When Pneumococcal Infection Leads to Maltreatment Concerns.

IF 0.7 4区 医学 Q3 PEDIATRICS
Clinical Pediatrics Pub Date : 2025-09-01 Epub Date: 2025-02-26 DOI:10.1177/00099228251321312
Francis Livernoche, Laureanne Fleury-Dufour
{"title":"When Pneumococcal Infection Leads to Maltreatment Concerns.","authors":"Francis Livernoche, Laureanne Fleury-Dufour","doi":"10.1177/00099228251321312","DOIUrl":null,"url":null,"abstract":"","PeriodicalId":10363,"journal":{"name":"Clinical Pediatrics","volume":" ","pages":"1197-1200"},"PeriodicalIF":0.7000,"publicationDate":"2025-09-01","publicationTypes":"Journal Article","fieldsOfStudy":null,"isOpenAccess":false,"openAccessPdf":"https://www.ncbi.nlm.nih.gov/pmc/articles/PMC12287544/pdf/","citationCount":"0","resultStr":null,"platform":"Semanticscholar","paperid":null,"PeriodicalName":"Clinical Pediatrics","FirstCategoryId":"3","ListUrlMain":"https://doi.org/10.1177/00099228251321312","RegionNum":4,"RegionCategory":"医学","ArticlePicture":[],"TitleCN":null,"AbstractTextCN":null,"PMCID":null,"EPubDate":"2025/2/26 0:00:00","PubModel":"Epub","JCR":"Q3","JCRName":"PEDIATRICS","Score":null,"Total":0}
引用次数: 0

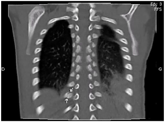
Abstract Image

Abstract Image

当肺炎球菌感染导致虐待的担忧。
本文章由计算机程序翻译,如有差异,请以英文原文为准。
求助全文
约1分钟内获得全文 求助全文
来源期刊
Clinical Pediatrics
Clinical Pediatrics 医学-小儿科
CiteScore
2.10
自引率
6.20%
发文量
189
审稿时长
3-8 weeks
期刊介绍: Clinical Pediatrics (CLP) a peer-reviewed monthly journal, is a must read for the busy pediatrician. CLP contains state-of-the-art, accurate, concise and down-to earth information on practical, everyday child care topics whether they are clinical, scientific, behavioral, educational, or ethical.
×
引用
GB/T 7714-2015
复制
MLA
复制
APA
复制
导出至
BibTeX EndNote RefMan NoteFirst NoteExpress
×
提示
您的信息不完整,为了账户安全,请先补充。
现在去补充
×
提示
您因"违规操作"
具体请查看互助需知
我知道了
×
提示
确定
请完成安全验证×
copy
已复制链接
快去分享给好友吧!
我知道了
右上角分享
点击右上角分享
0
联系我们:info@booksci.cn Book学术提供免费学术资源搜索服务,方便国内外学者检索中英文文献。致力于提供最便捷和优质的服务体验。 Copyright © 2023 布克学术 All rights reserved.
京ICP备2023020795号-1
ghs 京公网安备 11010802042870号
Book学术文献互助
Book学术文献互助群
群 号:604180095
Book学术官方微信