Cerebral arterial collateral status, but not venous outflow profiles, modifies the effect of intravenous tissue plasminogen activator in acute ischemic stroke.

IF 4.8 4区 医学 Q3 CLINICAL NEUROLOGY
Brain Circulation Pub Date : 2024-12-28 eCollection Date: 2024-10-01 DOI:10.4103/bc.bc_46_24
Elif Sarionder Gencer, Ezgi Yilmaz, Ethem Murat Arsava, Rahsan Gocmen, Mehmet Akif Topcuoglu
{"title":"Cerebral arterial collateral status, but not venous outflow profiles, modifies the effect of intravenous tissue plasminogen activator in acute ischemic stroke.","authors":"Elif Sarionder Gencer, Ezgi Yilmaz, Ethem Murat Arsava, Rahsan Gocmen, Mehmet Akif Topcuoglu","doi":"10.4103/bc.bc_46_24","DOIUrl":null,"url":null,"abstract":"<p><strong>Background: </strong>The role of arterial collateral and venous outflow status on the response to intravenous tissue plasminogen activator (IV-tPA) has not been sufficiently clarified in acute major cerebral occlusions.</p><p><strong>Patients and methods: </strong>A total of 130 patients (mean age: 71 years; 73 females) with acute middle cerebral artery M1/M2 segment or terminal internal carotid artery occlusion treated solely with IV-tPA were analyzed. Regional leptomeningeal score (rLMC) was used for cerebral arterial collateral scoring, and the cortical vein opacification score (COVES) and modified Prognostic Evaluation based on Cortical vein score difference In Stroke (PRECISE) superficial and deep scores were used for venous outflow profile. Exploratory logistic models for response to IV-tPA [positive response: National Institutes of Health Stroke Scale (NIHSS) decrease 4 (or decrease to 0) at 24 h; dramatic response: NIHSS decrease ≥8 (or decrease to 0 or 1)], functional outcome (modified Rankin's score 0-1 as \"excellent\" and 0-2 \"good\") and tPA-associated hemorrhagic transformation were constructed.</p><p><strong>Results: </strong>IV-tPA efficacy was positive in 47% and dramatic in 32%. Dramatic response was linked to better arterial collateral status (exp[B] =1.115 [95% confidence interval (CI), 1.016-1.223]). Excellent outcome was noted in 26% and good in 45%. One-point increase in rLMC score independently increased good prognosis (exp[B] =1.209 [1.034-1.412]). Patients with good prognosis had higher (by 0.5 points) modified PRECISE deep score (<i>P</i> = 0.047) and less frequent nonsufficient modified PRECISE deep score (0-2) (<i>P</i> = 0.017) in univariate analyses. However, these associations failed to survive in multiple regression. Any type tPA-associated cerebral hemorrhagic transformation was observed in 23% and parenchymal hemorrhage type 2 in 5.4%. While rLMC score showed a borderline strength correlation to hemorrhage (exp[B] =0.899 [95% CI, 0.808-1.001]), outflow scores not.</p><p><strong>Conclusion: </strong>While arterial collateral status modifies the effect of tPA in acute anterior circulation major artery occlusions, venous outflow capacity is not so critical.</p>","PeriodicalId":9288,"journal":{"name":"Brain Circulation","volume":"10 4","pages":"336-342"},"PeriodicalIF":4.8000,"publicationDate":"2024-12-28","publicationTypes":"Journal Article","fieldsOfStudy":null,"isOpenAccess":false,"openAccessPdf":"https://www.ncbi.nlm.nih.gov/pmc/articles/PMC11850934/pdf/","citationCount":"0","resultStr":null,"platform":"Semanticscholar","paperid":null,"PeriodicalName":"Brain Circulation","FirstCategoryId":"3","ListUrlMain":"https://doi.org/10.4103/bc.bc_46_24","RegionNum":4,"RegionCategory":"医学","ArticlePicture":[],"TitleCN":null,"AbstractTextCN":null,"PMCID":null,"EPubDate":"2024/10/1 0:00:00","PubModel":"eCollection","JCR":"Q3","JCRName":"CLINICAL NEUROLOGY","Score":null,"Total":0}
引用次数: 0

Abstract

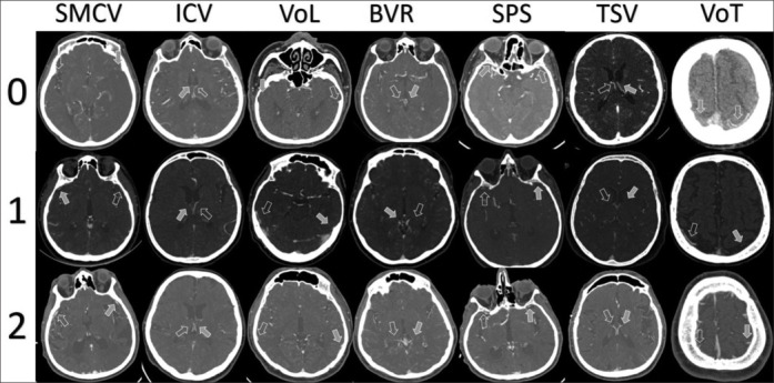
Background: The role of arterial collateral and venous outflow status on the response to intravenous tissue plasminogen activator (IV-tPA) has not been sufficiently clarified in acute major cerebral occlusions.

