First Metatarsophalangeal Joint-Preserving Surgery Is Effective for Forefoot Deformity With Moderate to Severe Joint Destruction in Rheumatoid Arthritis.

Foot & Ankle Orthopaedics Pub Date : 2025-02-25 eCollection Date: 2025-01-01 DOI:10.1177/24730114251322790
Soichiro Sakai, Toshifumi Fujiwara, Ryosuke Yamaguchi, Nobuhiko Yokoyama, Daisuke Hara, Yukio Akasaki, Yasuharu Nakashima
{"title":"First Metatarsophalangeal Joint-Preserving Surgery Is Effective for Forefoot Deformity With Moderate to Severe Joint Destruction in Rheumatoid Arthritis.","authors":"Soichiro Sakai, Toshifumi Fujiwara, Ryosuke Yamaguchi, Nobuhiko Yokoyama, Daisuke Hara, Yukio Akasaki, Yasuharu Nakashima","doi":"10.1177/24730114251322790","DOIUrl":null,"url":null,"abstract":"<p><strong>Background: </strong>The study compares the clinical outcomes of first metatarsophalangeal (MTP) joint fusion vs joint-preserving surgery in rheumatoid arthritis (RA) patients with severe forefoot deformities.</p><p><strong>Methods: </strong>This single-center retrospective study at Kyushu University Hospital reviewed RA patients who underwent either first MTP joint arthrodesis or joint-preserving surgery for hallux valgus (HV) deformity between January 2008 and December 2022. A total of 103 feet (73 cases) were analyzed, with 75 feet (58 cases) showing radiographic bone destruction of Larsen grade 3 or higher. One foot underwent resection arthroplasty, so ultimately 74 feet in 57 cases were evaluated. Surgical procedures included joint-preserving biplane osteotomy or arthrodesis with crossed screws. Clinical outcomes were measured using the Japanese Society for Surgery of the Foot (JSSF) Hallux scale, whereas radiographic assessments included HV angle (HVA). Propensity score matching was used to minimize bias when comparing postoperative outcomes between the arthrodesis and joint-preserving surgery groups.</p><p><strong>Results: </strong>This study analyzed 74 feet undergoing either arthrodesis (27 feet) or joint-preserving surgery (47 feet) for HV. Patients in the 2 groups showed similar demographic and clinical characteristics except with respect to length of follow-up, which was greater in the arthrodesis group (5.1 ± 2.6 years vs 2.4 ± 2.0 years, <i>P</i> < .01) than the joint-preserving group. In the arthrodesis group, all patients underwent resection arthroplasty on the second to fifth toes. The joint-preserving group included first MTP joint surgery alone (n = 5) and first MTP joint and lesser MTP joint surgeries (resection arthroplasty, n = 29; joint-preserving surgery, n = 13). Functional scores significantly improved in both groups, with first metatarsophalangeal joint-preserving surgery yielding better postoperative outcomes. In cases of deformity recurrence, the recurrent cases exhibited greater immediate postsurgical HVA, but other foot function outcomes remained similar at the end of follow-up.</p><p><strong>Conclusion: </strong>Joint-preserving surgery for advanced rheumatoid forefoot deformity showed better functional improvement than arthrodesis using the propensity score matching and comparable clinical outcomes, highlighting it as a potential treatment option for severe joint destruction.</p><p><strong>Level of evidence: </strong>Level Ⅳ, retrospective study.</p>","PeriodicalId":12429,"journal":{"name":"Foot & Ankle Orthopaedics","volume":"10 1","pages":"24730114251322790"},"PeriodicalIF":0.0000,"publicationDate":"2025-02-25","publicationTypes":"Journal Article","fieldsOfStudy":null,"isOpenAccess":false,"openAccessPdf":"https://www.ncbi.nlm.nih.gov/pmc/articles/PMC11863219/pdf/","citationCount":"0","resultStr":null,"platform":"Semanticscholar","paperid":null,"PeriodicalName":"Foot & Ankle Orthopaedics","FirstCategoryId":"1085","ListUrlMain":"https://doi.org/10.1177/24730114251322790","RegionNum":0,"RegionCategory":null,"ArticlePicture":[],"TitleCN":null,"AbstractTextCN":null,"PMCID":null,"EPubDate":"2025/1/1 0:00:00","PubModel":"eCollection","JCR":"","JCRName":"","Score":null,"Total":0}
引用次数: 0

