Aseptic Abscess Syndrome: A Case Report of a Rare Extraintestinal Manifestation of Inflammatory Bowel Disease.

IF 0.6 Q4 GASTROENTEROLOGY & HEPATOLOGY
Case Reports in Gastroenterology Pub Date : 2025-02-27 eCollection Date: 2025-01-01 DOI:10.1159/000543761
Clive Jude Miranda, Nariman Hossein-Javaheri, Gina Marie Sparacino, Yousef Soofi, Farhan Azad, Nikki Duong
{"title":"Aseptic Abscess Syndrome: A Case Report of a Rare Extraintestinal Manifestation of Inflammatory Bowel Disease.","authors":"Clive Jude Miranda, Nariman Hossein-Javaheri, Gina Marie Sparacino, Yousef Soofi, Farhan Azad, Nikki Duong","doi":"10.1159/000543761","DOIUrl":null,"url":null,"abstract":"<p><strong>Introduction: </strong>Aseptic hepatic abscesses are a highly uncommon phenomenon and even more rare in the spectrum of extraintestinal manifestations of inflammatory bowel disease. Part of the spectrum of \"neutrophilic disease,\" both the pathogenesis and the optimal management of these aseptic abscesses remain unclear. In the context of inflammatory bowel disease, sometimes these abscesses appear despite normal endoscopic findings.</p><p><strong>Case presentation: </strong>We describe a highly uncommon case of aseptic hepatic abscess formation in a patient with inflammatory bowel disease.</p><p><strong>Conclusion: </strong>In doing so, we investigated the concept of \"aseptic abscess syndrome\" as it relates to similar autoimmune conditions.</p>","PeriodicalId":9614,"journal":{"name":"Case Reports in Gastroenterology","volume":"19 1","pages":"120-126"},"PeriodicalIF":0.6000,"publicationDate":"2025-02-27","publicationTypes":"Journal Article","fieldsOfStudy":null,"isOpenAccess":false,"openAccessPdf":"https://www.ncbi.nlm.nih.gov/pmc/articles/PMC11867638/pdf/","citationCount":"0","resultStr":null,"platform":"Semanticscholar","paperid":null,"PeriodicalName":"Case Reports in Gastroenterology","FirstCategoryId":"1085","ListUrlMain":"https://doi.org/10.1159/000543761","RegionNum":0,"RegionCategory":null,"ArticlePicture":[],"TitleCN":null,"AbstractTextCN":null,"PMCID":null,"EPubDate":"2025/1/1 0:00:00","PubModel":"eCollection","JCR":"Q4","JCRName":"GASTROENTEROLOGY & HEPATOLOGY","Score":null,"Total":0}
引用次数: 0

Abstract

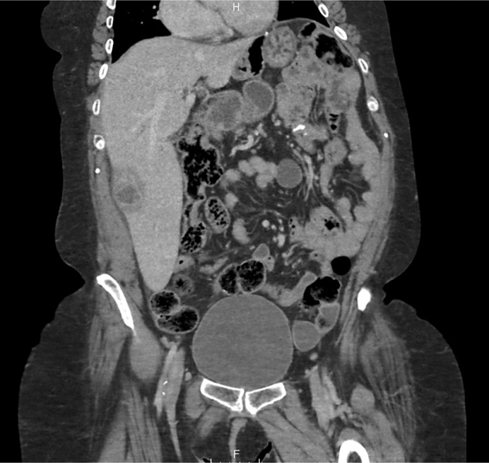
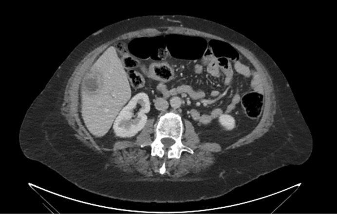
Introduction: Aseptic hepatic abscesses are a highly uncommon phenomenon and even more rare in the spectrum of extraintestinal manifestations of inflammatory bowel disease. Part of the spectrum of "neutrophilic disease," both the pathogenesis and the optimal management of these aseptic abscesses remain unclear. In the context of inflammatory bowel disease, sometimes these abscesses appear despite normal endoscopic findings.

Case presentation: We describe a highly uncommon case of aseptic hepatic abscess formation in a patient with inflammatory bowel disease.

Conclusion: In doing so, we investigated the concept of "aseptic abscess syndrome" as it relates to similar autoimmune conditions.

Abstract Image

Abstract Image

Abstract Image

无菌性脓肿综合征:一例罕见的炎症性肠病肠外表现。
无菌性肝脓肿是一种非常罕见的现象,在炎症性肠病的肠外表现中更为罕见。部分“嗜中性粒细胞疾病”的频谱,无论是发病机制和这些无菌脓肿的最佳管理仍不清楚。在炎症性肠病的情况下,有时这些脓肿出现尽管正常的内窥镜检查结果。病例介绍:我们报告一个非常罕见的病例无菌性肝脓肿形成的病人与炎症性肠病。结论:在此过程中,我们研究了“无菌性脓肿综合征”的概念,因为它与类似的自身免疫性疾病有关。
本文章由计算机程序翻译,如有差异,请以英文原文为准。
求助全文
约1分钟内获得全文 求助全文
来源期刊
Case Reports in Gastroenterology
Case Reports in Gastroenterology Medicine-Gastroenterology
CiteScore
1.10
自引率
0.00%
发文量
99
审稿时长
7 weeks
期刊介绍:
×
引用
GB/T 7714-2015
复制
MLA
复制
APA
复制
导出至
BibTeX EndNote RefMan NoteFirst NoteExpress
×
提示
您的信息不完整,为了账户安全,请先补充。
现在去补充
×
提示
您因"违规操作"
具体请查看互助需知
我知道了
×
提示
确定
请完成安全验证×
copy
已复制链接
快去分享给好友吧!
我知道了
右上角分享
点击右上角分享
0
联系我们:info@booksci.cn Book学术提供免费学术资源搜索服务,方便国内外学者检索中英文文献。致力于提供最便捷和优质的服务体验。 Copyright © 2023 布克学术 All rights reserved.
京ICP备2023020795号-1
ghs 京公网安备 11010802042870号
Book学术文献互助
Book学术文献互助群
群 号:604180095
Book学术官方微信