Progressive Changes in a Torpedo Maculopathy Lesion Over a 6-Year Period.

IF 0.9 Q3 OPHTHALMOLOGY
Journal of Current Ophthalmology Pub Date : 2025-01-18 eCollection Date: 2024-04-01 DOI:10.4103/joco.joco_216_23
Sai Prashanti Chitturi, Vishma Prabhu, Jay Chhablani, Ramesh Venkatesh
{"title":"Progressive Changes in a Torpedo Maculopathy Lesion Over a 6-Year Period.","authors":"Sai Prashanti Chitturi, Vishma Prabhu, Jay Chhablani, Ramesh Venkatesh","doi":"10.4103/joco.joco_216_23","DOIUrl":null,"url":null,"abstract":"<p><strong>Purpose: </strong>To report the longitudinal changes on optical coherence tomography (OCT) in a patient with torpedo maculopathy (TM).</p><p><strong>Methods: </strong>Retrospective observational study.</p><p><strong>Results: </strong>A 37-year-old male, without any ocular symptoms, on dilated fundus examination showed a characteristic torpedo-shaped, flat, horizontally oriented, ovoid-shaped, hypopigmented chorioretinal lesion, temporal to the foveal center. At the most recent visit, after 6 years, the lesion exhibited changes on OCT, including the collapse of the subretinal cleft, the thinning of the retinal pigment epithelium (RPE) layer and inner choroidal layers, and the increased visibility of the underlying choroid and inner retinal excavation. The fundus autofluorescence demonstrated an increase in hypoautofluorescence in the center of the torpedo lesion, which was surrounded by a hyperautofluorescent boundary.</p><p><strong>Conclusion: </strong>This appears to be the first report of longitudinal changes in a classic case of TM, demonstrating changes in the RPE, inner choroidal, and outer retinal layers over time.</p>","PeriodicalId":15423,"journal":{"name":"Journal of Current Ophthalmology","volume":"36 2","pages":"198-200"},"PeriodicalIF":0.9000,"publicationDate":"2025-01-18","publicationTypes":"Journal Article","fieldsOfStudy":null,"isOpenAccess":false,"openAccessPdf":"https://www.ncbi.nlm.nih.gov/pmc/articles/PMC11856115/pdf/","citationCount":"0","resultStr":null,"platform":"Semanticscholar","paperid":null,"PeriodicalName":"Journal of Current Ophthalmology","FirstCategoryId":"1085","ListUrlMain":"https://doi.org/10.4103/joco.joco_216_23","RegionNum":0,"RegionCategory":null,"ArticlePicture":[],"TitleCN":null,"AbstractTextCN":null,"PMCID":null,"EPubDate":"2024/4/1 0:00:00","PubModel":"eCollection","JCR":"Q3","JCRName":"OPHTHALMOLOGY","Score":null,"Total":0}
引用次数: 0

Abstract

Purpose: To report the longitudinal changes on optical coherence tomography (OCT) in a patient with torpedo maculopathy (TM).

Methods: Retrospective observational study.

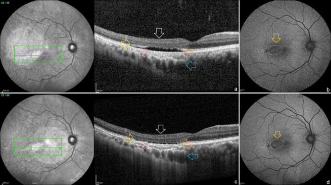
Results: A 37-year-old male, without any ocular symptoms, on dilated fundus examination showed a characteristic torpedo-shaped, flat, horizontally oriented, ovoid-shaped, hypopigmented chorioretinal lesion, temporal to the foveal center. At the most recent visit, after 6 years, the lesion exhibited changes on OCT, including the collapse of the subretinal cleft, the thinning of the retinal pigment epithelium (RPE) layer and inner choroidal layers, and the increased visibility of the underlying choroid and inner retinal excavation. The fundus autofluorescence demonstrated an increase in hypoautofluorescence in the center of the torpedo lesion, which was surrounded by a hyperautofluorescent boundary.

Conclusion: This appears to be the first report of longitudinal changes in a classic case of TM, demonstrating changes in the RPE, inner choroidal, and outer retinal layers over time.

Abstract Image

Abstract Image

6年来鱼雷黄斑病变的进行性变化。
目的:报道鱼雷黄斑病变(TM)患者的光学相干断层扫描(OCT)纵向变化。方法:回顾性观察研究。结果:男性,37岁,无任何眼部症状,眼底扩张检查显示特征性鱼雷状,扁平,水平取向,卵泡状,视网膜色素减退,颞向中央凹中心。在6年后的最近一次就诊时,病变在OCT上表现出变化,包括视网膜下裂隙塌陷,视网膜色素上皮(RPE)层和内脉络膜层变薄,脉络膜下和视网膜内挖掘的可见性增加。眼底自身荧光显示鱼雷损伤中心的低自身荧光增加,周围是高自身荧光边界。结论:这似乎是首例经典TM病例纵向变化的报告,表明RPE、内脉络膜和视网膜外层随时间的变化。
本文章由计算机程序翻译,如有差异,请以英文原文为准。
求助全文
约1分钟内获得全文 求助全文
来源期刊
CiteScore
2.50
自引率
6.70%
发文量
45
审稿时长
8 weeks
期刊介绍: Peer Review under the responsibility of Iranian Society of Ophthalmology Journal of Current Ophthalmology, the official publication of the Iranian Society of Ophthalmology, is a peer-reviewed, open-access, scientific journal that welcomes high quality original articles related to vision science and all fields of ophthalmology. Journal of Current Ophthalmology is the continuum of Iranian Journal of Ophthalmology published since 1969.
×
引用
GB/T 7714-2015
复制
MLA
复制
APA
复制
导出至
BibTeX EndNote RefMan NoteFirst NoteExpress
×
提示
您的信息不完整,为了账户安全,请先补充。
现在去补充
×
提示
您因"违规操作"
具体请查看互助需知
我知道了
×
提示
确定
请完成安全验证×
copy
已复制链接
快去分享给好友吧!
我知道了
右上角分享
点击右上角分享
0
联系我们:info@booksci.cn Book学术提供免费学术资源搜索服务,方便国内外学者检索中英文文献。致力于提供最便捷和优质的服务体验。 Copyright © 2023 布克学术 All rights reserved.
京ICP备2023020795号-1
ghs 京公网安备 11010802042870号
Book学术文献互助
Book学术文献互助群
群 号:604180095
Book学术官方微信