Improvement in radiologic findings over time is associated with increased survival in patients with viral ARDS requiring extracorporeal membrane oxygenation.

IF 1.2 Q4 RESPIRATORY SYSTEM
Lung India Pub Date : 2025-03-01 Epub Date: 2025-02-27 DOI:10.4103/lungindia.lungindia_501_24
Laura DiChiacchio, Ikeoluwapo Ibrahim, Alison Grazioli, Neda Bionghi, Kiran Batra, Sameer Chabbra, Nicholas Ladikos, Vaidehi Kaza, Srinivas Bollineni, Manish R Mohanka, Adrian Lawrence, Fernando Torres, Aldo Iacono, Daniel Herr, Irina Timofte
{"title":"Improvement in radiologic findings over time is associated with increased survival in patients with viral ARDS requiring extracorporeal membrane oxygenation.","authors":"Laura DiChiacchio, Ikeoluwapo Ibrahim, Alison Grazioli, Neda Bionghi, Kiran Batra, Sameer Chabbra, Nicholas Ladikos, Vaidehi Kaza, Srinivas Bollineni, Manish R Mohanka, Adrian Lawrence, Fernando Torres, Aldo Iacono, Daniel Herr, Irina Timofte","doi":"10.4103/lungindia.lungindia_501_24","DOIUrl":null,"url":null,"abstract":"<p><strong>Introduction: </strong>Acute respiratory distress syndrome (ARDS) requiring venovenous extracorporeal membrane oxygenation (VV ECMO) support is associated with chest radiograph changes commonly referred to as \"drowning ECMO lung\" ECMO lung presents as white-out of both lung fields, involving all lobes of the bilateral lungs. While the clinical significance of chest radiograph findings over time has been described in the general ARDS population, it has not been evaluated specifically in VV ECMO patients. This subpopulation suffers the most severe disease as well as the confounding effects of ECMO support.</p><p><strong>Materials and methods: </strong>We identified 28 patients requiring VV ECMO cannulation for influenza-related ARDS between September 2009 and January 2018. Interpretation of chest X-ray images was divided into zones that correspond to anatomical lobes on computed tomography. Progression of radiologic injury was assessed by analysing the number of zones involved on the chest radiograph (X-ray) at days 1, 3, 7, 14, and 21 from cannulation and discharge. The primary endpoint was survival to hospital discharge.</p><p><strong>Results: </strong>The majority of patients had complete opacification on days 1, 3, and 7 after VV ECMO cannulation. Patients with persistent complete opacification on chest X-ray infiltrate by day 14, following cannulation had an increased mortality. Survival to hospital discharge was increased in patients demonstrating improvement in radiological findings at day 19 compared to patients without significant radiologic improvement (100% vs 53%, log-rank P = 0.003).</p><p><strong>Conclusion: </strong>The evolution and recovery of lung injury reflected by serial chest X-ray imaging studies after influenza-related ARDS requiring VV ECMO support is associated with improved survival in this single centre, retrospective cohort.</p>","PeriodicalId":47462,"journal":{"name":"Lung India","volume":"42 2","pages":"91-96"},"PeriodicalIF":1.2000,"publicationDate":"2025-03-01","publicationTypes":"Journal Article","fieldsOfStudy":null,"isOpenAccess":false,"openAccessPdf":"https://www.ncbi.nlm.nih.gov/pmc/articles/PMC11952723/pdf/","citationCount":"0","resultStr":null,"platform":"Semanticscholar","paperid":null,"PeriodicalName":"Lung India","FirstCategoryId":"1085","ListUrlMain":"https://doi.org/10.4103/lungindia.lungindia_501_24","RegionNum":0,"RegionCategory":null,"ArticlePicture":[],"TitleCN":null,"AbstractTextCN":null,"PMCID":null,"EPubDate":"2025/2/27 0:00:00","PubModel":"Epub","JCR":"Q4","JCRName":"RESPIRATORY SYSTEM","Score":null,"Total":0}
引用次数: 0

Abstract

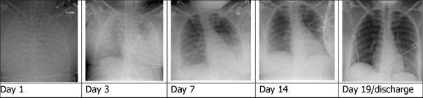
Introduction: Acute respiratory distress syndrome (ARDS) requiring venovenous extracorporeal membrane oxygenation (VV ECMO) support is associated with chest radiograph changes commonly referred to as "drowning ECMO lung" ECMO lung presents as white-out of both lung fields, involving all lobes of the bilateral lungs. While the clinical significance of chest radiograph findings over time has been described in the general ARDS population, it has not been evaluated specifically in VV ECMO patients. This subpopulation suffers the most severe disease as well as the confounding effects of ECMO support.

