Reconstruction of a Complex Posterior Tracheal Wall Defect via Transtracheal Running Suture and Pedicled Pectoralis Major Muscle Flap.

IF 0.7 Q4 SURGERY
Surgical Case Reports Pub Date : 2025-01-01 Epub Date: 2025-02-18 DOI:10.70352/scrj.cr.24-0009
Tomoyuki Nakagiri, Alaa Selman, Tobias Goecke, Hayan Merhej, Akylbek Saipbaev, Arjang Ruhparwar, Patrick Zardo
{"title":"Reconstruction of a Complex Posterior Tracheal Wall Defect via Transtracheal Running Suture and Pedicled Pectoralis Major Muscle Flap.","authors":"Tomoyuki Nakagiri, Alaa Selman, Tobias Goecke, Hayan Merhej, Akylbek Saipbaev, Arjang Ruhparwar, Patrick Zardo","doi":"10.70352/scrj.cr.24-0009","DOIUrl":null,"url":null,"abstract":"<p><strong>Introduction: </strong>A tracheal membranous injury is a known complication of tracheostomy. After esophageal resection, such injury may prove fatal. No natural buttressing of the lesion occurs, and severe sepsis and mediastinitis may occur. In these situations, a circumferential tracheal resection is the treatment of choice, sometimes on cardiopulmonary bypass. However, the outcome is not always favorable.</p><p><strong>Case presentation: </strong>We report a case of a long tracheal membranous wall defect (> 7cm) after esophageal resection. We successfully performed a transtracheal direct repair of the defect through a partial sternotomy, and reconstructed the ventrolateral wall with a muscle flap using the right pectoralis major muscle.</p><p><strong>Conclusion: </strong>Tracheal reconstruction through a T-shaped incision and anastomotic buttressing using a pectoralis major muscle flap could prove to be useful when reconstructing a posterior tracheal wall injury, especially after esophageal resection.</p>","PeriodicalId":22096,"journal":{"name":"Surgical Case Reports","volume":"11 1","pages":""},"PeriodicalIF":0.7000,"publicationDate":"2025-01-01","publicationTypes":"Journal Article","fieldsOfStudy":null,"isOpenAccess":false,"openAccessPdf":"https://www.ncbi.nlm.nih.gov/pmc/articles/PMC11850052/pdf/","citationCount":"0","resultStr":null,"platform":"Semanticscholar","paperid":null,"PeriodicalName":"Surgical Case Reports","FirstCategoryId":"1085","ListUrlMain":"https://doi.org/10.70352/scrj.cr.24-0009","RegionNum":0,"RegionCategory":null,"ArticlePicture":[],"TitleCN":null,"AbstractTextCN":null,"PMCID":null,"EPubDate":"2025/2/18 0:00:00","PubModel":"Epub","JCR":"Q4","JCRName":"SURGERY","Score":null,"Total":0}
引用次数: 0

Abstract

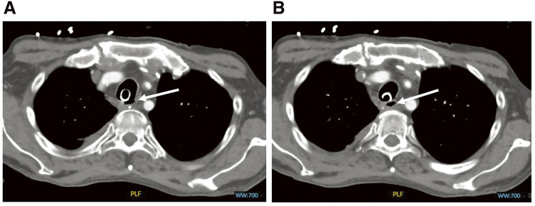
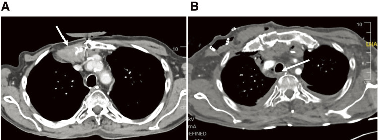
Introduction: A tracheal membranous injury is a known complication of tracheostomy. After esophageal resection, such injury may prove fatal. No natural buttressing of the lesion occurs, and severe sepsis and mediastinitis may occur. In these situations, a circumferential tracheal resection is the treatment of choice, sometimes on cardiopulmonary bypass. However, the outcome is not always favorable.

Case presentation: We report a case of a long tracheal membranous wall defect (> 7cm) after esophageal resection. We successfully performed a transtracheal direct repair of the defect through a partial sternotomy, and reconstructed the ventrolateral wall with a muscle flap using the right pectoralis major muscle.

Conclusion: Tracheal reconstruction through a T-shaped incision and anastomotic buttressing using a pectoralis major muscle flap could prove to be useful when reconstructing a posterior tracheal wall injury, especially after esophageal resection.

Abstract Image

Abstract Image

Abstract Image

经气管牵引缝合及带蒂胸大肌瓣重建复杂气管后壁缺损。
简介:气管膜损伤是气管切开术的常见并发症。在食管切除术后,这种损伤可能是致命的。病变没有自然支撑,可能发生严重的败血症和纵隔炎。在这些情况下,气管环切术是治疗的选择,有时在体外循环。然而,结果并不总是有利的。病例介绍:我们报告一例长气管膜壁缺损(bbb7cm)食管切除术后。我们成功地通过部分胸骨切开术经气管直接修复缺损,并利用右胸大肌肌瓣重建腹外侧壁。结论:经t型切口吻合胸大肌瓣支撑的气管重建对于气管后壁损伤的重建是有效的,尤其是食管切除术后。
本文章由计算机程序翻译,如有差异,请以英文原文为准。
求助全文
约1分钟内获得全文 求助全文
来源期刊
自引率
0.00%
发文量
218
审稿时长
13 weeks
×
引用
GB/T 7714-2015
复制
MLA
复制
APA
复制
导出至
BibTeX EndNote RefMan NoteFirst NoteExpress
×
提示
您的信息不完整,为了账户安全,请先补充。
现在去补充
×
提示
您因"违规操作"
具体请查看互助需知
我知道了
×
提示
确定
请完成安全验证×
copy
已复制链接
快去分享给好友吧!
我知道了
右上角分享
点击右上角分享
0
联系我们:info@booksci.cn Book学术提供免费学术资源搜索服务,方便国内外学者检索中英文文献。致力于提供最便捷和优质的服务体验。 Copyright © 2023 布克学术 All rights reserved.
京ICP备2023020795号-1
ghs 京公网安备 11010802042870号
Book学术文献互助
Book学术文献互助群
群 号:604180095
Book学术官方微信