Downregulation of DNAJC12 Expression Predicts Worse Survival for ER-Positive Breast Cancer Patients.

IF 2.6 Q2 MEDICINE, RESEARCH & EXPERIMENTAL
Biomarker Insights Pub Date : 2025-02-24 eCollection Date: 2025-01-01 DOI:10.1177/11772719251323095
Pedro Henrique Fernandes Gatti, Flavia Regina Rotea Mangone, Ana Carolina Pavanelli, Suely Nonogaki, Cynthia Aparecida Bueno de Toledo Osorio, Vera Luiza Capelozzi, Maria Aparecida Nagai
{"title":"Downregulation of DNAJC12 Expression Predicts Worse Survival for ER-Positive Breast Cancer Patients.","authors":"Pedro Henrique Fernandes Gatti, Flavia Regina Rotea Mangone, Ana Carolina Pavanelli, Suely Nonogaki, Cynthia Aparecida Bueno de Toledo Osorio, Vera Luiza Capelozzi, Maria Aparecida Nagai","doi":"10.1177/11772719251323095","DOIUrl":null,"url":null,"abstract":"<p><strong>Background: </strong>DNAJC12 (DnaJ heat shock protein family (Hsp40) member C12) encodes a member of the molecular chaperone Hsp40/DnaJ family, which are important protein folding and proteostasis regulators. Its role as a biomarker has been studied for a limited number of cancer types. Objectives: Here, we sought to investigate the potential of DNAJC12 mRNA and protein expression as a prognostic and predictive biomarker for breast cancer (BC).</p><p><strong>Methods: </strong>Using in silico analysis and data from immunohistochemistry analysis (IHC) of 292 samples from patients with primary BC, we determined the expression pattern and prognostic value of DNAJC12 mRNA and protein expression.</p><p><strong>Results: </strong>From online publicly available data, we were able to identify the transcripts of DNAJC12 as differentially expressed in patients with different clinicopathological characteristics, such as ER status (<i>P</i> < .001), PR status (<i>P</i> < .001), HER2 status (<i>P</i> < .010) and molecular subtype (<i>P</i> ⩽ .001). We also found DNAJC12 to be a potential prognostic predictor for overall survival, disease-free survival, and responsiveness to treatment; a low DNAJC12 mRNA expression is commonly associated with a worse prognosis. Using IHC analysis, we showed that low DNAJC12 protein-level expression is also associated with a worse prognosis in patients with all subtypes of BC and patients with Luminal BC, and its expression is significantly different between patients with different tumor size classifications (T1/T2 vs T3/T4; <i>P</i> = .013) or with different lymph node involvement (N0 vs N+; <i>P</i> = .005).</p><p><strong>Conclusion: </strong>Our findings suggested a potential role for DNAJC12 as a prognostic and predictive biomarker for BC.</p>","PeriodicalId":47060,"journal":{"name":"Biomarker Insights","volume":"20 ","pages":"11772719251323095"},"PeriodicalIF":2.6000,"publicationDate":"2025-02-24","publicationTypes":"Journal Article","fieldsOfStudy":null,"isOpenAccess":false,"openAccessPdf":"https://www.ncbi.nlm.nih.gov/pmc/articles/PMC11851741/pdf/","citationCount":"0","resultStr":null,"platform":"Semanticscholar","paperid":null,"PeriodicalName":"Biomarker Insights","FirstCategoryId":"1085","ListUrlMain":"https://doi.org/10.1177/11772719251323095","RegionNum":0,"RegionCategory":null,"ArticlePicture":[],"TitleCN":null,"AbstractTextCN":null,"PMCID":null,"EPubDate":"2025/1/1 0:00:00","PubModel":"eCollection","JCR":"Q2","JCRName":"MEDICINE, RESEARCH & EXPERIMENTAL","Score":null,"Total":0}
引用次数: 0

Abstract

Background: DNAJC12 (DnaJ heat shock protein family (Hsp40) member C12) encodes a member of the molecular chaperone Hsp40/DnaJ family, which are important protein folding and proteostasis regulators. Its role as a biomarker has been studied for a limited number of cancer types. Objectives: Here, we sought to investigate the potential of DNAJC12 mRNA and protein expression as a prognostic and predictive biomarker for breast cancer (BC).

