Confronting Upside-Down Video-Assisted Thoracic Surgery Approach for Hemorrhagic Bronchogenic Cyst Manifested by Sudden Back Pain.

IF 0.7 Q4 SURGERY
Surgical Case Reports Pub Date : 2025-01-01 Epub Date: 2025-02-20 DOI:10.70352/scrj.cr.24-0126
Masato Kambe, Tomonari Oki, Shuhei Iizuka, Yoshiro Otsuki, Toru Nakamura
{"title":"Confronting Upside-Down Video-Assisted Thoracic Surgery Approach for Hemorrhagic Bronchogenic Cyst Manifested by Sudden Back Pain.","authors":"Masato Kambe, Tomonari Oki, Shuhei Iizuka, Yoshiro Otsuki, Toru Nakamura","doi":"10.70352/scrj.cr.24-0126","DOIUrl":null,"url":null,"abstract":"<p><strong>Introduction: </strong>Bronchogenic cysts, arising from an aberrant bronchial primordium inclusion during the fetal period, are typically located in the mediastinum but can develop in ectopic regions. While generally asymptomatic, these cysts may become symptomatic due to infection or, rarely, hemorrhage. This report details a case of a hemorrhagic bronchogenic cyst in the supradiaphragmatic region, successfully resected using video-assisted thoracic surgery (VATS) with a confronting upside-down monitor setting.</p><p><strong>Case presentation: </strong>An 18-year-old female presented with a fever and sudden left-sided back pain. Blood tests revealed leukocytosis and an elevated C-reactive protein. Imaging studies identified a well-circumscribed cyst along the left diaphragm, suspected to be an infected bronchogenic cyst. Magnetic resonance imaging 2 days later indicated disease progression with concomitant empyema, prompting emergency surgery. Using the confronting upside-down monitor setting, the cyst was resected. Thoracoscopic findings revealed a dark red cyst and bloody pleural effusion. The surgery was uneventful, and the patient was discharged on postoperative day 2. Bacterial cultures of the pleural effusion and cystic content were negative, and histopathological analysis confirmed the diagnosis of a hemorrhagic bronchogenic cyst.</p><p><strong>Conclusions: </strong>Hemorrhagic bronchogenic cysts should be considered in the differential diagnosis of intrathoracic cysts presenting with sudden pain. Upfront surgery is recommended for symptomatic bronchogenic cysts, irrespective of the location or etiology. VATS via the confronting upside-down monitor setting is the feasible option alongside the conventional approach.</p>","PeriodicalId":22096,"journal":{"name":"Surgical Case Reports","volume":"11 1","pages":""},"PeriodicalIF":0.7000,"publicationDate":"2025-01-01","publicationTypes":"Journal Article","fieldsOfStudy":null,"isOpenAccess":false,"openAccessPdf":"https://www.ncbi.nlm.nih.gov/pmc/articles/PMC11861584/pdf/","citationCount":"0","resultStr":null,"platform":"Semanticscholar","paperid":null,"PeriodicalName":"Surgical Case Reports","FirstCategoryId":"1085","ListUrlMain":"https://doi.org/10.70352/scrj.cr.24-0126","RegionNum":0,"RegionCategory":null,"ArticlePicture":[],"TitleCN":null,"AbstractTextCN":null,"PMCID":null,"EPubDate":"2025/2/20 0:00:00","PubModel":"Epub","JCR":"Q4","JCRName":"SURGERY","Score":null,"Total":0}
引用次数: 0

Abstract

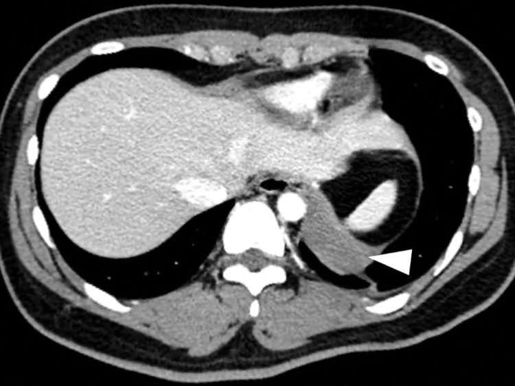
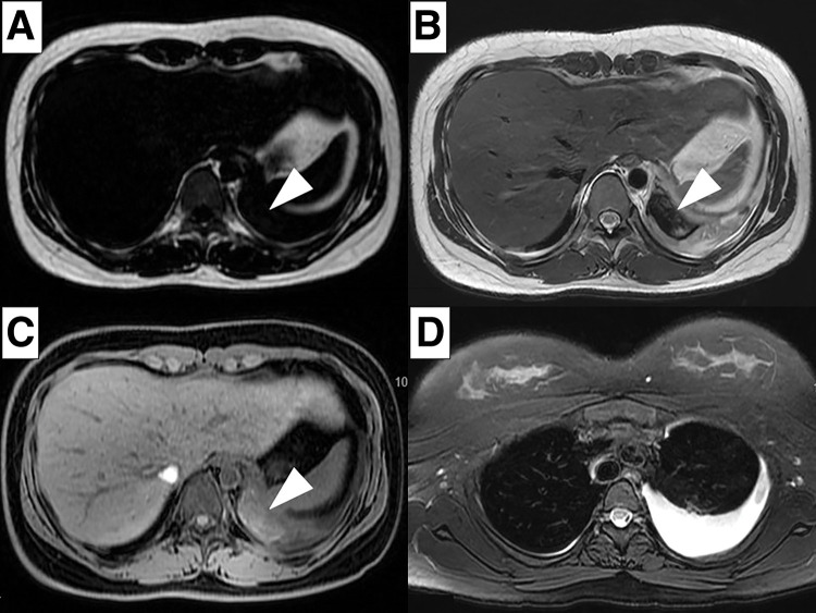
Introduction: Bronchogenic cysts, arising from an aberrant bronchial primordium inclusion during the fetal period, are typically located in the mediastinum but can develop in ectopic regions. While generally asymptomatic, these cysts may become symptomatic due to infection or, rarely, hemorrhage. This report details a case of a hemorrhagic bronchogenic cyst in the supradiaphragmatic region, successfully resected using video-assisted thoracic surgery (VATS) with a confronting upside-down monitor setting.

