Spontaneous and uneventful anal expulsion of expanded polytetrafluoroethylene (e-PTFE) vascular graft after living donor liver transplantation.

IF 0.6 Q4 SURGERY
Tufan Egeli, Tarkan Ünek, Cihan Ağalar, Muhammet Berkay Sakaoğlu, Mücahit Özbilgin, Funda Obuz, Canan Altay, Mesut Akarsu, İbrahim Astarcıoğlu
{"title":"Spontaneous and uneventful anal expulsion of expanded polytetrafluoroethylene (e-PTFE) vascular graft after living donor liver transplantation.","authors":"Tufan Egeli, Tarkan Ünek, Cihan Ağalar, Muhammet Berkay Sakaoğlu, Mücahit Özbilgin, Funda Obuz, Canan Altay, Mesut Akarsu, İbrahim Astarcıoğlu","doi":"10.47717/turkjsurg.2022.5567","DOIUrl":null,"url":null,"abstract":"<p><p>Living donor liver transplantation (LDLT) is a useful therapeutic option for end-stage liver disease due to the shortage of deceased donor liver grafts, particularly in Asia and Türkiye. Right liver LDLT is frequently performed in adults and some cases require anterior section venous drainage. Synthetic grafts, particularly expanded polytetrafluoroethylene (e-PTFE), are often preferred for venoplasties. Despite its many advantages, some complications associated with these grafts have been reported, such as gastrointestinal tract migration, perforation, and bleeding. Here we present an extremely rare case about an e-PTFE graft.</p>","PeriodicalId":23374,"journal":{"name":"Turkish Journal of Surgery","volume":"41 1","pages":"102-104"},"PeriodicalIF":0.6000,"publicationDate":"2025-02-27","publicationTypes":"Journal Article","fieldsOfStudy":null,"isOpenAccess":false,"openAccessPdf":"https://www.ncbi.nlm.nih.gov/pmc/articles/PMC11878178/pdf/","citationCount":"0","resultStr":null,"platform":"Semanticscholar","paperid":null,"PeriodicalName":"Turkish Journal of Surgery","FirstCategoryId":"1085","ListUrlMain":"https://doi.org/10.47717/turkjsurg.2022.5567","RegionNum":0,"RegionCategory":null,"ArticlePicture":[],"TitleCN":null,"AbstractTextCN":null,"PMCID":null,"EPubDate":"","PubModel":"","JCR":"Q4","JCRName":"SURGERY","Score":null,"Total":0}
引用次数: 0

Abstract

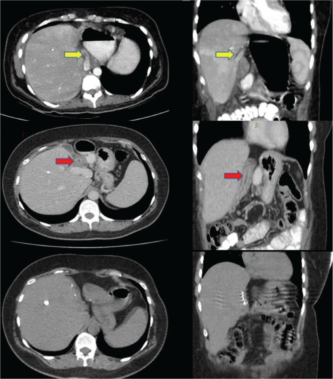
Living donor liver transplantation (LDLT) is a useful therapeutic option for end-stage liver disease due to the shortage of deceased donor liver grafts, particularly in Asia and Türkiye. Right liver LDLT is frequently performed in adults and some cases require anterior section venous drainage. Synthetic grafts, particularly expanded polytetrafluoroethylene (e-PTFE), are often preferred for venoplasties. Despite its many advantages, some complications associated with these grafts have been reported, such as gastrointestinal tract migration, perforation, and bleeding. Here we present an extremely rare case about an e-PTFE graft.

Abstract Image

Abstract Image

活体供肝移植后扩张聚四氟乙烯(e-PTFE)血管移植物的自发和平稳肛门排出。
活体供肝移植(LDLT)是终末期肝病的一种有效的治疗选择,因为死亡的供肝移植缺乏,特别是在亚洲和泰国。右肝LDLT经常在成人中进行,有些病例需要前切面静脉引流。合成移植物,特别是膨胀聚四氟乙烯(e-PTFE),通常首选静脉成形术。尽管它有许多优点,但也有一些与这些移植物相关的并发症,如胃肠道迁移、穿孔和出血。在这里,我们提出一个极为罕见的案例,关于e-PTFE接枝。
本文章由计算机程序翻译,如有差异,请以英文原文为准。
求助全文
约1分钟内获得全文 求助全文
来源期刊
CiteScore
1.20
自引率
0.00%
发文量
16
×
引用
GB/T 7714-2015
复制
MLA
复制
APA
复制
导出至
BibTeX EndNote RefMan NoteFirst NoteExpress
×
提示
您的信息不完整,为了账户安全,请先补充。
现在去补充
×
提示
您因"违规操作"
具体请查看互助需知
我知道了
×
提示
确定
请完成安全验证×
copy
已复制链接
快去分享给好友吧!
我知道了
右上角分享
点击右上角分享
0
联系我们:info@booksci.cn Book学术提供免费学术资源搜索服务,方便国内外学者检索中英文文献。致力于提供最便捷和优质的服务体验。 Copyright © 2023 布克学术 All rights reserved.
京ICP备2023020795号-1
ghs 京公网安备 11010802042870号
Book学术文献互助
Book学术文献互助群
群 号:604180095
Book学术官方微信