Rising Into Relevance: A Rare Case of Saccharomyces cerevisiae Pyelonephritis in an Immunosuppressed Patient With Exposure to Sourdough Starter.

IF 0.8 Q3 MEDICINE, GENERAL & INTERNAL
Alissa Mingo, Drew Stone, Andrew D Schreiner, Richard Lueking
{"title":"Rising Into Relevance: A Rare Case of <i>Saccharomyces cerevisiae</i> Pyelonephritis in an Immunosuppressed Patient With Exposure to Sourdough Starter.","authors":"Alissa Mingo, Drew Stone, Andrew D Schreiner, Richard Lueking","doi":"10.1177/23247096251322284","DOIUrl":null,"url":null,"abstract":"<p><p><i>Saccharomyces cerevisiae</i>, commonly known as Baker's yeast, has been used in breadmaking, winemaking, and beer brewing for centuries. Although not generally regarded as pathogenic, rare cases of invasive infections have occurred in patients predisposed by critical illness, immunosuppression, or prolonged antibiotic use. Using data collected from the electronic medical record and personal interactions with the patient, we present a case of complicated <i>S cerevisiae</i> urinary tract infection (UTI). We searched terms (and permutations of terms) including <i>Saccharomyces cerevisiae</i>, Baker's or Brewer's yeast, and urinary tract infection using PubMed to identify previously published evidence of invasive <i>S cerevisiae</i> infections. Our patient is a 30-year-old woman with a history of rheumatoid arthritis on methotrexate, and previous admission for <i>Candida glabrata</i> UTI requiring intravenous antifungal therapies, who presented to her gynecologist with complaints of vaginitis and flank pain. Vaginal and urine cultures grew <i>S cerevisiae</i>, and the patient was diagnosed with pyelonephritis and admitted for treatment. A further review of the patient's history revealed daily exposure to <i>S cerevisiae</i> through baking sourdough bread. She was treated with 7 days of IV amphotericin deoxycholate and discharged on a 6-month course of suppressive oteseconazole for vulvovaginitis suppression. <i>Saccharomyces cerevisiae</i> is an exceedingly rare cause of invasive fungal UTI, with our literature review identifying only a few case reports of associated UTI and fungemia, all related to probiotic use. Our case emphasizes the importance of careful history taking and early diagnostic cultures in those at risk of invasive fungal infections.</p>","PeriodicalId":16198,"journal":{"name":"Journal of investigative medicine high impact case reports","volume":"13 ","pages":"23247096251322284"},"PeriodicalIF":0.8000,"publicationDate":"2025-01-01","publicationTypes":"Journal Article","fieldsOfStudy":null,"isOpenAccess":false,"openAccessPdf":"https://www.ncbi.nlm.nih.gov/pmc/articles/PMC11851732/pdf/","citationCount":"0","resultStr":null,"platform":"Semanticscholar","paperid":null,"PeriodicalName":"Journal of investigative medicine high impact case reports","FirstCategoryId":"1085","ListUrlMain":"https://doi.org/10.1177/23247096251322284","RegionNum":0,"RegionCategory":null,"ArticlePicture":[],"TitleCN":null,"AbstractTextCN":null,"PMCID":null,"EPubDate":"","PubModel":"","JCR":"Q3","JCRName":"MEDICINE, GENERAL & INTERNAL","Score":null,"Total":0}
引用次数: 0

