Bühler, Chantal Pauli
{"title":"Dedifferentiated liposarcoma with extensive cystic change causing significant diagnostic challenges: report of two cases and review of the literature.","authors":"Viola Katharina Vetter, Perparim Limani, Falko Ensle, Michelle Leanne Brown, Lorenz Bankel, Marco Matteo Bühler, Chantal Pauli","doi":"10.1186/s13000-025-01619-0","DOIUrl":null,"url":null,"abstract":"<p><strong>Background: </strong>Retroperitoneal dedifferentiated liposarcoma is a rare, aggressive malignancy, characterized by high rates of recurrences and the potential for metastasis. On imaging, these tumors typically present as a solid mass with lipomatous and non-lipomatous components. Cystic changes of dedifferentiated liposarcomas is exceedingly rare and might pose significant diagnostic challenges, with only a few cases reported in the literature. REPORT OF 2 CASES: We here present two cases of retroperitoneal dedifferentiated liposarcoma with a rare cystic presentation in two female patients aged 51 and 62 years. Imaging revealed large perinephric cystic masses measuring up to 13.0 cm and 16.1 cm, respectively, with calcifications of the cyst wall observed in the second case. Differential diagnoses included cystic echinococcosis, mesenchymal neoplasms, and benign cystic lesions (e.g. endometrial cyst). Both patients underwent upfront compartmental en-bloc surgical resection of the tumor mass and the kidney after multidisciplinary tumor board (MDT) discussion. Macroscopically, the tumors were adherent to but sharply demarcated from the kidney. Histological examination of the first case revealed a small component of well-differentiated liposarcoma (WDLPS) adjacent to a large non-lipogenic sarcoma with a prominent whirling pattern, compatible with dedifferentiation. The second case demonstrated a spindle cell neoplasm with prominent osteosarcomatous heterologous differentiation. MDM2 amplification was confirmed in both cases by molecular testing. No long-term follow-up data is available for either patient.</p><p><strong>Conclusion: </strong>In conclusion, these cases highlight the importance of recognizing unusual and extensive cystic changes of dedifferentiated liposarcoma, which can complicate the diagnostic work-up.</p>","PeriodicalId":11237,"journal":{"name":"Diagnostic Pathology","volume":"20 1","pages":"23"},"PeriodicalIF":2.3000,"publicationDate":"2025-02-27","publicationTypes":"Journal Article","fieldsOfStudy":null,"isOpenAccess":false,"openAccessPdf":"https://www.ncbi.nlm.nih.gov/pmc/articles/PMC11866618/pdf/","citationCount":"0","resultStr":null,"platform":"Semanticscholar","paperid":null,"PeriodicalName":"Diagnostic Pathology","FirstCategoryId":"3","ListUrlMain":"https://doi.org/10.1186/s13000-025-01619-0","RegionNum":3,"RegionCategory":"医学","ArticlePicture":[],"TitleCN":null,"AbstractTextCN":null,"PMCID":null,"EPubDate":"","PubModel":"","JCR":"Q2","JCRName":"PATHOLOGY","Score":null,"Total":0}
引用次数: 0

Abstract

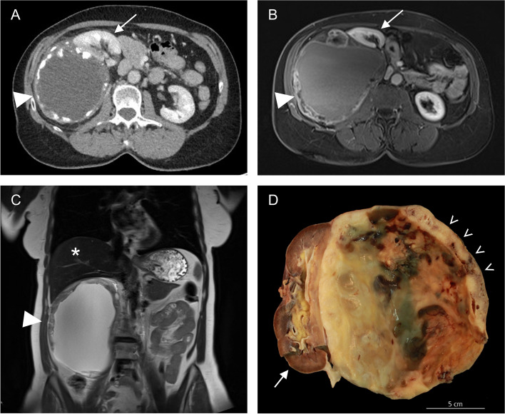
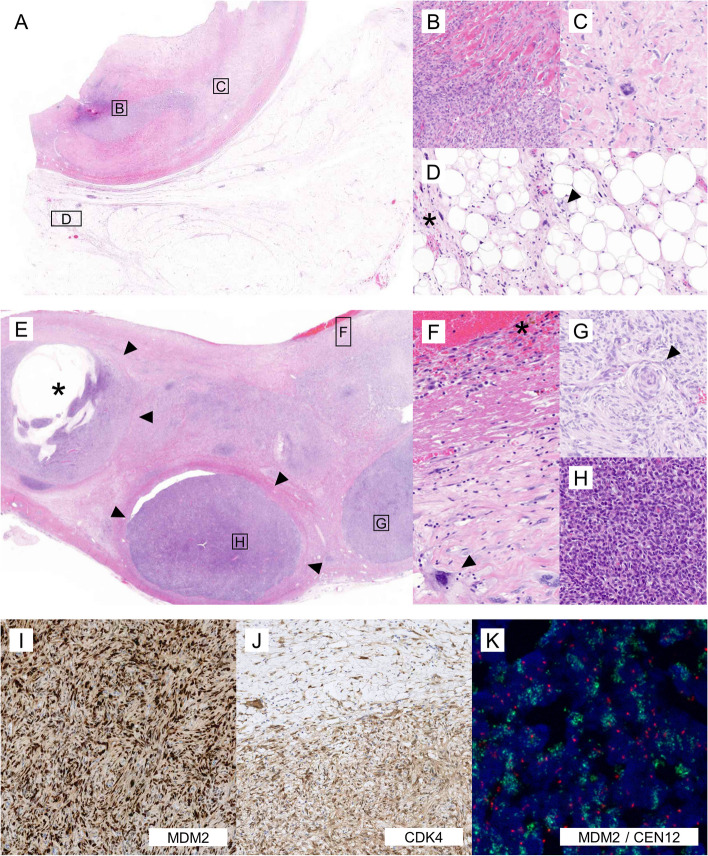
Background: Retroperitoneal dedifferentiated liposarcoma is a rare, aggressive malignancy, characterized by high rates of recurrences and the potential for metastasis. On imaging, these tumors typically present as a solid mass with lipomatous and non-lipomatous components. Cystic changes of dedifferentiated liposarcomas is exceedingly rare and might pose significant diagnostic challenges, with only a few cases reported in the literature. REPORT OF 2 CASES: We here present two cases of retroperitoneal dedifferentiated liposarcoma with a rare cystic presentation in two female patients aged 51 and 62 years. Imaging revealed large perinephric cystic masses measuring up to 13.0 cm and 16.1 cm, respectively, with calcifications of the cyst wall observed in the second case. Differential diagnoses included cystic echinococcosis, mesenchymal neoplasms, and benign cystic lesions (e.g. endometrial cyst). Both patients underwent upfront compartmental en-bloc surgical resection of the tumor mass and the kidney after multidisciplinary tumor board (MDT) discussion. Macroscopically, the tumors were adherent to but sharply demarcated from the kidney. Histological examination of the first case revealed a small component of well-differentiated liposarcoma (WDLPS) adjacent to a large non-lipogenic sarcoma with a prominent whirling pattern, compatible with dedifferentiation. The second case demonstrated a spindle cell neoplasm with prominent osteosarcomatous heterologous differentiation. MDM2 amplification was confirmed in both cases by molecular testing. No long-term follow-up data is available for either patient.