Abstract

Background: The study compares the clinical outcomes of first metatarsophalangeal (MTP) joint fusion vs joint-preserving surgery in rheumatoid arthritis (RA) patients with severe forefoot deformities.

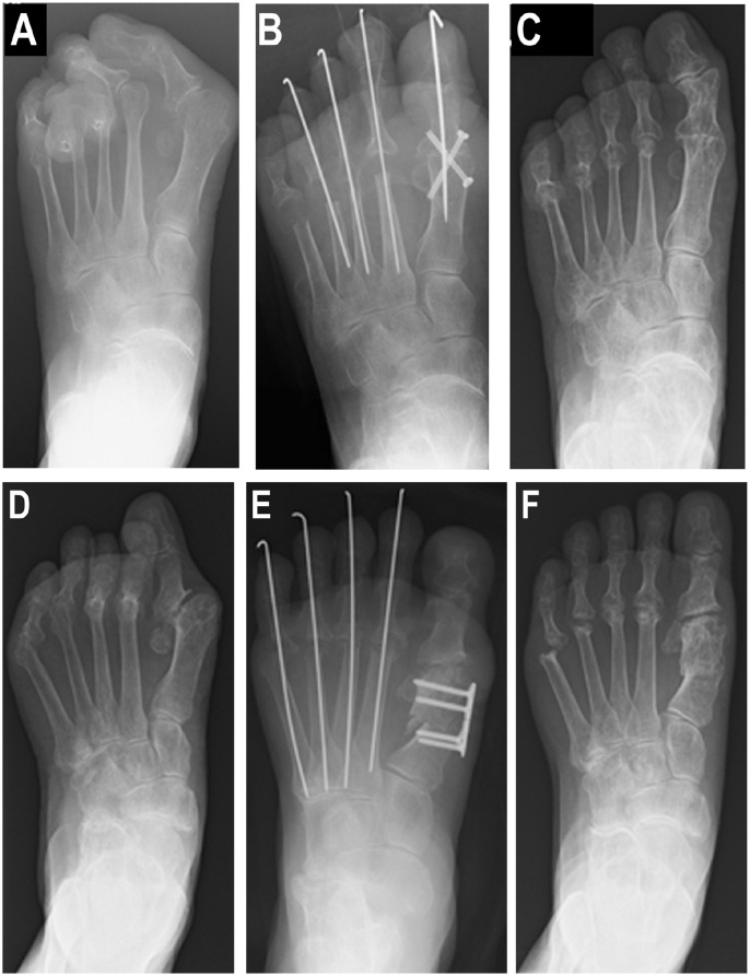
Methods: This single-center retrospective study at Kyushu University Hospital reviewed RA patients who underwent either first MTP joint arthrodesis or joint-preserving surgery for hallux valgus (HV) deformity between January 2008 and December 2022. A total of 103 feet (73 cases) were analyzed, with 75 feet (58 cases) showing radiographic bone destruction of Larsen grade 3 or higher. One foot underwent resection arthroplasty, so ultimately 74 feet in 57 cases were evaluated. Surgical procedures included joint-preserving biplane osteotomy or arthrodesis with crossed screws. Clinical outcomes were measured using the Japanese Society for Surgery of the Foot (JSSF) Hallux scale, whereas radiographic assessments included HV angle (HVA). Propensity score matching was used to minimize bias when comparing postoperative outcomes between the arthrodesis and joint-preserving surgery groups.

