ACUTE KIDNEY INJURY PRECIPITATED BY HAFF DISEASE IN A 28-YEAR-OLD NIGERIAN MALE "CASE REPORT".

V Ogala-Akogwu, P Uduagbamen, H Galadanci, E Anteyi
{"title":"ACUTE KIDNEY INJURY PRECIPITATED BY HAFF DISEASE IN A 28-YEAR-OLD NIGERIAN MALE \"CASE REPORT\".","authors":"V Ogala-Akogwu, P Uduagbamen, H Galadanci, E Anteyi","doi":"","DOIUrl":null,"url":null,"abstract":"<p><p>Haff disease is defined as unexplained rhabdomyolysis following ingestion of some sea fish and crayfish. First reported in 1926 from the Baltic region, its pathophysiologic mechanism is largely unknown, but toxins release have been implicated. Common features include generalized myalgia, brown/ dark urine, elevated serum creatine kinase and creatinine, kidney dysfunction can be severe enough to cause acute kidney injury (AKI). We present the case of a 28-year-old man who ate cooked freshwater fish and initially presented with diffuse myalgia, headache and brown-colored urine, and later fever and diarrhea. He had severely elevated serum creatine kinase and creatinine, and was managed as a case of Haff disease related AKI (HDRAKI) complicated by sepsis. He had haemodialysis and antibiotics, and recovered kidney function. A detailed history of recent diet and occupational exposure is essential in the diagnosis and management of HDR-AKI. Dialysis could be life-saving.</p>","PeriodicalId":72221,"journal":{"name":"Annals of Ibadan postgraduate medicine","volume":"22 2","pages":"137-140"},"PeriodicalIF":0.0000,"publicationDate":"2024-08-30","publicationTypes":"Journal Article","fieldsOfStudy":null,"isOpenAccess":false,"openAccessPdf":"https://www.ncbi.nlm.nih.gov/pmc/articles/PMC11848376/pdf/","citationCount":"0","resultStr":null,"platform":"Semanticscholar","paperid":null,"PeriodicalName":"Annals of Ibadan postgraduate medicine","FirstCategoryId":"1085","ListUrlMain":"","RegionNum":0,"RegionCategory":null,"ArticlePicture":[],"TitleCN":null,"AbstractTextCN":null,"PMCID":null,"EPubDate":"","PubModel":"","JCR":"","JCRName":"","Score":null,"Total":0}
引用次数: 0

Abstract

Haff disease is defined as unexplained rhabdomyolysis following ingestion of some sea fish and crayfish. First reported in 1926 from the Baltic region, its pathophysiologic mechanism is largely unknown, but toxins release have been implicated. Common features include generalized myalgia, brown/ dark urine, elevated serum creatine kinase and creatinine, kidney dysfunction can be severe enough to cause acute kidney injury (AKI). We present the case of a 28-year-old man who ate cooked freshwater fish and initially presented with diffuse myalgia, headache and brown-colored urine, and later fever and diarrhea. He had severely elevated serum creatine kinase and creatinine, and was managed as a case of Haff disease related AKI (HDRAKI) complicated by sepsis. He had haemodialysis and antibiotics, and recovered kidney function. A detailed history of recent diet and occupational exposure is essential in the diagnosis and management of HDR-AKI. Dialysis could be life-saving.

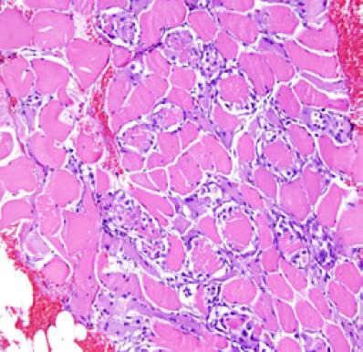
Abstract Image

1例28岁尼日利亚男性haff病诱发急性肾损伤的病例报告。
哈夫病被定义为摄入某些海鱼和小龙虾后出现的原因不明的横纹肌溶解症。该病于 1926 年首次在波罗的海地区被报道,其病理生理机制尚不清楚,但有人认为与毒素释放有关。常见特征包括全身肌痛、棕色/深色尿液、血清肌酸激酶和肌酐升高、肾功能障碍,严重时可导致急性肾损伤(AKI)。我们介绍了一例 28 岁的男性病例,他吃了煮熟的淡水鱼,最初表现为弥漫性肌痛、头痛和棕色尿液,随后出现发热和腹泻。他的血清肌酸激酶和肌酸酐严重升高,被视为哈夫病相关性 AKI(HDRAKI)并发败血症病例。他接受了血液透析和抗生素治疗,并恢复了肾功能。详细了解近期饮食和职业接触史对于诊断和治疗 HDR-AKI至关重要。透析可以挽救生命。
本文章由计算机程序翻译,如有差异,请以英文原文为准。
求助全文
约1分钟内获得全文 求助全文
来源期刊
自引率
0.00%
发文量
0
×
引用
GB/T 7714-2015
复制
MLA
复制
APA
复制
导出至
BibTeX EndNote RefMan NoteFirst NoteExpress
×
提示
您的信息不完整,为了账户安全,请先补充。
现在去补充
×
提示
您因"违规操作"
具体请查看互助需知
我知道了
×
提示
确定
请完成安全验证×
copy
已复制链接
快去分享给好友吧!
我知道了
右上角分享
点击右上角分享
0
联系我们:info@booksci.cn Book学术提供免费学术资源搜索服务,方便国内外学者检索中英文文献。致力于提供最便捷和优质的服务体验。 Copyright © 2023 布克学术 All rights reserved.
京ICP备2023020795号-1
ghs 京公网安备 11010802042870号
Book学术文献互助
Book学术文献互助群
群 号:604180095
Book学术官方微信