Patients and methods: A total of 130 patients (mean age: 71 years; 73 females) with acute middle cerebral artery M1/M2 segment or terminal internal carotid artery occlusion treated solely with IV-tPA were analyzed. Regional leptomeningeal score (rLMC) was used for cerebral arterial collateral scoring, and the cortical vein opacification score (COVES) and modified Prognostic Evaluation based on Cortical vein score difference In Stroke (PRECISE) superficial and deep scores were used for venous outflow profile. Exploratory logistic models for response to IV-tPA [positive response: National Institutes of Health Stroke Scale (NIHSS) decrease 4 (or decrease to 0) at 24 h; dramatic response: NIHSS decrease ≥8 (or decrease to 0 or 1)], functional outcome (modified Rankin's score 0-1 as "excellent" and 0-2 "good") and tPA-associated hemorrhagic transformation were constructed.

Results: IV-tPA efficacy was positive in 47% and dramatic in 32%. Dramatic response was linked to better arterial collateral status (exp[B] =1.115 [95% confidence interval (CI), 1.016-1.223]). Excellent outcome was noted in 26% and good in 45%. One-point increase in rLMC score independently increased good prognosis (exp[B] =1.209 [1.034-1.412]). Patients with good prognosis had higher (by 0.5 points) modified PRECISE deep score (P = 0.047) and less frequent nonsufficient modified PRECISE deep score (0-2) (P = 0.017) in univariate analyses. However, these associations failed to survive in multiple regression. Any type tPA-associated cerebral hemorrhagic transformation was observed in 23% and parenchymal hemorrhage type 2 in 5.4%. While rLMC score showed a borderline strength correlation to hemorrhage (exp[B] =0.899 [95% CI, 0.808-1.001]), outflow scores not.

Conclusion: While arterial collateral status modifies the effect of tPA in acute anterior circulation major artery occlusions, venous outflow capacity is not so critical.

Abstract Image

脑动脉侧支状态,而不是静脉流出,改变静脉组织纤溶酶原激活剂在急性缺血性卒中中的作用。
背景:动脉侧支和静脉流出状态对静脉注射组织型纤溶酶原激活剂(IV-tPA)反应的作用尚未充分阐明。患者和方法:共130例患者,平均年龄71岁;对单纯IV-tPA治疗急性大脑中动脉M1/M2段或颈内动脉末段闭塞的73例女性患者进行分析。脑动脉侧支评分采用区域性脑膜轻压评分(rLMC),静脉流出谱采用皮质静脉混浊评分(COVES)和基于皮质静脉评分差异的改进预后评估(PRECISE)。IV-tPA反应的探索性logistic模型[阳性反应:美国国立卫生研究院卒中量表(NIHSS)在24小时下降4(或降至0);显著反应:NIHSS下降≥8(或下降至0或1)],功能结局(修改Rankin评分0-1为“优秀”,0-2为“良好”)和tpa相关出血转化。结果:IV-tPA有效率为47%,显著性为32%。显著缓解与动脉侧支状态改善有关(exp[B] =1.115[95%可信区间(CI), 1.016-1.223])。26%的患者预后良好,45%的患者预后良好。rLMC评分升高1分可独立增加预后良好(exp[B] =1.209[1.034-1.412])。在单因素分析中,预后良好的患者改良PRECISE deep评分较高(P = 0.047),改良PRECISE deep评分不充分的发生率较低(P = 0.017)(0-2)。然而,这些关联在多元回归中未能存在。tpa相关的脑出血转化23%,2型脑实质出血5.4%。rLMC评分与出血呈边缘性强度相关(exp[B] =0.899 [95% CI, 0.808-1.001]),流出血评分则无相关性。结论:动脉侧支状态改变tPA在急性前循环大动脉闭塞中的作用,而静脉流出量并不是很重要。
本文章由计算机程序翻译,如有差异,请以英文原文为准。
求助全文
约1分钟内获得全文 求助全文
来源期刊
Brain Circulation
Brain Circulation Multiple-
自引率
5.30%
发文量
31
审稿时长
16 weeks
×
引用
GB/T 7714-2015
复制
MLA
复制
APA
复制
导出至
BibTeX EndNote RefMan NoteFirst NoteExpress
×
提示
您的信息不完整,为了账户安全,请先补充。
现在去补充
×
提示
您因"违规操作"
具体请查看互助需知
我知道了
×
提示
确定
请完成安全验证×
copy
已复制链接
快去分享给好友吧!
我知道了
右上角分享
点击右上角分享
0
联系我们:info@booksci.cn Book学术提供免费学术资源搜索服务,方便国内外学者检索中英文文献。致力于提供最便捷和优质的服务体验。 Copyright © 2023 布克学术 All rights reserved.
京ICP备2023020795号-1
ghs 京公网安备 11010802042870号
Book学术文献互助
Book学术文献互助群
群 号:604180095
Book学术官方微信