Thoracic endometriosis syndrome diagnosed by dry thoracoscopy: Novel diagnostic method for a rare disease.

IF 1.2 Q4 RESPIRATORY SYSTEM
Lung India Pub Date : 2025-03-01 Epub Date: 2025-02-27 DOI:10.4103/lungindia.lungindia_576_24
Parul Sharma, Saurabh Karmakar, Abdul Raouf Wani, Vinay Venugopal, Debapriyo Maji
{"title":"Thoracic endometriosis syndrome diagnosed by dry thoracoscopy: Novel diagnostic method for a rare disease.","authors":"Parul Sharma, Saurabh Karmakar, Abdul Raouf Wani, Vinay Venugopal, Debapriyo Maji","doi":"10.4103/lungindia.lungindia_576_24","DOIUrl":null,"url":null,"abstract":"<p><strong>Abstract: </strong>Endometriosis is an ectopic implantation of uterine tissue and can affect the thoracic cavity, resulting in Thoracic Endometriosis Syndrome (TES). TES is rare and presents with catamenial pneumothorax, haemothorax, and hemoptysis, often coinciding with menstruation. We report a case of a 46-year-old female with a decade-long history of hemoptysis and periodic chest pain associated with her menstrual cycle. High-resolution CT scans revealed persistent pneumothorax and pleural nodules. A dry thoracoscopy was performed, and biopsies confirmed the diagnosis of TES through histopathology and immunohistochemistry. This case highlights the importance of considering TES in women with cyclic respiratory symptoms and demonstrates the diagnostic value of dry thoracoscopy in benign conditions of the pleura. Raising awareness among clinicians is crucial for timely diagnosis and management of TES, reducing patient morbidity.</p>","PeriodicalId":47462,"journal":{"name":"Lung India","volume":"42 2","pages":"147-150"},"PeriodicalIF":1.2000,"publicationDate":"2025-03-01","publicationTypes":"Journal Article","fieldsOfStudy":null,"isOpenAccess":false,"openAccessPdf":"https://www.ncbi.nlm.nih.gov/pmc/articles/PMC11952721/pdf/","citationCount":"0","resultStr":null,"platform":"Semanticscholar","paperid":null,"PeriodicalName":"Lung India","FirstCategoryId":"1085","ListUrlMain":"https://doi.org/10.4103/lungindia.lungindia_576_24","RegionNum":0,"RegionCategory":null,"ArticlePicture":[],"TitleCN":null,"AbstractTextCN":null,"PMCID":null,"EPubDate":"2025/2/27 0:00:00","PubModel":"Epub","JCR":"Q4","JCRName":"RESPIRATORY SYSTEM","Score":null,"Total":0}
引用次数: 0

Abstract

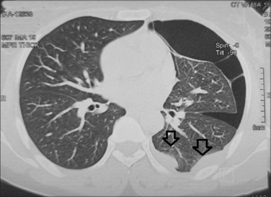
Abstract: Endometriosis is an ectopic implantation of uterine tissue and can affect the thoracic cavity, resulting in Thoracic Endometriosis Syndrome (TES). TES is rare and presents with catamenial pneumothorax, haemothorax, and hemoptysis, often coinciding with menstruation. We report a case of a 46-year-old female with a decade-long history of hemoptysis and periodic chest pain associated with her menstrual cycle. High-resolution CT scans revealed persistent pneumothorax and pleural nodules. A dry thoracoscopy was performed, and biopsies confirmed the diagnosis of TES through histopathology and immunohistochemistry. This case highlights the importance of considering TES in women with cyclic respiratory symptoms and demonstrates the diagnostic value of dry thoracoscopy in benign conditions of the pleura. Raising awareness among clinicians is crucial for timely diagnosis and management of TES, reducing patient morbidity.

Abstract Image

Abstract Image

Abstract Image

干胸腔镜诊断胸腔子宫内膜异位症:一种罕见疾病的新诊断方法。
摘要子宫内膜异位症是一种子宫组织异位着床,可影响胸腔,导致胸内膜异位症综合征(TES)。TES是罕见的,表现为肠膜性气胸、血胸和咯血,常与月经同时发生。我们报告一个病例46岁的女性与十年之久的咯血史和周期性胸痛与她的月经周期。高分辨率CT扫描显示持续性气胸和胸膜结节。行干胸腔镜检查,活检通过组织病理学和免疫组织化学证实TES的诊断。本病例强调了在有周期性呼吸症状的妇女中考虑TES的重要性,并证明了干胸腔镜在胸膜良性病变中的诊断价值。提高临床医生的认识对于及时诊断和管理TES,降低患者发病率至关重要。
本文章由计算机程序翻译,如有差异,请以英文原文为准。
求助全文
约1分钟内获得全文 求助全文
来源期刊
Lung India
Lung India RESPIRATORY SYSTEM-
CiteScore
2.30
自引率
12.50%
发文量
114
审稿时长
37 weeks
×
引用
GB/T 7714-2015
复制
MLA
复制
APA
复制
导出至
BibTeX EndNote RefMan NoteFirst NoteExpress
×
提示
您的信息不完整,为了账户安全,请先补充。
现在去补充
×
提示
您因"违规操作"
具体请查看互助需知
我知道了
×
提示
确定
请完成安全验证×
copy
已复制链接
快去分享给好友吧!
我知道了
右上角分享
点击右上角分享
0
联系我们:info@booksci.cn Book学术提供免费学术资源搜索服务,方便国内外学者检索中英文文献。致力于提供最便捷和优质的服务体验。 Copyright © 2023 布克学术 All rights reserved.
京ICP备2023020795号-1
ghs 京公网安备 11010802042870号
Book学术文献互助
Book学术文献互助群
群 号:604180095
Book学术官方微信