Conclusion: In conclusion, these cases highlight the importance of recognizing unusual and extensive cystic changes of dedifferentiated liposarcoma, which can complicate the diagnostic work-up.

Abstract Image

Abstract Image

Abstract Image

伴有广泛囊性改变的去分化脂肪肉瘤引起显著的诊断挑战:两例报告及文献复习。
背景:腹膜后去分化脂肪肉瘤是一种罕见的侵袭性恶性肿瘤,具有高复发率和转移潜力。在影像学上,这些肿瘤通常表现为固体肿块,有脂肪瘤和非脂肪瘤成分。去分化脂肪肉瘤的囊性改变极为罕见,可能对诊断造成重大挑战,文献中仅报道了少数病例。2例报告:我们在此报告2例腹膜后去分化脂肪肉瘤伴罕见囊性表现的2例女性患者,年龄分别为51和62岁。影像学显示肾周巨大的囊性肿块,大小分别为13.0 cm和16.1 cm,第二例可见囊肿壁钙化。鉴别诊断包括囊性包虫病、间质肿瘤和良性囊性病变(如子宫内膜囊肿)。在多学科肿瘤委员会(MDT)讨论后,两例患者都接受了肿瘤肿块和肾脏的预先室室整体手术切除。宏观上,肿瘤粘附在肾脏上,但与肾脏有明显的界限。第一个病例的组织学检查显示,一小部分高分化脂肪肉瘤(wdlp)与一个大的非脂肪源性肉瘤相邻,具有明显的旋转模式,与去分化相一致。第二例为梭形细胞肿瘤,伴有明显的骨肉瘤异源分化。分子检测证实两例患者均有MDM2扩增。两名患者均无长期随访数据。结论:这些病例强调了识别去分化脂肪肉瘤异常和广泛的囊性改变的重要性,这可能使诊断工作复杂化。
本文章由计算机程序翻译,如有差异,请以英文原文为准。
求助全文
约1分钟内获得全文 求助全文
来源期刊
Diagnostic Pathology
Diagnostic Pathology 医学-病理学
CiteScore
4.60
自引率
0.00%
发文量
93
审稿时长
1 months
期刊介绍: Diagnostic Pathology is an open access, peer-reviewed, online journal that considers research in surgical and clinical pathology, immunology, and biology, with a special focus on cutting-edge approaches in diagnostic pathology and tissue-based therapy. The journal covers all aspects of surgical pathology, including classic diagnostic pathology, prognosis-related diagnosis (tumor stages, prognosis markers, such as MIB-percentage, hormone receptors, etc.), and therapy-related findings. The journal also focuses on the technological aspects of pathology, including molecular biology techniques, morphometry aspects (stereology, DNA analysis, syntactic structure analysis), communication aspects (telecommunication, virtual microscopy, virtual pathology institutions, etc.), and electronic education and quality assurance (for example interactive publication, on-line references with automated updating, etc.).
×
引用
GB/T 7714-2015
复制
MLA
复制
APA
复制
导出至
BibTeX EndNote RefMan NoteFirst NoteExpress
×
提示
您的信息不完整,为了账户安全,请先补充。
现在去补充
×
提示
您因"违规操作"
具体请查看互助需知
我知道了
×
提示
确定
请完成安全验证×
copy
已复制链接
快去分享给好友吧!
我知道了
右上角分享
点击右上角分享
0
联系我们:info@booksci.cn Book学术提供免费学术资源搜索服务,方便国内外学者检索中英文文献。致力于提供最便捷和优质的服务体验。 Copyright © 2023 布克学术 All rights reserved.
京ICP备2023020795号-1
ghs 京公网安备 11010802042870号
Book学术文献互助
Book学术文献互助群
群 号:604180095
Book学术官方微信