Everolimus induced pneumonitis in a liver transplant patient: Dilemma in the discrimination of pneumonia.

IF 0.6 Q4 SURGERY
Kutay Sağlam, Adem Köse, Murat Yalçınsoy, Yaşar Bayındır, Sezai Yılmaz
{"title":"Everolimus induced pneumonitis in a liver transplant patient: Dilemma in the discrimination of pneumonia.","authors":"Kutay Sağlam, Adem Köse, Murat Yalçınsoy, Yaşar Bayındır, Sezai Yılmaz","doi":"10.47717/turkjsurg.2022.5489","DOIUrl":null,"url":null,"abstract":"<p><p>Everolimus is one of the immunosuppressive drugs used in solid organ transplantation. Many side effects have been described for these immunosuppressive drugs, similar to other drugs in this category. The purpose of this case presentation is to draw attention to drug-induced pneumonitis, which is a rare and life-threatening side effect of everolimus. A nineteen-year-old female patient who received liver transplantation for toxic hepatitis was admitted to our institute with cough and dyspnea. Everolimus had been started in conjunction with tacrolimus therapy 6 months prior to admission. Her chest imaging were consistent with pneumonitis. Markers of infection and cultures were all negative. After discontinuation of everolimus, symptoms and radiological findings resolved. The adverse effects of the drug should be kept in mind while investigating possible infectious agents in liver transplant recipients who are prone to opportunistic infections.</p>","PeriodicalId":23374,"journal":{"name":"Turkish Journal of Surgery","volume":"41 1","pages":"105-107"},"PeriodicalIF":0.6000,"publicationDate":"2025-02-27","publicationTypes":"Journal Article","fieldsOfStudy":null,"isOpenAccess":false,"openAccessPdf":"https://www.ncbi.nlm.nih.gov/pmc/articles/PMC11878176/pdf/","citationCount":"0","resultStr":null,"platform":"Semanticscholar","paperid":null,"PeriodicalName":"Turkish Journal of Surgery","FirstCategoryId":"1085","ListUrlMain":"https://doi.org/10.47717/turkjsurg.2022.5489","RegionNum":0,"RegionCategory":null,"ArticlePicture":[],"TitleCN":null,"AbstractTextCN":null,"PMCID":null,"EPubDate":"","PubModel":"","JCR":"Q4","JCRName":"SURGERY","Score":null,"Total":0}
引用次数: 0

Abstract

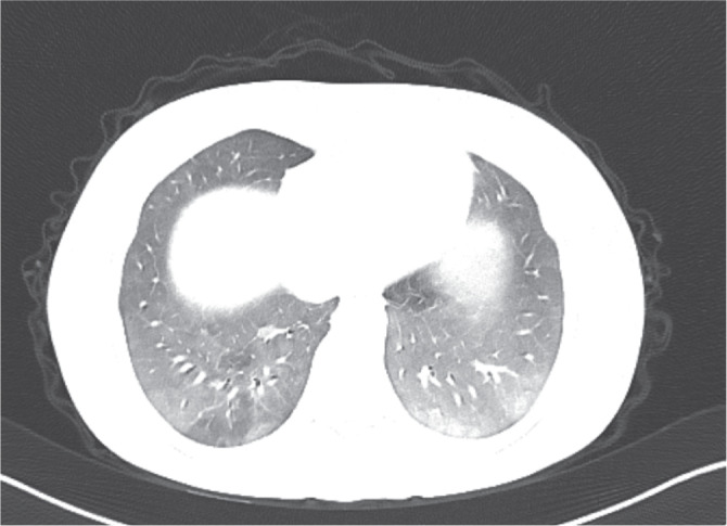
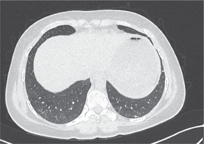
Everolimus is one of the immunosuppressive drugs used in solid organ transplantation. Many side effects have been described for these immunosuppressive drugs, similar to other drugs in this category. The purpose of this case presentation is to draw attention to drug-induced pneumonitis, which is a rare and life-threatening side effect of everolimus. A nineteen-year-old female patient who received liver transplantation for toxic hepatitis was admitted to our institute with cough and dyspnea. Everolimus had been started in conjunction with tacrolimus therapy 6 months prior to admission. Her chest imaging were consistent with pneumonitis. Markers of infection and cultures were all negative. After discontinuation of everolimus, symptoms and radiological findings resolved. The adverse effects of the drug should be kept in mind while investigating possible infectious agents in liver transplant recipients who are prone to opportunistic infections.

Abstract Image

Abstract Image

依维莫司致肝移植患者肺炎:肺炎鉴别的困境。
依维莫司是用于实体器官移植的免疫抑制药物之一。许多副作用已被描述为这些免疫抑制药物,类似于其他药物在这一类别。本病例报告的目的是引起对药物性肺炎的关注,这是依维莫司罕见且危及生命的副作用。一位19岁女性患者因中毒性肝炎接受肝移植,因咳嗽和呼吸困难入院。入院前6个月,依维莫司与他克莫司联合使用。胸部影像学表现与肺炎相符。感染和培养指标均为阴性。停用依维莫司后,症状和影像学表现消失。在调查容易发生机会性感染的肝移植受者可能的感染源时,应牢记该药的不良反应。
本文章由计算机程序翻译,如有差异,请以英文原文为准。
求助全文
约1分钟内获得全文 求助全文
来源期刊
CiteScore
1.20
自引率
0.00%
发文量
16
×
引用
GB/T 7714-2015
复制
MLA
复制
APA
复制
导出至
BibTeX EndNote RefMan NoteFirst NoteExpress
×
提示
您的信息不完整,为了账户安全,请先补充。
现在去补充
×
提示
您因"违规操作"
具体请查看互助需知
我知道了
×
提示
确定
请完成安全验证×
copy
已复制链接
快去分享给好友吧!
我知道了
右上角分享
点击右上角分享
0
联系我们:info@booksci.cn Book学术提供免费学术资源搜索服务,方便国内外学者检索中英文文献。致力于提供最便捷和优质的服务体验。 Copyright © 2023 布克学术 All rights reserved.
京ICP备2023020795号-1
ghs 京公网安备 11010802042870号
Book学术文献互助
Book学术文献互助群
群 号:604180095
Book学术官方微信