Management Strategies of Neurofibromatosis Type 2 in Pediatric Patients : Challenges and Emerging Therapies.

IF 1.7 4区 医学 Q4 CLINICAL NEUROLOGY
Journal of Korean Neurosurgical Society Pub Date : 2025-05-01 Epub Date: 2025-02-24 DOI:10.3340/jkns.2024.0237
Jong Seok Lee
{"title":"Management Strategies of Neurofibromatosis Type 2 in Pediatric Patients : Challenges and Emerging Therapies.","authors":"Jong Seok Lee","doi":"10.3340/jkns.2024.0237","DOIUrl":null,"url":null,"abstract":"<p><p>Neurofibromatosis type 2 (NF2) is a rare genetic disorder caused by mutations in the NF2 tumor suppressor gene, characterized by bilateral vestibular schwannomas and other central and peripheral nervous system tumors. Pediatric patients often present with more aggressive disease, greater tumor burdens, and increased morbidity compared to adults. Management requires a multidisciplinary approach that balances tumor control with functional preservation. While surgery and radiosurgery remain key treatment options, they carry risks such as hearing loss and malignant transformation of existing tumors. Bevacizumab and emerging therapies like gene therapy show promising therapeutic effects but are limited by variability in efficacy. Comprehensive care, including psychosocial support, is essential to improve clinical outcomes and quality of life for children with NF2.</p>","PeriodicalId":16283,"journal":{"name":"Journal of Korean Neurosurgical Society","volume":" ","pages":"278-285"},"PeriodicalIF":1.7000,"publicationDate":"2025-05-01","publicationTypes":"Journal Article","fieldsOfStudy":null,"isOpenAccess":false,"openAccessPdf":"https://www.ncbi.nlm.nih.gov/pmc/articles/PMC12062534/pdf/","citationCount":"0","resultStr":null,"platform":"Semanticscholar","paperid":null,"PeriodicalName":"Journal of Korean Neurosurgical Society","FirstCategoryId":"3","ListUrlMain":"https://doi.org/10.3340/jkns.2024.0237","RegionNum":4,"RegionCategory":"医学","ArticlePicture":[],"TitleCN":null,"AbstractTextCN":null,"PMCID":null,"EPubDate":"2025/2/24 0:00:00","PubModel":"Epub","JCR":"Q4","JCRName":"CLINICAL NEUROLOGY","Score":null,"Total":0}
引用次数: 0

Abstract

Neurofibromatosis type 2 (NF2) is a rare genetic disorder caused by mutations in the NF2 tumor suppressor gene, characterized by bilateral vestibular schwannomas and other central and peripheral nervous system tumors. Pediatric patients often present with more aggressive disease, greater tumor burdens, and increased morbidity compared to adults. Management requires a multidisciplinary approach that balances tumor control with functional preservation. While surgery and radiosurgery remain key treatment options, they carry risks such as hearing loss and malignant transformation of existing tumors. Bevacizumab and emerging therapies like gene therapy show promising therapeutic effects but are limited by variability in efficacy. Comprehensive care, including psychosocial support, is essential to improve clinical outcomes and quality of life for children with NF2.

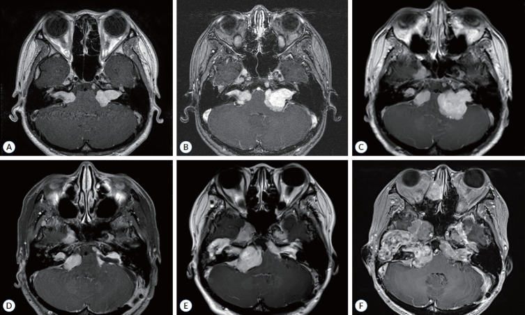
Abstract Image

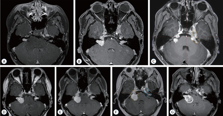
Abstract Image

小儿2型神经纤维瘤病的治疗策略:挑战和新兴疗法
2型神经纤维瘤病(NF2)是一种罕见的由NF2肿瘤抑制基因突变引起的遗传性疾病,以双侧前庭神经鞘瘤(VSs)和其他中枢和周围神经系统肿瘤为特征。与成人相比,儿科患者通常表现为更具侵袭性的疾病,更大的肿瘤负担和更高的发病率。治疗需要多学科的方法来平衡肿瘤控制和功能保存。虽然手术和放射手术仍然是主要的治疗选择,但它们存在听力损失和现有肿瘤恶性转化等风险。贝伐单抗和基因疗法等新兴疗法显示出有希望的治疗效果,但由于疗效的可变性而受到限制。综合护理,包括社会心理支持,对于改善NF2患儿的临床结果和生活质量至关重要。
本文章由计算机程序翻译,如有差异,请以英文原文为准。
求助全文
约1分钟内获得全文 求助全文
来源期刊
CiteScore
2.90
自引率
6.20%
发文量
109
审稿时长
3-8 weeks
期刊介绍: The Journal of Korean Neurosurgical Society (J Korean Neurosurg Soc) is the official journal of the Korean Neurosurgical Society, and published bimonthly (1st day of January, March, May, July, September, and November). It launched in October 31, 1972 with Volume 1 and Number 1. J Korean Neurosurg Soc aims to allow neurosurgeons from around the world to enrich their knowledge of patient management, education, and clinical or experimental research, and hence their professionalism. This journal publishes Laboratory Investigations, Clinical Articles, Review Articles, Case Reports, Technical Notes, and Letters to the Editor. Our field of interest involves clinical neurosurgery (cerebrovascular disease, neuro-oncology, skull base neurosurgery, spine, pediatric neurosurgery, functional neurosurgery, epilepsy, neuro-trauma, and peripheral nerve disease) and laboratory work in neuroscience.
×
引用
GB/T 7714-2015
复制
MLA
复制
APA
复制
导出至
BibTeX EndNote RefMan NoteFirst NoteExpress
×
提示
您的信息不完整,为了账户安全,请先补充。
现在去补充
×
提示
您因"违规操作"
具体请查看互助需知
我知道了
×
提示
确定
请完成安全验证×
copy
已复制链接
快去分享给好友吧!
我知道了
右上角分享
点击右上角分享
0
联系我们:info@booksci.cn Book学术提供免费学术资源搜索服务,方便国内外学者检索中英文文献。致力于提供最便捷和优质的服务体验。 Copyright © 2023 布克学术 All rights reserved.
京ICP备2023020795号-1
ghs 京公网安备 11010802042870号
Book学术文献互助
Book学术文献互助群
群 号:604180095
Book学术官方微信