Diagnosing Complete Response to Preoperative Chemoradiation in Esophageal Cancer Using Dynamic Contrast-Enhanced MRI Response Criteria.

IF 5.3 2区 医学 Q1 RADIOLOGY, NUCLEAR MEDICINE & MEDICAL IMAGING
Yura Ahn, Jooae Choe, Hyun Joo Lee, Sook Ryun Park, Jong-Hoon Kim, Ho June Song, Min-Ju Kim, Yong-Hee Kim
{"title":"Diagnosing Complete Response to Preoperative Chemoradiation in Esophageal Cancer Using Dynamic Contrast-Enhanced MRI Response Criteria.","authors":"Yura Ahn, Jooae Choe, Hyun Joo Lee, Sook Ryun Park, Jong-Hoon Kim, Ho June Song, Min-Ju Kim, Yong-Hee Kim","doi":"10.3348/kjr.2024.0896","DOIUrl":null,"url":null,"abstract":"<p><strong>Objective: </strong>To assess the performance of novel qualitative diagnostic criteria using dynamic contrast-enhanced (DCE) magnetic resonance imaging (MRI) to identify the pathologic complete response (pCR) of primary tumors in esophageal cancer after neoadjuvant chemoradiation (nCRT).</p><p><strong>Materials and methods: </strong>Patients who underwent nCRT, subsequent MRI, positron emission tomography/computed tomography (PET/CT), endoscopy, or esophagectomy for esophageal cancer between October 2021 and October 2023 were retrospectively analyzed. The DCE-MRI response of primary tumors was interpreted using five grades by thoracic radiologists as follows: G1 (compatible with CR), G2 (probable CR), G3 (probable partial response [PR]), G4 (compatible with PR), and G5 (stable or progressive disease). The performances of MRI, PET/CT, endoscopy, and their combinations in diagnosing pCR in primary tumors were calculated.</p><p><strong>Results: </strong>A total of 52 patients (male:female, 46:6; age, 61.2 ± 8.0 years) were included. Surgical specimens revealed pCR (ypT0) in 34 patients. G1 as the MRI criterion for pCR of primary tumors yielded a positive predictive value (PPV), specificity of 100% (18/18), and low sensitivity (23.5% [8/34]). Combining G1 and G2 as the MRI criteria increased the sensitivity to 73.5% (25/34), with a specificity of 88.9% (16/18), accuracy of 78.8% (41/52), and PPV of 92.6% (25/27). Adding the DCE-MRI results (G1-2) significantly improved accuracy for both PET/CT (from 65.4% [34/52] to 80.8% [42/52], <i>P</i> = 0.03) and endoscopy (from 55.8% [29/52] to 76.9% [40/52], <i>P</i> = 0.005), with increase in sensitivity (from 55.9% [19/34] to 82.4% [28/34] for PET/CT-based evaluation [<i>P</i> = 0.008] and from 47.1% [16/34] to 82.4% [28/34] for endoscopy-based evaluation [<i>P</i> = 0.001]).</p><p><strong>Conclusion: </strong>DCE-MRI-based grading shows high diagnostic performance for identifying pCR in primary tumors, particularly in terms of PPV and specificity, and enhances response evaluation when combined with PET/CT and endoscopy.</p>","PeriodicalId":17881,"journal":{"name":"Korean Journal of Radiology","volume":"26 3","pages":"269-280"},"PeriodicalIF":5.3000,"publicationDate":"2025-03-01","publicationTypes":"Journal Article","fieldsOfStudy":null,"isOpenAccess":false,"openAccessPdf":"https://www.ncbi.nlm.nih.gov/pmc/articles/PMC11865900/pdf/","citationCount":"0","resultStr":null,"platform":"Semanticscholar","paperid":null,"PeriodicalName":"Korean Journal of Radiology","FirstCategoryId":"3","ListUrlMain":"https://doi.org/10.3348/kjr.2024.0896","RegionNum":2,"RegionCategory":"医学","ArticlePicture":[],"TitleCN":null,"AbstractTextCN":null,"PMCID":null,"EPubDate":"","PubModel":"","JCR":"Q1","JCRName":"RADIOLOGY, NUCLEAR MEDICINE & MEDICAL IMAGING","Score":null,"Total":0}
引用次数: 0

Abstract

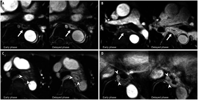
Objective: To assess the performance of novel qualitative diagnostic criteria using dynamic contrast-enhanced (DCE) magnetic resonance imaging (MRI) to identify the pathologic complete response (pCR) of primary tumors in esophageal cancer after neoadjuvant chemoradiation (nCRT).

Materials and methods: Patients who underwent nCRT, subsequent MRI, positron emission tomography/computed tomography (PET/CT), endoscopy, or esophagectomy for esophageal cancer between October 2021 and October 2023 were retrospectively analyzed. The DCE-MRI response of primary tumors was interpreted using five grades by thoracic radiologists as follows: G1 (compatible with CR), G2 (probable CR), G3 (probable partial response [PR]), G4 (compatible with PR), and G5 (stable or progressive disease). The performances of MRI, PET/CT, endoscopy, and their combinations in diagnosing pCR in primary tumors were calculated.