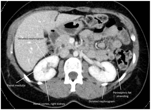
Abstract

Saccharomyces cerevisiae, commonly known as Baker's yeast, has been used in breadmaking, winemaking, and beer brewing for centuries. Although not generally regarded as pathogenic, rare cases of invasive infections have occurred in patients predisposed by critical illness, immunosuppression, or prolonged antibiotic use. Using data collected from the electronic medical record and personal interactions with the patient, we present a case of complicated S cerevisiae urinary tract infection (UTI). We searched terms (and permutations of terms) including Saccharomyces cerevisiae, Baker's or Brewer's yeast, and urinary tract infection using PubMed to identify previously published evidence of invasive S cerevisiae infections. Our patient is a 30-year-old woman with a history of rheumatoid arthritis on methotrexate, and previous admission for Candida glabrata UTI requiring intravenous antifungal therapies, who presented to her gynecologist with complaints of vaginitis and flank pain. Vaginal and urine cultures grew S cerevisiae, and the patient was diagnosed with pyelonephritis and admitted for treatment. A further review of the patient's history revealed daily exposure to S cerevisiae through baking sourdough bread. She was treated with 7 days of IV amphotericin deoxycholate and discharged on a 6-month course of suppressive oteseconazole for vulvovaginitis suppression. Saccharomyces cerevisiae is an exceedingly rare cause of invasive fungal UTI, with our literature review identifying only a few case reports of associated UTI and fungemia, all related to probiotic use. Our case emphasizes the importance of careful history taking and early diagnostic cultures in those at risk of invasive fungal infections.

Abstract Image

Abstract Image

Abstract Image

越来越重要:一例暴露于酵母发酵剂的免疫抑制患者的酿酒酵母肾盂肾炎。
酿酒酵母,通常被称为面包师的酵母,几个世纪以来一直用于面包制作、葡萄酒酿造和啤酒酿造。虽然通常不被认为是致病性的,但侵袭性感染的罕见病例发生在危重疾病、免疫抑制或长期使用抗生素的患者中。利用电子病历和与患者的个人互动收集的数据,我们报告一例复杂的酿酒葡萄球菌尿路感染(UTI)。我们使用PubMed检索了包括酿酒酵母、贝克酵母或布鲁尔酵母和尿路感染在内的术语(和术语的排列),以确定先前发表的侵入性酿酒酵母感染的证据。我们的患者是一名30岁的女性,有甲氨蝶呤类风湿性关节炎病史,既往因平滑念珠菌UTI入院,需要静脉抗真菌治疗,她以阴道炎和侧腹疼痛就诊于妇科医生。阴道和尿液培养培养出酿酒酵母,患者被诊断为肾盂肾炎并入院治疗。对患者病史的进一步检查显示,每天通过烘烤酸面包接触酿酒葡萄球菌。患者静脉滴注两性霉素去氧胆酸7天,停用奥替康唑抑制外阴阴道炎6个月。酿酒酵母是一种非常罕见的侵袭性真菌UTI的病因,我们的文献综述只发现了少数与UTI和真菌血症相关的病例报告,这些病例都与益生菌的使用有关。我们的病例强调了在侵袭性真菌感染的风险中,仔细的病史记录和早期诊断培养的重要性。
本文章由计算机程序翻译,如有差异,请以英文原文为准。
求助全文
约1分钟内获得全文 求助全文
来源期刊
CiteScore
1.90
自引率
0.00%
发文量
165
审稿时长
12 weeks
期刊介绍: The AFMR is committed to enhancing the training and career development of our members and to furthering its mission to facilitate the conduct of research to improve medical care. Case reports represent an important avenue for trainees (interns, residents, and fellows) and early-stage faculty to demonstrate productive, scholarly activity.
×
引用
GB/T 7714-2015
复制
MLA
复制
APA
复制
导出至
BibTeX EndNote RefMan NoteFirst NoteExpress
×
提示
您的信息不完整,为了账户安全,请先补充。
现在去补充
×
提示
您因"违规操作"
具体请查看互助需知
我知道了
×
提示
确定
请完成安全验证×
copy
已复制链接
快去分享给好友吧!
我知道了
右上角分享
点击右上角分享
0
联系我们:info@booksci.cn Book学术提供免费学术资源搜索服务,方便国内外学者检索中英文文献。致力于提供最便捷和优质的服务体验。 Copyright © 2023 布克学术 All rights reserved.
京ICP备2023020795号-1
ghs 京公网安备 11010802042870号
Book学术文献互助
Book学术文献互助群
群 号:604180095
Book学术官方微信