The salutary action of vitamin E on reproductive performance and renal functions in cadmium-exposed male mice.

IF 1.5 Q3 AGRICULTURE, DAIRY & ANIMAL SCIENCE
Journal of Advanced Veterinary and Animal Research Pub Date : 2024-12-29 eCollection Date: 2024-12-01 DOI:10.5455/javar.2024.k857
Mahabub Alam, Afrina Mustari, Samia Rashid, Shaima Alam Shimu, Tazmim Akter, Airin Akter, Mohammad Alam Miah, Emdadul Hauqe Chowdhury
{"title":"The salutary action of vitamin E on reproductive performance and renal functions in cadmium-exposed male mice.","authors":"Mahabub Alam, Afrina Mustari, Samia Rashid, Shaima Alam Shimu, Tazmim Akter, Airin Akter, Mohammad Alam Miah, Emdadul Hauqe Chowdhury","doi":"10.5455/javar.2024.k857","DOIUrl":null,"url":null,"abstract":"<p><strong>Objectives: </strong>The research is based on the assessment of the beneficial role of vitamin E (vit-E) supplementation on the reproductive and renal functions in Cadmium (Cd)-exposed male mice.</p><p><strong>Materials and method: </strong>Mice (<i>n</i> = 15 in each group) were kept untreated (Group A) or fed with cadmium chloride (CdCl<sub>2</sub>) (3.5 mg/kg, Group B) per day or both CdCl<sub>2</sub> (3.5 mg/kg) with vit-E supplementation (200 mg/kg, Group C) daily for 60 days. Mice were euthanized, blood samples were collected, and serum was prepared for biochemical and hormonal analysis. Sperm motility, sperm concentration, testis weight, and diameter were taken. Tissues from the kidneys and testicles were collected in 10% neutral buffered formalin for histotexture study.</p><p><strong>Results: </strong>Cd treatment reduced the serum thyroxine (T<sub>4</sub>) and testosterone levels, but vit-E supplementation increased both T<sub>4</sub> and testosterone levels in the Cd-treated mice. Cd treatment decreased sperm motility and concentration, testicular weight, and diameter, and induced degenerative changes in the seminiferous tubules, which significantly improved upon vit-E supplementation. Increased serum urea, uric acid, and creatinine concentrations, along with cellular infiltration in the renal tubular epithelium and glomerular hyperplasia, were found in the Cd-treated mice, which were not found in the vit-E-supplemented mice.</p><p><strong>Conclusion: </strong>The study points to the harmful consequences of Cd on reproductive performance and renal functions that could potentially be mitigated upon vit-E supplementation in the diet.</p>","PeriodicalId":14892,"journal":{"name":"Journal of Advanced Veterinary and Animal Research","volume":"11 4","pages":"1057-1065"},"PeriodicalIF":1.5000,"publicationDate":"2024-12-29","publicationTypes":"Journal Article","fieldsOfStudy":null,"isOpenAccess":false,"openAccessPdf":"https://www.ncbi.nlm.nih.gov/pmc/articles/PMC11855441/pdf/","citationCount":"0","resultStr":null,"platform":"Semanticscholar","paperid":null,"PeriodicalName":"Journal of Advanced Veterinary and Animal Research","FirstCategoryId":"1085","ListUrlMain":"https://doi.org/10.5455/javar.2024.k857","RegionNum":0,"RegionCategory":null,"ArticlePicture":[],"TitleCN":null,"AbstractTextCN":null,"PMCID":null,"EPubDate":"2024/12/1 0:00:00","PubModel":"eCollection","JCR":"Q3","JCRName":"AGRICULTURE, DAIRY & ANIMAL SCIENCE","Score":null,"Total":0}
引用次数: 0

Abstract

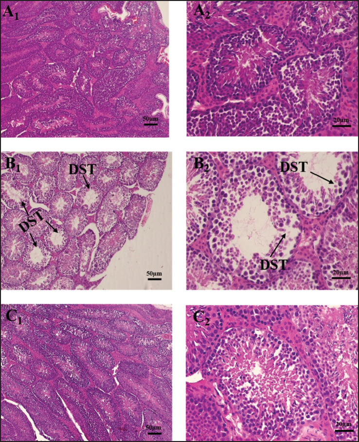
Objectives: The research is based on the assessment of the beneficial role of vitamin E (vit-E) supplementation on the reproductive and renal functions in Cadmium (Cd)-exposed male mice.