Materials and methods: We identified 28 patients requiring VV ECMO cannulation for influenza-related ARDS between September 2009 and January 2018. Interpretation of chest X-ray images was divided into zones that correspond to anatomical lobes on computed tomography. Progression of radiologic injury was assessed by analysing the number of zones involved on the chest radiograph (X-ray) at days 1, 3, 7, 14, and 21 from cannulation and discharge. The primary endpoint was survival to hospital discharge.

Results: The majority of patients had complete opacification on days 1, 3, and 7 after VV ECMO cannulation. Patients with persistent complete opacification on chest X-ray infiltrate by day 14, following cannulation had an increased mortality. Survival to hospital discharge was increased in patients demonstrating improvement in radiological findings at day 19 compared to patients without significant radiologic improvement (100% vs 53%, log-rank P = 0.003).

Conclusion: The evolution and recovery of lung injury reflected by serial chest X-ray imaging studies after influenza-related ARDS requiring VV ECMO support is associated with improved survival in this single centre, retrospective cohort.

Abstract Image

Abstract Image

Abstract Image

随着时间的推移,放射学表现的改善与需要体外膜氧合的病毒性ARDS患者的生存率增加有关。
简介:需要静脉静脉体外膜氧合(VV ECMO)支持的急性呼吸窘迫综合征(ARDS)与胸片改变有关,通常被称为“溺水ECMO肺”。ECMO肺表现为双肺野白化,累及双肺的所有肺叶。虽然在一般ARDS人群中胸片表现随时间变化的临床意义已被描述,但尚未对VV ECMO患者进行专门评估。这个亚群遭受最严重的疾病以及ECMO支持的混淆效应。材料和方法:我们确定了2009年9月至2018年1月期间需要VV ECMO插管治疗流感相关ARDS的28例患者。胸部x线图像的解释被划分为与计算机断层扫描上的解剖叶相对应的区域。通过分析插管和出院后第1、3、7、14和21天胸片(x线)上受累区域的数量来评估放射学损伤的进展。主要终点是生存至出院。结果:大多数患者在VV ECMO插管后第1,3,7天出现完全混浊。插管后第14天胸片浸润持续完全混浊的患者死亡率增加。与放射学无显著改善的患者相比,在第19天放射学表现改善的患者到出院的生存率增加(100% vs 53%, log-rank P = 0.003)。结论:在单中心、回顾性队列研究中,需要VV ECMO支持的流感相关ARDS患者的肺部损伤的演变和恢复与生存率的提高有关。
本文章由计算机程序翻译,如有差异,请以英文原文为准。
求助全文
约1分钟内获得全文 求助全文
来源期刊
Lung India
Lung India RESPIRATORY SYSTEM-
CiteScore
2.30
自引率
12.50%
发文量
114
审稿时长
37 weeks
×
引用
GB/T 7714-2015
复制
MLA
复制
APA
复制
导出至
BibTeX EndNote RefMan NoteFirst NoteExpress
×
提示
您的信息不完整,为了账户安全,请先补充。
现在去补充
×
提示
您因"违规操作"
具体请查看互助需知
我知道了
×
提示
确定
请完成安全验证×
copy
已复制链接
快去分享给好友吧!
我知道了
右上角分享
点击右上角分享
0
联系我们:info@booksci.cn Book学术提供免费学术资源搜索服务,方便国内外学者检索中英文文献。致力于提供最便捷和优质的服务体验。 Copyright © 2023 布克学术 All rights reserved.
京ICP备2023020795号-1
ghs 京公网安备 11010802042870号
Book学术文献互助
Book学术文献互助群
群 号:604180095
Book学术官方微信