Development of a Lateral Longitudinal Arch Evaluation Method for the Foot Using Ultrasonography: Validation With Radiography and Verification of Intrarater and Interrater Reliability.

IF 2.2 3区 医学 Q1 ORTHOPEDICS
Daichi Kawamura, Takashi Komatsu, Masanobu Suto, Hikaru Narita, Yasuyuki Umezaki, Saki Takahashi, Hiroshi Shinohara
{"title":"Development of a Lateral Longitudinal Arch Evaluation Method for the Foot Using Ultrasonography: Validation With Radiography and Verification of Intrarater and Interrater Reliability.","authors":"Daichi Kawamura, Takashi Komatsu, Masanobu Suto, Hikaru Narita, Yasuyuki Umezaki, Saki Takahashi, Hiroshi Shinohara","doi":"10.1002/jfa2.70039","DOIUrl":null,"url":null,"abstract":"<p><strong>Introduction: </strong>The lateral longitudinal arch (LLA) is an essential structure of the foot. However, LLA evaluation methods remain underexplored compared to those of the medial longitudinal arch (MLA). This study sought to develop a method for measuring the cuboid height, the keystone of the LLA, using ultrasonography and to verify its correlation with radiography, as well as intrarater and interrater reliability.</p><p><strong>Methods: </strong>This cross-sectional study included 21 university students (14 males and seven females). The cuboid height was measured using radiography and ultrasonography. The validity of ultrasonographic measurements was assessed through correlation with radiographic measurements and Bland-Altman analysis. Intrarater and interrater reliabilities were evaluated using intraclass correlation coefficients (ICCs).</p><p><strong>Results: </strong>A strong correlation was observed between cuboid heights measured using radiography and ultrasonography (r = 0.98, p < 0.01). The Bland-Altman analysis revealed a fixed bias of -0.71 mm (95% confidence interval [95% CI]: -0.96 to -0.46 mm). Intrarater and interrater reliability for ultrasonographic measurements were almost perfect, with ICCs of 0.98 and 0.99, respectively.</p><p><strong>Conclusions: </strong>Cuboid height measurements using ultrasonography demonstrated high validity and reliability. This method offers a noninvasive and cost-effective alternative to radiography, with potential clinical applications in the evaluation of LLA and related conditions such as cuboid syndrome and lateral foot injuries.</p>","PeriodicalId":49164,"journal":{"name":"Journal of Foot and Ankle Research","volume":"18 1","pages":"e70039"},"PeriodicalIF":2.2000,"publicationDate":"2025-03-01","publicationTypes":"Journal Article","fieldsOfStudy":null,"isOpenAccess":false,"openAccessPdf":"https://www.ncbi.nlm.nih.gov/pmc/articles/PMC11856052/pdf/","citationCount":"0","resultStr":null,"platform":"Semanticscholar","paperid":null,"PeriodicalName":"Journal of Foot and Ankle Research","FirstCategoryId":"3","ListUrlMain":"https://doi.org/10.1002/jfa2.70039","RegionNum":3,"RegionCategory":"医学","ArticlePicture":[],"TitleCN":null,"AbstractTextCN":null,"PMCID":null,"EPubDate":"","PubModel":"","JCR":"Q1","JCRName":"ORTHOPEDICS","Score":null,"Total":0}
引用次数: 0

Abstract

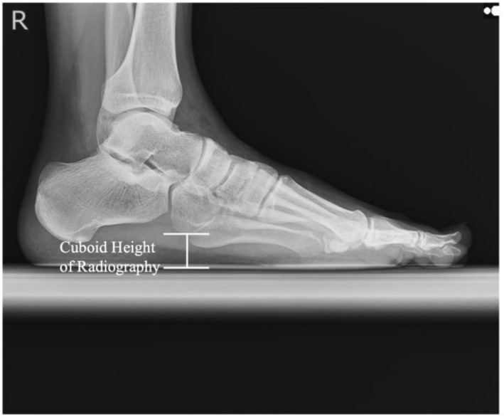
Introduction: The lateral longitudinal arch (LLA) is an essential structure of the foot. However, LLA evaluation methods remain underexplored compared to those of the medial longitudinal arch (MLA). This study sought to develop a method for measuring the cuboid height, the keystone of the LLA, using ultrasonography and to verify its correlation with radiography, as well as intrarater and interrater reliability.

