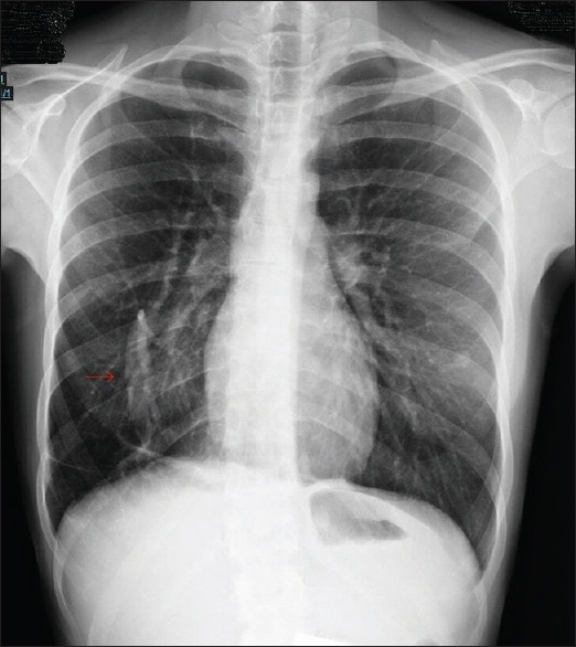
Chest radiology quiz in an unusual case of chronic cough.

IF 1.2 Q4 RESPIRATORY SYSTEM
Lung India Pub Date : 2025-03-01 Epub Date: 2025-02-27 DOI:10.4103/lungindia.lungindia_280_24
Giacomo Ghinassi, Simone Ielo, Magda Viani, Raffaele Scala
{"title":"Chest radiology quiz in an unusual case of chronic cough.","authors":"Giacomo Ghinassi, Simone Ielo, Magda Viani, Raffaele Scala","doi":"10.4103/lungindia.lungindia_280_24","DOIUrl":null,"url":null,"abstract":"<p><strong>Abstract: </strong>Welcome to this radiology challenge. Follow the clues to diagnose a young woman presenting with an unusual and persistent cough. Let us dive into the clinical case and see if you can figure out the cause.</p>","PeriodicalId":47462,"journal":{"name":"Lung India","volume":"42 2","pages":"159-160"},"PeriodicalIF":1.2000,"publicationDate":"2025-03-01","publicationTypes":"Journal Article","fieldsOfStudy":null,"isOpenAccess":false,"openAccessPdf":"https://www.ncbi.nlm.nih.gov/pmc/articles/PMC11952739/pdf/","citationCount":"0","resultStr":null,"platform":"Semanticscholar","paperid":null,"PeriodicalName":"Lung India","FirstCategoryId":"1085","ListUrlMain":"https://doi.org/10.4103/lungindia.lungindia_280_24","RegionNum":0,"RegionCategory":null,"ArticlePicture":[],"TitleCN":null,"AbstractTextCN":null,"PMCID":null,"EPubDate":"2025/2/27 0:00:00","PubModel":"Epub","JCR":"Q4","JCRName":"RESPIRATORY SYSTEM","Score":null,"Total":0}
引用次数: 0

Abstract

Abstract: Welcome to this radiology challenge. Follow the clues to diagnose a young woman presenting with an unusual and persistent cough. Let us dive into the clinical case and see if you can figure out the cause.

Abstract Image

Abstract Image

慢性咳嗽罕见病例的胸部放射检查。
摘要:欢迎来到本次放射学挑战。根据线索诊断一位年轻女性,她表现出不寻常的持续咳嗽。让我们深入研究临床病例,看看你是否能找出原因。
本文章由计算机程序翻译,如有差异,请以英文原文为准。
求助全文
约1分钟内获得全文 求助全文
来源期刊
Lung India
Lung India RESPIRATORY SYSTEM-
CiteScore
2.30
自引率
12.50%
发文量
114
审稿时长
37 weeks
×
引用
GB/T 7714-2015
复制
MLA
复制
APA
复制
导出至
BibTeX EndNote RefMan NoteFirst NoteExpress
×
提示
您的信息不完整,为了账户安全,请先补充。
现在去补充
×
提示
您因"违规操作"
具体请查看互助需知
我知道了
×
提示
确定
请完成安全验证×
copy
已复制链接
快去分享给好友吧!
我知道了
右上角分享
点击右上角分享
0
联系我们:info@booksci.cn Book学术提供免费学术资源搜索服务,方便国内外学者检索中英文文献。致力于提供最便捷和优质的服务体验。 Copyright © 2023 布克学术 All rights reserved.
京ICP备2023020795号-1
ghs 京公网安备 11010802042870号
Book学术文献互助
Book学术文献互助群
群 号:604180095
Book学术官方微信