Materials and method: Mice (n = 15 in each group) were kept untreated (Group A) or fed with cadmium chloride (CdCl2) (3.5 mg/kg, Group B) per day or both CdCl2 (3.5 mg/kg) with vit-E supplementation (200 mg/kg, Group C) daily for 60 days. Mice were euthanized, blood samples were collected, and serum was prepared for biochemical and hormonal analysis. Sperm motility, sperm concentration, testis weight, and diameter were taken. Tissues from the kidneys and testicles were collected in 10% neutral buffered formalin for histotexture study.

Results: Cd treatment reduced the serum thyroxine (T4) and testosterone levels, but vit-E supplementation increased both T4 and testosterone levels in the Cd-treated mice. Cd treatment decreased sperm motility and concentration, testicular weight, and diameter, and induced degenerative changes in the seminiferous tubules, which significantly improved upon vit-E supplementation. Increased serum urea, uric acid, and creatinine concentrations, along with cellular infiltration in the renal tubular epithelium and glomerular hyperplasia, were found in the Cd-treated mice, which were not found in the vit-E-supplemented mice.

Conclusion: The study points to the harmful consequences of Cd on reproductive performance and renal functions that could potentially be mitigated upon vit-E supplementation in the diet.

Abstract Image

Abstract Image

Abstract Image

维生素E对镉暴露雄性小鼠生殖性能和肾功能的有益作用。
目的:评价补充维生素E对镉(Cd)暴露雄性小鼠生殖和肾功能的有益作用。材料和方法:每组15只小鼠不进行处理(A组),或每天添加氯化镉(CdCl2) (3.5 mg/kg, B组),或同时添加CdCl2 (3.5 mg/kg)和维生素e (200 mg/kg, C组),连续60 d。对小鼠实施安乐死,采集血样,制备血清进行生化和激素分析。测量精子活力、精子浓度、睾丸重量和直径。取肾和睾丸组织,用10%中性福尔马林缓冲液进行组织结构研究。结果:Cd治疗降低了血清甲状腺素(T4)和睾酮水平,而维生素e的补充增加了Cd治疗小鼠的T4和睾酮水平。Cd处理降低了精子活力和浓度、睾丸重量和直径,并诱导了精小管的退行性改变,而维生素e的补充显著改善了这一变化。cd处理小鼠血清尿素、尿酸和肌酐浓度升高,肾小管上皮细胞浸润和肾小球增生,而维生素e补充小鼠没有发现这些现象。结论:该研究指出,镉对生殖性能和肾功能的有害影响可能通过在饮食中补充维生素e来减轻。
本文章由计算机程序翻译,如有差异,请以英文原文为准。
求助全文
约1分钟内获得全文 求助全文
来源期刊
CiteScore
2.70
自引率
7.10%
发文量
41
审稿时长
6 weeks
期刊介绍: Journal of Advanced Veterinary and Animal Research (JAVAR) - is an open access, international, peer-reviewed, quarterly, highly-indexed scientific journal publishing original research findings and reviews on all aspects of veterinary and animal sciences. Basic and applied researches on- - Anatomy & histology - Animal health economics - Animal nutrition - Animal reproduction - Animal science - Antimicrobial resistance (AMR) - Biochemistry - Biotechnology - Dairy science - Epidemiology - Food hygiene and technology - Genetics and breeding - Immunology - Microbiology - Parasitology - Pathology - Pharmacology & toxicology - Physiology - Poultry science - Preventive veterinary medicine - Public health - Surgery & obstetrics - Veterinary extension studies - Wildlife & aquatic medicine - Zoo animal medicine.
×
引用
GB/T 7714-2015
复制
MLA
复制
APA
复制
导出至
BibTeX EndNote RefMan NoteFirst NoteExpress
×
提示
您的信息不完整,为了账户安全,请先补充。
现在去补充
×
提示
您因"违规操作"
具体请查看互助需知
我知道了
×
提示
确定
请完成安全验证×
copy
已复制链接
快去分享给好友吧!
我知道了
右上角分享
点击右上角分享
0
联系我们:info@booksci.cn Book学术提供免费学术资源搜索服务,方便国内外学者检索中英文文献。致力于提供最便捷和优质的服务体验。 Copyright © 2023 布克学术 All rights reserved.
京ICP备2023020795号-1
ghs 京公网安备 11010802042870号
Book学术文献互助
Book学术文献互助群
群 号:604180095
Book学术官方微信