Methods: This cross-sectional study included 21 university students (14 males and seven females). The cuboid height was measured using radiography and ultrasonography. The validity of ultrasonographic measurements was assessed through correlation with radiographic measurements and Bland-Altman analysis. Intrarater and interrater reliabilities were evaluated using intraclass correlation coefficients (ICCs).

Results: A strong correlation was observed between cuboid heights measured using radiography and ultrasonography (r = 0.98, p < 0.01). The Bland-Altman analysis revealed a fixed bias of -0.71 mm (95% confidence interval [95% CI]: -0.96 to -0.46 mm). Intrarater and interrater reliability for ultrasonographic measurements were almost perfect, with ICCs of 0.98 and 0.99, respectively.

Conclusions: Cuboid height measurements using ultrasonography demonstrated high validity and reliability. This method offers a noninvasive and cost-effective alternative to radiography, with potential clinical applications in the evaluation of LLA and related conditions such as cuboid syndrome and lateral foot injuries.

Abstract Image

Abstract Image

Abstract Image

足侧纵弓超声评估方法的发展:与x线摄影的验证以及足内和足间可靠性的验证。
横向纵弓(LLA)是足部的基本结构。然而,与内侧纵弓(MLA)的评估方法相比,LLA的评估方法尚未得到充分的探索。本研究试图开发一种利用超声测量长方体高度的方法,长方体高度是LLA的关键,并验证其与x线摄影的相关性,以及层内和层间的可靠性。方法:本研究以21名大学生为研究对象,其中男14名,女7名。利用x线摄影和超声测量长方体高度。超声测量的有效性通过与x线测量的相关性和Bland-Altman分析来评估。使用类内相关系数(ICCs)评估了组内和组间的信度。结果:超声测量长方体高度与x线片测量长方体高度相关性强(r = 0.98, p)。结论:超声测量长方体高度具有较高的效度和信度。该方法提供了一种无创且经济的替代x线摄影方法,在评估LLA和相关疾病(如长方体综合征和侧足损伤)方面具有潜在的临床应用价值。
本文章由计算机程序翻译,如有差异,请以英文原文为准。
求助全文
约1分钟内获得全文 求助全文
来源期刊
CiteScore
4.50
自引率
10.30%
发文量
83
审稿时长
>12 weeks
期刊介绍: Journal of Foot and Ankle Research, the official journal of the Australian Podiatry Association and The College of Podiatry (UK), is an open access journal that encompasses all aspects of policy, organisation, delivery and clinical practice related to the assessment, diagnosis, prevention and management of foot and ankle disorders. Journal of Foot and Ankle Research covers a wide range of clinical subject areas, including diabetology, paediatrics, sports medicine, gerontology and geriatrics, foot surgery, physical therapy, dermatology, wound management, radiology, biomechanics and bioengineering, orthotics and prosthetics, as well the broad areas of epidemiology, policy, organisation and delivery of services related to foot and ankle care. The journal encourages submissions from all health professionals who manage lower limb conditions, including podiatrists, nurses, physical therapists and physiotherapists, orthopaedists, manual therapists, medical specialists and general medical practitioners, as well as health service researchers concerned with foot and ankle care. The Australian Podiatry Association and the College of Podiatry (UK) have reserve funds to cover the article-processing charge for manuscripts submitted by its members. Society members can email the appropriate contact at Australian Podiatry Association or The College of Podiatry to obtain the corresponding code to enter on submission.
×
引用
GB/T 7714-2015
复制
MLA
复制
APA
复制
导出至
BibTeX EndNote RefMan NoteFirst NoteExpress
×
提示
您的信息不完整,为了账户安全,请先补充。
现在去补充
×
提示
您因"违规操作"
具体请查看互助需知
我知道了
×
提示
确定
请完成安全验证×
copy
已复制链接
快去分享给好友吧!
我知道了
右上角分享
点击右上角分享
0
联系我们:info@booksci.cn Book学术提供免费学术资源搜索服务,方便国内外学者检索中英文文献。致力于提供最便捷和优质的服务体验。 Copyright © 2023 布克学术 All rights reserved.
京ICP备2023020795号-1
ghs 京公网安备 11010802042870号
Book学术文献互助
Book学术文献互助群
群 号:604180095
Book学术官方微信