Pigmented Paravenous Chorioretinal Atrophy and Mucopolysaccharidosis: A Case Report.

IF 0.9 Q3 OPHTHALMOLOGY
Journal of Current Ophthalmology Pub Date : 2025-01-18 eCollection Date: 2024-04-01 DOI:10.4103/joco.joco_259_23
Zineb Algouti, Houda Bezza, Mohamed Kriet, Fouad El Asri
{"title":"Pigmented Paravenous Chorioretinal Atrophy and Mucopolysaccharidosis: A Case Report.","authors":"Zineb Algouti, Houda Bezza, Mohamed Kriet, Fouad El Asri","doi":"10.4103/joco.joco_259_23","DOIUrl":null,"url":null,"abstract":"<p><strong>Purpose: </strong>To report the atypical case of a patient with mucopolysaccharidosis type II (MPS II) in whom bilateral pigmented paravenous chorioretinal atrophy (PPRCA) was found.</p><p><strong>Methods: </strong>An observational case report.</p><p><strong>Results: </strong>We present the case of a 31-year-old male patient who presented with decreased visual acuity and in whom fundus examination and multimodal imaging revealed a typical appearance of bilateral symmetrical PPRCA. Our patient also had thick facies with hypertelorism and stubby hands, which prompted an enzyme assay revealing MPS II.</p><p><strong>Conclusions: </strong>PPRCA is an uncommon condition with an uncertain origin that continues to be a subject of debate. Our case represents an unusual association that points to a potential genetic origin; however, further studies are needed to understand this condition.</p>","PeriodicalId":15423,"journal":{"name":"Journal of Current Ophthalmology","volume":"36 2","pages":"201-204"},"PeriodicalIF":0.9000,"publicationDate":"2025-01-18","publicationTypes":"Journal Article","fieldsOfStudy":null,"isOpenAccess":false,"openAccessPdf":"https://www.ncbi.nlm.nih.gov/pmc/articles/PMC11856123/pdf/","citationCount":"0","resultStr":null,"platform":"Semanticscholar","paperid":null,"PeriodicalName":"Journal of Current Ophthalmology","FirstCategoryId":"1085","ListUrlMain":"https://doi.org/10.4103/joco.joco_259_23","RegionNum":0,"RegionCategory":null,"ArticlePicture":[],"TitleCN":null,"AbstractTextCN":null,"PMCID":null,"EPubDate":"2024/4/1 0:00:00","PubModel":"eCollection","JCR":"Q3","JCRName":"OPHTHALMOLOGY","Score":null,"Total":0}
引用次数: 0

Abstract

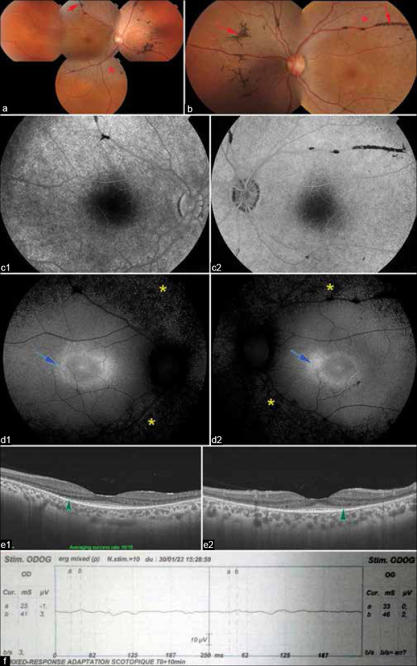
Purpose: To report the atypical case of a patient with mucopolysaccharidosis type II (MPS II) in whom bilateral pigmented paravenous chorioretinal atrophy (PPRCA) was found.

Methods: An observational case report.

Results: We present the case of a 31-year-old male patient who presented with decreased visual acuity and in whom fundus examination and multimodal imaging revealed a typical appearance of bilateral symmetrical PPRCA. Our patient also had thick facies with hypertelorism and stubby hands, which prompted an enzyme assay revealing MPS II.

Conclusions: PPRCA is an uncommon condition with an uncertain origin that continues to be a subject of debate. Our case represents an unusual association that points to a potential genetic origin; however, further studies are needed to understand this condition.

Abstract Image

Abstract Image

色素性静脉旁绒毛膜视网膜萎缩及粘多糖病1例报告。
目的:报告1例II型粘多糖病(MPS II)患者双侧静脉旁绒毛膜视网膜色素萎缩(PPRCA)的不典型病例。方法:1例观察性病例报告。结果:我们报告了一例31岁男性患者,他表现为视力下降,眼底检查和多模态成像显示为典型的双侧对称PPRCA。我们的患者也有厚相、远视和粗短的手,这促使酶分析显示MPS II。结论:PPRCA是一种罕见的疾病,起源不确定,仍然是争论的主题。我们的病例代表了一种不寻常的关联,指出了潜在的遗传起源;然而,需要进一步的研究来了解这种情况。
本文章由计算机程序翻译,如有差异,请以英文原文为准。
求助全文
约1分钟内获得全文 求助全文
来源期刊
CiteScore
2.50
自引率
6.70%
发文量
45
审稿时长
8 weeks
期刊介绍: Peer Review under the responsibility of Iranian Society of Ophthalmology Journal of Current Ophthalmology, the official publication of the Iranian Society of Ophthalmology, is a peer-reviewed, open-access, scientific journal that welcomes high quality original articles related to vision science and all fields of ophthalmology. Journal of Current Ophthalmology is the continuum of Iranian Journal of Ophthalmology published since 1969.
×
引用
GB/T 7714-2015
复制
MLA
复制
APA
复制
导出至
BibTeX EndNote RefMan NoteFirst NoteExpress
×
提示
您的信息不完整,为了账户安全,请先补充。
现在去补充
×
提示
您因"违规操作"
具体请查看互助需知
我知道了
×
提示
确定
请完成安全验证×
copy
已复制链接
快去分享给好友吧!
我知道了
右上角分享
点击右上角分享
0
联系我们:info@booksci.cn Book学术提供免费学术资源搜索服务,方便国内外学者检索中英文文献。致力于提供最便捷和优质的服务体验。 Copyright © 2023 布克学术 All rights reserved.
京ICP备2023020795号-1
ghs 京公网安备 11010802042870号
Book学术文献互助
Book学术文献互助群
群 号:604180095
Book学术官方微信