Results: A total of 52 patients (male:female, 46:6; age, 61.2 ± 8.0 years) were included. Surgical specimens revealed pCR (ypT0) in 34 patients. G1 as the MRI criterion for pCR of primary tumors yielded a positive predictive value (PPV), specificity of 100% (18/18), and low sensitivity (23.5% [8/34]). Combining G1 and G2 as the MRI criteria increased the sensitivity to 73.5% (25/34), with a specificity of 88.9% (16/18), accuracy of 78.8% (41/52), and PPV of 92.6% (25/27). Adding the DCE-MRI results (G1-2) significantly improved accuracy for both PET/CT (from 65.4% [34/52] to 80.8% [42/52], P = 0.03) and endoscopy (from 55.8% [29/52] to 76.9% [40/52], P = 0.005), with increase in sensitivity (from 55.9% [19/34] to 82.4% [28/34] for PET/CT-based evaluation [P = 0.008] and from 47.1% [16/34] to 82.4% [28/34] for endoscopy-based evaluation [P = 0.001]).

Conclusion: DCE-MRI-based grading shows high diagnostic performance for identifying pCR in primary tumors, particularly in terms of PPV and specificity, and enhances response evaluation when combined with PET/CT and endoscopy.

Abstract Image

Abstract Image

Abstract Image

应用动态增强MRI反应标准诊断食管癌术前放化疗完全缓解。
目的:评价动态对比增强(DCE)磁共振成像(MRI)鉴别食管癌原发肿瘤新辅助放化疗(nCRT)后病理完全缓解(pCR)的新型定性诊断标准的性能。材料和方法:回顾性分析2021年10月至2023年10月期间接受nCRT、随后的MRI、正电子发射断层扫描/计算机断层扫描(PET/CT)、内窥镜检查或食管癌食管切除术的患者。胸部放射科医师将原发性肿瘤的DCE-MRI反应分为5个等级:G1(与CR相符)、G2(可能CR)、G3(可能部分缓解[PR])、G4(与PR相符)和G5(疾病稳定或进展)。计算MRI、PET/CT、内镜检查及其联合检查对原发肿瘤pCR的诊断效果。结果:共52例患者(男:女,46:6;年龄(61.2±8.0岁)。34例患者手术标本显示pCR (ypT0)。G1作为原发肿瘤pCR的MRI标准,预测值为阳性(PPV),特异性为100%(18/18),敏感性较低(23.5%[8/34])。结合G1和G2作为MRI标准,敏感性为73.5%(25/34),特异性为88.9%(16/18),准确率为78.8% (41/52),PPV为92.6%(25/27)。添加DCE-MRI结果(g2 -2)可显著提高PET/CT(从65.4%[34/52]提高到80.8% [42/52],P = 0.03)和内镜(从55.8%[29/52]提高到76.9% [40/52],P = 0.005)的准确性(PET/CT评估从55.9%[19/34]提高到82.4% [28/34][P = 0.008],内镜评估从47.1%[16/34]提高到82.4% [28/34][P = 0.001])。结论:基于dce - mri的分级对原发性肿瘤的pCR识别具有较高的诊断效能,特别是在PPV和特异性方面,与PET/CT和内镜联合使用时,可增强疗效评估。
本文章由计算机程序翻译,如有差异,请以英文原文为准。
求助全文
约1分钟内获得全文 求助全文
来源期刊
Korean Journal of Radiology
Korean Journal of Radiology 医学-核医学
CiteScore
10.60
自引率
12.50%
发文量
141
审稿时长
1.3 months
期刊介绍: The inaugural issue of the Korean J Radiol came out in March 2000. Our journal aims to produce and propagate knowledge on radiologic imaging and related sciences. A unique feature of the articles published in the Journal will be their reflection of global trends in radiology combined with an East-Asian perspective. Geographic differences in disease prevalence will be reflected in the contents of papers, and this will serve to enrich our body of knowledge. World''s outstanding radiologists from many countries are serving as editorial board of our journal.
×
引用
GB/T 7714-2015
复制
MLA
复制
APA
复制
导出至
BibTeX EndNote RefMan NoteFirst NoteExpress
×
提示
您的信息不完整,为了账户安全,请先补充。
现在去补充
×
提示
您因"违规操作"
具体请查看互助需知
我知道了
×
提示
确定
请完成安全验证×
copy
已复制链接
快去分享给好友吧!
我知道了
右上角分享
点击右上角分享
0
联系我们:info@booksci.cn Book学术提供免费学术资源搜索服务,方便国内外学者检索中英文文献。致力于提供最便捷和优质的服务体验。 Copyright © 2023 布克学术 All rights reserved.
京ICP备2023020795号-1
ghs 京公网安备 11010802042870号
Book学术文献互助
Book学术文献互助群
群 号:604180095
Book学术官方微信