Monolithic CAD/CAM Implant-Retained Overdentures: A Solution for Limited Restorative Space.

IF 0.9 Q4 DENTISTRY, ORAL SURGERY & MEDICINE
Case Reports in Dentistry Pub Date : 2025-02-15 eCollection Date: 2025-01-01 DOI:10.1155/crid/9034722
Abdulrahman Almalki
{"title":"Monolithic CAD/CAM Implant-Retained Overdentures: A Solution for Limited Restorative Space.","authors":"Abdulrahman Almalki","doi":"10.1155/crid/9034722","DOIUrl":null,"url":null,"abstract":"<p><p>This case report applies computer-aided design and computer-aided design manufacturing (CAD/CAM) technology in fabricating an implant-retained monolithic overdenture for a patient with limited vertical restorative space. Traditionally, a vertical space of 9 to 12 mm is required for conventional overdentures; however, this patient presented with only 6 mm available. Through the integration of CAD/CAM, a novel solution was designed that optimized both function and esthetics within the constrained space.</p>","PeriodicalId":46841,"journal":{"name":"Case Reports in Dentistry","volume":"2025 ","pages":"9034722"},"PeriodicalIF":0.9000,"publicationDate":"2025-02-15","publicationTypes":"Journal Article","fieldsOfStudy":null,"isOpenAccess":false,"openAccessPdf":"https://www.ncbi.nlm.nih.gov/pmc/articles/PMC11846673/pdf/","citationCount":"0","resultStr":null,"platform":"Semanticscholar","paperid":null,"PeriodicalName":"Case Reports in Dentistry","FirstCategoryId":"1085","ListUrlMain":"https://doi.org/10.1155/crid/9034722","RegionNum":0,"RegionCategory":null,"ArticlePicture":[],"TitleCN":null,"AbstractTextCN":null,"PMCID":null,"EPubDate":"2025/1/1 0:00:00","PubModel":"eCollection","JCR":"Q4","JCRName":"DENTISTRY, ORAL SURGERY & MEDICINE","Score":null,"Total":0}
引用次数: 0

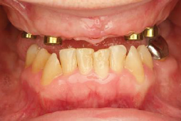
Abstract

This case report applies computer-aided design and computer-aided design manufacturing (CAD/CAM) technology in fabricating an implant-retained monolithic overdenture for a patient with limited vertical restorative space. Traditionally, a vertical space of 9 to 12 mm is required for conventional overdentures; however, this patient presented with only 6 mm available. Through the integration of CAD/CAM, a novel solution was designed that optimized both function and esthetics within the constrained space.

Abstract Image

Abstract Image

Abstract Image

单片CAD/CAM种植覆盖义齿:修复空间有限的解决方案。
本病例报告应用计算机辅助设计和计算机辅助设计制造(CAD/CAM)技术为垂直修复空间有限的患者制作种植体保留整体覆盖义齿。传统的覆盖义齿需要9到12毫米的垂直空间;然而,该患者只有6毫米可用。通过CAD/CAM的集成,设计了一种新颖的解决方案,在有限的空间内优化功能和美观。
本文章由计算机程序翻译,如有差异,请以英文原文为准。
求助全文
约1分钟内获得全文 求助全文
来源期刊
Case Reports in Dentistry
Case Reports in Dentistry DENTISTRY, ORAL SURGERY & MEDICINE-
CiteScore
1.40
自引率
12.50%
发文量
107
审稿时长
14 weeks
期刊介绍: Case Reports in Dentistry is a peer-reviewed, Open Access journal that publishes case reports and case series in all areas of dentistry, including periodontal diseases, dental implants, oral pathology, as well as oral and maxillofacial surgery.
×
引用
GB/T 7714-2015
复制
MLA
复制
APA
复制
导出至
BibTeX EndNote RefMan NoteFirst NoteExpress
×
提示
您的信息不完整,为了账户安全,请先补充。
现在去补充
×
提示
您因"违规操作"
具体请查看互助需知
我知道了
×
提示
确定
请完成安全验证×
copy
已复制链接
快去分享给好友吧!
我知道了
右上角分享
点击右上角分享
0
联系我们:info@booksci.cn Book学术提供免费学术资源搜索服务,方便国内外学者检索中英文文献。致力于提供最便捷和优质的服务体验。 Copyright © 2023 布克学术 All rights reserved.
京ICP备2023020795号-1
ghs 京公网安备 11010802042870号
Book学术文献互助
Book学术文献互助群
群 号:604180095
Book学术官方微信