Double jeopardy: The aortic-diaphragmatic injury complex.

IF 0.6 Q4 SURGERY
Vitor Favali Kruger, Murilo Luciano Langoni, Cristhian Jaillita Meneses, Thiago A R Calderan, Elcio S Hirano, Gustavo Pereira Fraga
{"title":"Double jeopardy: The aortic-diaphragmatic injury complex.","authors":"Vitor Favali Kruger, Murilo Luciano Langoni, Cristhian Jaillita Meneses, Thiago A R Calderan, Elcio S Hirano, Gustavo Pereira Fraga","doi":"10.47717/turkjsurg.2025.6720","DOIUrl":null,"url":null,"abstract":"<p><strong>Objective: </strong>Concurrent traumatic diaphragmatic hernia (TDH) and blunt thoracic aortic injury (BTAI) are rare but critical injury complexes that result from high-energy trauma mechanisms. This study analyzed the epidemiology, diagnostic approaches, risk factors, and outcomes of concurrent TDH and BTAI and proposed a structured treatment algorithm.</p><p><strong>Material and methods: </strong>A retrospective analysis was performed using trauma records from a level 1 trauma center (2004-2024). Four male patients with confirmed concurrent TDH and BTAI were included in the study. Data on demographics, injury characteristics, diagnostic methods, treatment, and outcomes were collected. Statistical analyses were conducted using appropriate tests.</p><p><strong>Results: </strong>All injuries were caused by high-energy traumas. Mean injury severity score was 38 and the revised trauma score was 6.58. A massive transfusion protocol was activated in 75.0% of cases. Diagnostic imaging showed varying accuracies, with computed tomography demonstrating superior sensitivity for both injuries. All TDH were left-sided posterolateral and BTAI predominantly involved the isthmus. Management followed a sequential approach, with 75.0% of diaphragmatic repairs preceding the aortic intervention. Mean hospital stay was 33 days, with complications including infections, deep vein thrombosis, and atelectasis. Despite the high severity of the injury, all patients survived.</p><p><strong>Conclusion: </strong>Concurrent TDH and BTAI are rare, but critical injury complexes. Early recognition through structured diagnostic protocols and sequential management guided by institutional capabilities can achieve favorable outcomes despite high injury severity.</p>","PeriodicalId":23374,"journal":{"name":"Turkish Journal of Surgery","volume":"41 1","pages":"31-41"},"PeriodicalIF":0.6000,"publicationDate":"2025-02-27","publicationTypes":"Journal Article","fieldsOfStudy":null,"isOpenAccess":false,"openAccessPdf":"https://www.ncbi.nlm.nih.gov/pmc/articles/PMC11878192/pdf/","citationCount":"0","resultStr":null,"platform":"Semanticscholar","paperid":null,"PeriodicalName":"Turkish Journal of Surgery","FirstCategoryId":"1085","ListUrlMain":"https://doi.org/10.47717/turkjsurg.2025.6720","RegionNum":0,"RegionCategory":null,"ArticlePicture":[],"TitleCN":null,"AbstractTextCN":null,"PMCID":null,"EPubDate":"","PubModel":"","JCR":"Q4","JCRName":"SURGERY","Score":null,"Total":0}
引用次数: 0

