Neurovascular management of intracranial internal carotid artery dissection post-carotid endarterectomy: A case report of an innovative approach.

IF 4.8 4区 医学 Q3 CLINICAL NEUROLOGY
Brain Circulation Pub Date : 2024-12-28 eCollection Date: 2024-10-01 DOI:10.4103/bc.bc_59_24
Bibhas Amatya, Ameet V Chitale, Dipankar Mukherjee
{"title":"Neurovascular management of intracranial internal carotid artery dissection post-carotid endarterectomy: A case report of an innovative approach.","authors":"Bibhas Amatya, Ameet V Chitale, Dipankar Mukherjee","doi":"10.4103/bc.bc_59_24","DOIUrl":null,"url":null,"abstract":"<p><p>Carotid endarterectomy (CEA) is an established method of stroke prevention in patients with severe carotid artery stenosis, especially in those with symptomatic disease. Complications of CEA include perioperative stroke, cranial nerve palsy, hemorrhage, and vascular dissection. We present an unusual case of a 66-year-old man who presented for elective right CEA for symptomatic 70% right internal carotid artery (ICA) stenosis due to ulcerated plaque. Following surgery, the patient developed fluctuating neurological deficits consistent with involvement of the right middle cerebral artery territory. Imaging revealed possible mild clamp-induced ICA dissection limited to the ICA in the neck. Despite initial successful anticoagulation management in the neurointensive care unit, the patient returned 2 days later with stroke symptoms, necessitating urgent endovascular intervention. Neurovascular interventions involved aspiration thrombectomy and multiple stenting extending distally into intracranial ICA, which successfully restored cerebral arterial perfusion and normal neurological function. This case highlights the first reported instance of extensive intracranial ICA dissection managed with full-length stenting. This article offers an effective endovascular procedure for preventing a devastating stroke from a complication of a procedure that was performed to prevent it.</p>","PeriodicalId":9288,"journal":{"name":"Brain Circulation","volume":"10 4","pages":"366-371"},"PeriodicalIF":4.8000,"publicationDate":"2024-12-28","publicationTypes":"Journal Article","fieldsOfStudy":null,"isOpenAccess":false,"openAccessPdf":"https://www.ncbi.nlm.nih.gov/pmc/articles/PMC11850933/pdf/","citationCount":"0","resultStr":null,"platform":"Semanticscholar","paperid":null,"PeriodicalName":"Brain Circulation","FirstCategoryId":"3","ListUrlMain":"https://doi.org/10.4103/bc.bc_59_24","RegionNum":4,"RegionCategory":"医学","ArticlePicture":[],"TitleCN":null,"AbstractTextCN":null,"PMCID":null,"EPubDate":"2024/10/1 0:00:00","PubModel":"eCollection","JCR":"Q3","JCRName":"CLINICAL NEUROLOGY","Score":null,"Total":0}
引用次数: 0

Abstract

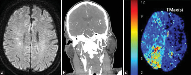
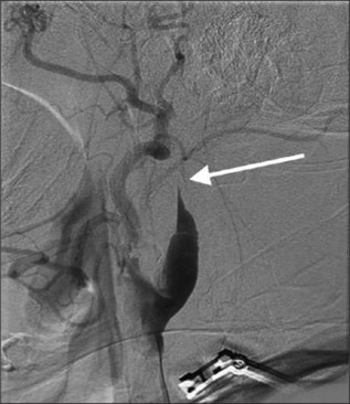
Carotid endarterectomy (CEA) is an established method of stroke prevention in patients with severe carotid artery stenosis, especially in those with symptomatic disease. Complications of CEA include perioperative stroke, cranial nerve palsy, hemorrhage, and vascular dissection. We present an unusual case of a 66-year-old man who presented for elective right CEA for symptomatic 70% right internal carotid artery (ICA) stenosis due to ulcerated plaque. Following surgery, the patient developed fluctuating neurological deficits consistent with involvement of the right middle cerebral artery territory. Imaging revealed possible mild clamp-induced ICA dissection limited to the ICA in the neck. Despite initial successful anticoagulation management in the neurointensive care unit, the patient returned 2 days later with stroke symptoms, necessitating urgent endovascular intervention. Neurovascular interventions involved aspiration thrombectomy and multiple stenting extending distally into intracranial ICA, which successfully restored cerebral arterial perfusion and normal neurological function. This case highlights the first reported instance of extensive intracranial ICA dissection managed with full-length stenting. This article offers an effective endovascular procedure for preventing a devastating stroke from a complication of a procedure that was performed to prevent it.

Abstract Image

Abstract Image

Abstract Image

颈动脉内膜切除术后颅内颈内动脉夹层的神经血管管理:一种创新方法的病例报告。
颈动脉内膜切除术(CEA)是颈动脉严重狭窄患者,特别是有症状的患者预防脑卒中的一种既定方法。CEA的并发症包括围手术期脑卒中、脑神经麻痹、出血和血管夹层。我们提出一个不寻常的情况下,66岁的男子谁提出选择性右侧CEA症状70%的右颈内动脉(ICA)狭窄由于溃疡斑块。手术后,患者出现与右脑中动脉受累范围一致的波动性神经功能缺损。影像学显示可能有轻度夹钳引起的ICA夹层,局限于颈部ICA。尽管在神经重症监护室进行了初步成功的抗凝治疗,但患者2天后再次出现卒中症状,需要紧急血管内介入治疗。神经血管干预包括吸入性血栓切除术和远端延伸至颅内ICA的多重支架置入,成功地恢复了脑动脉灌注和正常的神经功能。本病例是首次报道的采用全长支架置入术进行广泛颅内ICA夹层的病例。这篇文章提供了一种有效的血管内手术来预防破坏性中风的并发症,这种手术是为了预防中风而进行的。
本文章由计算机程序翻译,如有差异,请以英文原文为准。
求助全文
约1分钟内获得全文 求助全文
来源期刊
Brain Circulation
Brain Circulation Multiple-
自引率
5.30%
发文量
31
审稿时长
16 weeks
×
引用
GB/T 7714-2015
复制
MLA
复制
APA
复制
导出至
BibTeX EndNote RefMan NoteFirst NoteExpress
×
提示
您的信息不完整,为了账户安全,请先补充。
现在去补充
×
提示
您因"违规操作"
具体请查看互助需知
我知道了
×
提示
确定
请完成安全验证×
copy
已复制链接
快去分享给好友吧!
我知道了
右上角分享
点击右上角分享
0
联系我们:info@booksci.cn Book学术提供免费学术资源搜索服务,方便国内外学者检索中英文文献。致力于提供最便捷和优质的服务体验。 Copyright © 2023 布克学术 All rights reserved.
京ICP备2023020795号-1
ghs 京公网安备 11010802042870号
Book学术文献互助
Book学术文献互助群
群 号:604180095
Book学术官方微信