Profoundly Delayed Emergence due to Pulmonary Embolism.

Q3 Medicine
Case Reports in Anesthesiology Pub Date : 2025-02-18 eCollection Date: 2025-01-01 DOI:10.1155/cria/6691273
Allison Steinauer, Whitney Marvin, Natalie R Barnett
{"title":"Profoundly Delayed Emergence due to Pulmonary Embolism.","authors":"Allison Steinauer, Whitney Marvin, Natalie R Barnett","doi":"10.1155/cria/6691273","DOIUrl":null,"url":null,"abstract":"<p><p>Pulmonary embolism is a rare, but serious, potential perioperative complication and crisis. We present a case of a 12-year-old female undergoing distal femoral and proximal tibial osteotomies with internal fixations who experienced acute onset hypercapnia, tachycardia, and prolonged minimal responsiveness following deflation of the tourniquet and cessation of inhaled sevoflurane. CT-chest demonstrated bilateral partially occlusive filling defects of the pulmonary vasculature. We concluded that the patient experienced a pulmonary embolism resulting in V/Q mismatch, retained sevoflurane, and ultimately delayed emergence.</p>","PeriodicalId":36504,"journal":{"name":"Case Reports in Anesthesiology","volume":"2025 ","pages":"6691273"},"PeriodicalIF":0.0000,"publicationDate":"2025-02-18","publicationTypes":"Journal Article","fieldsOfStudy":null,"isOpenAccess":false,"openAccessPdf":"https://www.ncbi.nlm.nih.gov/pmc/articles/PMC11858700/pdf/","citationCount":"0","resultStr":null,"platform":"Semanticscholar","paperid":null,"PeriodicalName":"Case Reports in Anesthesiology","FirstCategoryId":"1085","ListUrlMain":"https://doi.org/10.1155/cria/6691273","RegionNum":0,"RegionCategory":null,"ArticlePicture":[],"TitleCN":null,"AbstractTextCN":null,"PMCID":null,"EPubDate":"2025/1/1 0:00:00","PubModel":"eCollection","JCR":"Q3","JCRName":"Medicine","Score":null,"Total":0}
引用次数: 0

Abstract

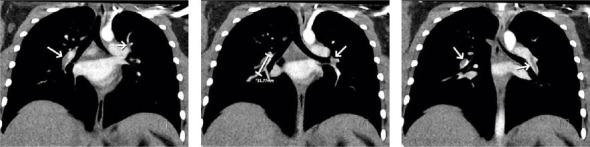
Pulmonary embolism is a rare, but serious, potential perioperative complication and crisis. We present a case of a 12-year-old female undergoing distal femoral and proximal tibial osteotomies with internal fixations who experienced acute onset hypercapnia, tachycardia, and prolonged minimal responsiveness following deflation of the tourniquet and cessation of inhaled sevoflurane. CT-chest demonstrated bilateral partially occlusive filling defects of the pulmonary vasculature. We concluded that the patient experienced a pulmonary embolism resulting in V/Q mismatch, retained sevoflurane, and ultimately delayed emergence.

Abstract Image

肺栓塞引起的严重延迟出现。
肺栓塞是一种罕见但严重的潜在围手术期并发症和危象。我们报告了一例12岁的女性,在接受股骨远端和胫骨近端截骨术并内固定后,她经历了急性高碳酸血症,心动过速,以及止血带收缩和停止吸入七氟醚后延长的最低反应。胸部ct显示双侧肺血管部分闭塞充盈缺损。我们的结论是,患者经历了肺栓塞,导致V/Q不匹配,保留了七氟醚,最终延迟了出现。
本文章由计算机程序翻译,如有差异,请以英文原文为准。
求助全文
约1分钟内获得全文 求助全文
来源期刊
Case Reports in Anesthesiology
Case Reports in Anesthesiology Medicine-Anesthesiology and Pain Medicine
CiteScore
1.40
自引率
0.00%
发文量
19
审稿时长
12 weeks
×
引用
GB/T 7714-2015
复制
MLA
复制
APA
复制
导出至
BibTeX EndNote RefMan NoteFirst NoteExpress
×
提示
您的信息不完整,为了账户安全,请先补充。
现在去补充
×
提示
您因"违规操作"
具体请查看互助需知
我知道了
×
提示
确定
请完成安全验证×
copy
已复制链接
快去分享给好友吧!
我知道了
右上角分享
点击右上角分享
0
联系我们:info@booksci.cn Book学术提供免费学术资源搜索服务,方便国内外学者检索中英文文献。致力于提供最便捷和优质的服务体验。 Copyright © 2023 布克学术 All rights reserved.
京ICP备2023020795号-1
ghs 京公网安备 11010802042870号
Book学术文献互助
Book学术文献互助群
群 号:604180095
Book学术官方微信