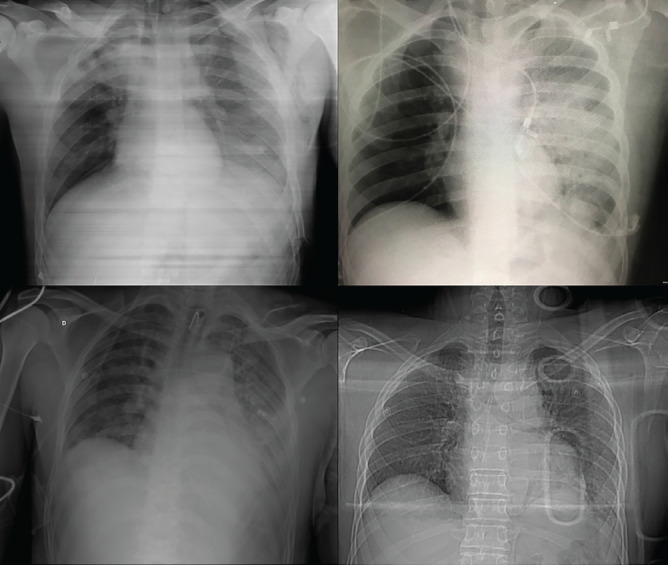
Abstract

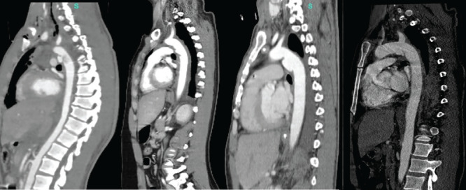
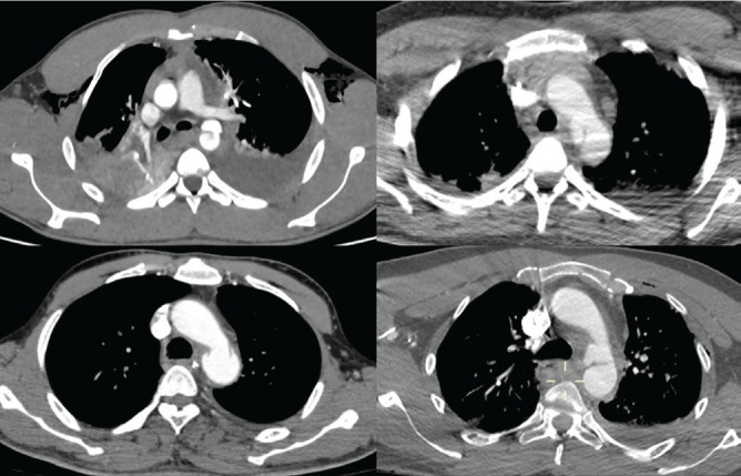
Objective: Concurrent traumatic diaphragmatic hernia (TDH) and blunt thoracic aortic injury (BTAI) are rare but critical injury complexes that result from high-energy trauma mechanisms. This study analyzed the epidemiology, diagnostic approaches, risk factors, and outcomes of concurrent TDH and BTAI and proposed a structured treatment algorithm.

Material and methods: A retrospective analysis was performed using trauma records from a level 1 trauma center (2004-2024). Four male patients with confirmed concurrent TDH and BTAI were included in the study. Data on demographics, injury characteristics, diagnostic methods, treatment, and outcomes were collected. Statistical analyses were conducted using appropriate tests.

Results: All injuries were caused by high-energy traumas. Mean injury severity score was 38 and the revised trauma score was 6.58. A massive transfusion protocol was activated in 75.0% of cases. Diagnostic imaging showed varying accuracies, with computed tomography demonstrating superior sensitivity for both injuries. All TDH were left-sided posterolateral and BTAI predominantly involved the isthmus. Management followed a sequential approach, with 75.0% of diaphragmatic repairs preceding the aortic intervention. Mean hospital stay was 33 days, with complications including infections, deep vein thrombosis, and atelectasis. Despite the high severity of the injury, all patients survived.

Conclusion: Concurrent TDH and BTAI are rare, but critical injury complexes. Early recognition through structured diagnostic protocols and sequential management guided by institutional capabilities can achieve favorable outcomes despite high injury severity.

Abstract Image

Abstract Image

Abstract Image

双重危险:主动脉-膈肌损伤复合体。
目的:并发外伤性膈疝(TDH)和钝性胸主动脉损伤(BTAI)是由高能创伤机制引起的罕见但严重的损伤复合物。本研究分析了TDH和BTAI并发的流行病学、诊断方法、危险因素和结局,并提出了结构化的治疗算法。材料和方法:回顾性分析一家一级创伤中心2004-2024年的创伤记录。4例确诊同时伴有TDH和BTAI的男性患者纳入研究。收集了人口统计学、损伤特征、诊断方法、治疗和结果的数据。采用适当的测试方法进行统计分析。结果:所有损伤均为高能损伤。平均损伤严重程度评分为38分,修正创伤评分为6.58分。75.0%的病例启动了大规模输血方案。诊断成像显示出不同的准确性,计算机断层扫描显示出对两种损伤的优越敏感性。所有TDH均位于左侧后外侧,BTAI主要累及峡部。治疗采用序贯方法,在主动脉介入治疗前进行了75.0%的膈肌修复。平均住院时间33天,并发症包括感染、深静脉血栓形成和肺不张。尽管伤势严重,但所有患者都活了下来。结论:同时发生TDH和BTAI是罕见的,但却是严重的损伤复合物。尽管损伤严重,但通过结构化诊断方案和由机构能力指导的顺序管理进行早期识别可以获得良好的结果。
本文章由计算机程序翻译,如有差异,请以英文原文为准。
求助全文
约1分钟内获得全文 求助全文
来源期刊
CiteScore
1.20
自引率
0.00%
发文量
16
×
引用
GB/T 7714-2015
复制
MLA
复制
APA
复制
导出至
BibTeX EndNote RefMan NoteFirst NoteExpress
×
提示
您的信息不完整,为了账户安全,请先补充。
现在去补充
×
提示
您因"违规操作"
具体请查看互助需知
我知道了
×
提示
确定
请完成安全验证×
copy
已复制链接
快去分享给好友吧!
我知道了
右上角分享
点击右上角分享
0
联系我们:info@booksci.cn Book学术提供免费学术资源搜索服务,方便国内外学者检索中英文文献。致力于提供最便捷和优质的服务体验。 Copyright © 2023 布克学术 All rights reserved.
京ICP备2023020795号-1
ghs 京公网安备 11010802042870号
Book学术文献互助
Book学术文献互助群
群 号:604180095
Book学术官方微信