Methods: Using in silico analysis and data from immunohistochemistry analysis (IHC) of 292 samples from patients with primary BC, we determined the expression pattern and prognostic value of DNAJC12 mRNA and protein expression.

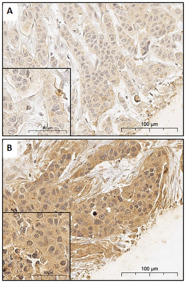
Results: From online publicly available data, we were able to identify the transcripts of DNAJC12 as differentially expressed in patients with different clinicopathological characteristics, such as ER status (P < .001), PR status (P < .001), HER2 status (P < .010) and molecular subtype (P ⩽ .001). We also found DNAJC12 to be a potential prognostic predictor for overall survival, disease-free survival, and responsiveness to treatment; a low DNAJC12 mRNA expression is commonly associated with a worse prognosis. Using IHC analysis, we showed that low DNAJC12 protein-level expression is also associated with a worse prognosis in patients with all subtypes of BC and patients with Luminal BC, and its expression is significantly different between patients with different tumor size classifications (T1/T2 vs T3/T4; P = .013) or with different lymph node involvement (N0 vs N+; P = .005).

Conclusion: Our findings suggested a potential role for DNAJC12 as a prognostic and predictive biomarker for BC.

Abstract Image

Abstract Image

Abstract Image

下调DNAJC12表达预测er阳性乳腺癌患者更差的生存率
背景:DNAJC12 (DnaJ热休克蛋白家族(Hsp40)成员C12)编码分子伴侣Hsp40/DnaJ家族成员,是重要的蛋白质折叠和蛋白质稳态调节因子。它作为生物标志物的作用已经在有限的癌症类型中得到了研究。目的:在这里,我们试图研究DNAJC12 mRNA和蛋白表达作为乳腺癌(BC)预后和预测性生物标志物的潜力。方法:采用计算机分析和免疫组化分析(IHC) 292例原发性BC患者的数据,确定DNAJC12 mRNA和蛋白的表达模式和预后价值。结果:从在线公开数据中,我们能够确定DNAJC12转录本在不同临床病理特征(如ER状态)的患者中存在差异表达(P P P P < 0.001)。我们还发现DNAJC12是总生存、无病生存和对治疗反应性的潜在预后预测因子;低DNAJC12 mRNA表达通常与较差的预后相关。通过免疫组化分析,我们发现DNAJC12蛋白的低表达水平在所有亚型BC患者和Luminal BC患者中也与较差的预后相关,并且其表达在不同肿瘤大小分类的患者中存在显著差异(T1/T2 vs T3/T4;P = 0.013)或不同淋巴结受累程度(N0 vs N+;p = .005)。结论:我们的研究结果提示DNAJC12作为BC预后和预测性生物标志物的潜在作用。
本文章由计算机程序翻译,如有差异,请以英文原文为准。
求助全文
约1分钟内获得全文 求助全文
来源期刊
Biomarker Insights
Biomarker Insights MEDICINE, RESEARCH & EXPERIMENTAL-
CiteScore
6.00
自引率
0.00%
发文量
26
审稿时长
8 weeks
期刊介绍: An open access, peer reviewed electronic journal that covers all aspects of biomarker research and clinical applications.
×
引用
GB/T 7714-2015
复制
MLA
复制
APA
复制
导出至
BibTeX EndNote RefMan NoteFirst NoteExpress
×
提示
您的信息不完整,为了账户安全,请先补充。
现在去补充
×
提示
您因"违规操作"
具体请查看互助需知
我知道了
×
提示
确定
请完成安全验证×
copy
已复制链接
快去分享给好友吧!
我知道了
右上角分享
点击右上角分享
0
联系我们:info@booksci.cn Book学术提供免费学术资源搜索服务,方便国内外学者检索中英文文献。致力于提供最便捷和优质的服务体验。 Copyright © 2023 布克学术 All rights reserved.
京ICP备2023020795号-1
ghs 京公网安备 11010802042870号
Book学术文献互助
Book学术文献互助群
群 号:604180095
Book学术官方微信