Case presentation: An 18-year-old female presented with a fever and sudden left-sided back pain. Blood tests revealed leukocytosis and an elevated C-reactive protein. Imaging studies identified a well-circumscribed cyst along the left diaphragm, suspected to be an infected bronchogenic cyst. Magnetic resonance imaging 2 days later indicated disease progression with concomitant empyema, prompting emergency surgery. Using the confronting upside-down monitor setting, the cyst was resected. Thoracoscopic findings revealed a dark red cyst and bloody pleural effusion. The surgery was uneventful, and the patient was discharged on postoperative day 2. Bacterial cultures of the pleural effusion and cystic content were negative, and histopathological analysis confirmed the diagnosis of a hemorrhagic bronchogenic cyst.

Conclusions: Hemorrhagic bronchogenic cysts should be considered in the differential diagnosis of intrathoracic cysts presenting with sudden pain. Upfront surgery is recommended for symptomatic bronchogenic cysts, irrespective of the location or etiology. VATS via the confronting upside-down monitor setting is the feasible option alongside the conventional approach.

Abstract Image

Abstract Image

Abstract Image

以突然背部疼痛为表现的出血性支气管囊肿的倒立胸外科手术方法探讨。
支气管源性囊肿是由胎儿时期异常的支气管原基包涵引起的,通常位于纵隔,但也可在异位区域发展。虽然通常无症状,但这些囊肿可能因感染或出血而出现症状。本文报告一例横膈膜上区出血性支气管源性囊肿,采用视频辅助胸外科手术(VATS),在对置倒立监护下成功切除。病例介绍:一名18岁女性,表现为发烧和突然左侧背部疼痛。血液检查显示白细胞增多和c反应蛋白升高。影像学检查发现沿左侧横膈膜有一个边界清楚的囊肿,怀疑为感染的支气管源性囊肿。2天后磁共振成像显示疾病进展并伴有脓胸,促使紧急手术。采用对置式倒立监护仪,切除囊肿。胸腔镜检查发现暗红色囊肿和血性胸腔积液。手术顺利,患者于术后第2天出院。胸腔积液和囊性内容物的细菌培养呈阴性,组织病理学分析证实了出血性支气管源性囊肿的诊断。结论:以突发性疼痛为表现的胸内囊肿应考虑出血性支气管囊肿的鉴别诊断。对于有症状的支气管源性囊肿,不论其位置或病因,均建议进行前期手术。与传统方法相比,通过正面倒置监视器设置的VATS是可行的选择。
本文章由计算机程序翻译,如有差异,请以英文原文为准。
求助全文
约1分钟内获得全文 求助全文
来源期刊
自引率
0.00%
发文量
218
审稿时长
13 weeks
×
引用
GB/T 7714-2015
复制
MLA
复制
APA
复制
导出至
BibTeX EndNote RefMan NoteFirst NoteExpress
×
提示
您的信息不完整,为了账户安全,请先补充。
现在去补充
×
提示
您因"违规操作"
具体请查看互助需知
我知道了
×
提示
确定
请完成安全验证×
copy
已复制链接
快去分享给好友吧!
我知道了
右上角分享
点击右上角分享
0
联系我们:info@booksci.cn Book学术提供免费学术资源搜索服务,方便国内外学者检索中英文文献。致力于提供最便捷和优质的服务体验。 Copyright © 2023 布克学术 All rights reserved.
京ICP备2023020795号-1
ghs 京公网安备 11010802042870号
Book学术文献互助
Book学术文献互助群
群 号:604180095
Book学术官方微信