Results: This study analyzed 74 feet undergoing either arthrodesis (27 feet) or joint-preserving surgery (47 feet) for HV. Patients in the 2 groups showed similar demographic and clinical characteristics except with respect to length of follow-up, which was greater in the arthrodesis group (5.1 ± 2.6 years vs 2.4 ± 2.0 years, P < .01) than the joint-preserving group. In the arthrodesis group, all patients underwent resection arthroplasty on the second to fifth toes. The joint-preserving group included first MTP joint surgery alone (n = 5) and first MTP joint and lesser MTP joint surgeries (resection arthroplasty, n = 29; joint-preserving surgery, n = 13). Functional scores significantly improved in both groups, with first metatarsophalangeal joint-preserving surgery yielding better postoperative outcomes. In cases of deformity recurrence, the recurrent cases exhibited greater immediate postsurgical HVA, but other foot function outcomes remained similar at the end of follow-up.

Conclusion: Joint-preserving surgery for advanced rheumatoid forefoot deformity showed better functional improvement than arthrodesis using the propensity score matching and comparable clinical outcomes, highlighting it as a potential treatment option for severe joint destruction.

Level of evidence: Level Ⅳ, retrospective study.

Abstract Image

Abstract Image

Abstract Image

第一跖趾关节保留手术是治疗类风湿关节炎中重度关节破坏的前足畸形的有效方法。
背景:该研究比较了类风湿性关节炎(RA)严重前足畸形患者接受第一跖趾关节(MTP)融合术与保留关节手术的临床效果:这项在九州大学医院进行的单中心回顾性研究回顾了2008年1月至2022年12月期间因足外翻(HV)畸形而接受第一MTP关节融合术或保留关节手术的RA患者。共分析了103只脚(73例),其中75只脚(58例)的X光片显示骨质破坏达到或超过Larsen 3级。其中一只脚接受了切除关节成形术,因此最终对 57 例病例中的 74 只脚进行了评估。手术方法包括关节保留双平面截骨术或交叉螺钉关节置换术。临床结果采用日本足外科学会(JSSF)的Hallux量表进行测量,而放射学评估包括HV角(HVA)。在比较关节置换术组和关节保留手术组的术后结果时,采用倾向评分匹配法以尽量减少偏差:本研究分析了 74 例因 HV 而接受关节置换术(27 例)或关节保留手术(47 例)的患者。两组患者的人口统计学特征和临床特征相似,但在随访时间方面,关节置换术组患者的随访时间更长(5.1 ± 2.6 年 vs 2.4 ± 2.0 年,P 结论:对晚期类风湿性前足畸形进行保关节手术比关节置换术显示出更好的功能改善(采用倾向评分匹配法)和可比的临床结果,突出表明它是严重关节破坏的一种潜在治疗选择:证据等级:Ⅳ级,回顾性研究。
本文章由计算机程序翻译,如有差异,请以英文原文为准。
求助全文
约1分钟内获得全文 求助全文
来源期刊
Foot & Ankle Orthopaedics
Foot & Ankle Orthopaedics Medicine-Orthopedics and Sports Medicine
CiteScore
1.20
自引率
0.00%
发文量
1152
×
引用
GB/T 7714-2015
复制
MLA
复制
APA
复制
导出至
BibTeX EndNote RefMan NoteFirst NoteExpress
×
提示
您的信息不完整,为了账户安全,请先补充。
现在去补充
×
提示
您因"违规操作"
具体请查看互助需知
我知道了
×
提示
确定
请完成安全验证×
copy
已复制链接
快去分享给好友吧!
我知道了
右上角分享
点击右上角分享
0
联系我们:info@booksci.cn Book学术提供免费学术资源搜索服务,方便国内外学者检索中英文文献。致力于提供最便捷和优质的服务体验。 Copyright © 2023 布克学术 All rights reserved.
京ICP备2023020795号-1
ghs 京公网安备 11010802042870号
Book学术文献互助
Book学术文献互助群
群 号:604180095
Book学术官方微信