Case Report and Literature Review of Conjunctival Melanoma in the Black Population.

IF 0.4 Q4 OPHTHALMOLOGY
Case Reports in Ophthalmological Medicine Pub Date : 2025-02-14 eCollection Date: 2025-01-01 DOI:10.1155/crop/5578922
Oscar Chen, Fae Kayarian, Elaine Kelly, Richard J Grostern, Anjali Tannan
{"title":"Case Report and Literature Review of Conjunctival Melanoma in the Black Population.","authors":"Oscar Chen, Fae Kayarian, Elaine Kelly, Richard J Grostern, Anjali Tannan","doi":"10.1155/crop/5578922","DOIUrl":null,"url":null,"abstract":"<p><p><b>Purpose:</b> The purpose of this study is to report a rare case of conjunctival melanoma (CM) in a black male patient and provide a comprehensive literature review of all documented cases of CM in the black population. <b>Methods:</b> A case report highlighting a black patient with newly diagnosed CM was described. A comprehensive literature review was conducted to determine the prevalence of CM in the black population. <b>Results:</b> Extensive CM in situ in a 46-year-old black male patient was treated with excision and cryotherapy. The patient subsequently required repeat cryotherapy and topical Mitomycin C therapy due to a recurrence of pigmentation. A literature review identified 46 cases of CM in the black population. <b>Conclusions:</b> CM has rarely been observed in the black population. With this current case report, there are only 47 black patients found in the literature with this ocular surface tumor. Further detailed documentation on the presentation, location, and outcomes of CM in this population is imperative to better screen and treat this demographic.</p>","PeriodicalId":9603,"journal":{"name":"Case Reports in Ophthalmological Medicine","volume":"2025 ","pages":"5578922"},"PeriodicalIF":0.4000,"publicationDate":"2025-02-14","publicationTypes":"Journal Article","fieldsOfStudy":null,"isOpenAccess":false,"openAccessPdf":"https://www.ncbi.nlm.nih.gov/pmc/articles/PMC11845260/pdf/","citationCount":"0","resultStr":null,"platform":"Semanticscholar","paperid":null,"PeriodicalName":"Case Reports in Ophthalmological Medicine","FirstCategoryId":"1085","ListUrlMain":"https://doi.org/10.1155/crop/5578922","RegionNum":0,"RegionCategory":null,"ArticlePicture":[],"TitleCN":null,"AbstractTextCN":null,"PMCID":null,"EPubDate":"2025/1/1 0:00:00","PubModel":"eCollection","JCR":"Q4","JCRName":"OPHTHALMOLOGY","Score":null,"Total":0}
引用次数: 0

Abstract

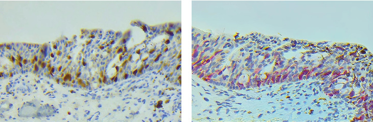
Purpose: The purpose of this study is to report a rare case of conjunctival melanoma (CM) in a black male patient and provide a comprehensive literature review of all documented cases of CM in the black population. Methods: A case report highlighting a black patient with newly diagnosed CM was described. A comprehensive literature review was conducted to determine the prevalence of CM in the black population. Results: Extensive CM in situ in a 46-year-old black male patient was treated with excision and cryotherapy. The patient subsequently required repeat cryotherapy and topical Mitomycin C therapy due to a recurrence of pigmentation. A literature review identified 46 cases of CM in the black population. Conclusions: CM has rarely been observed in the black population. With this current case report, there are only 47 black patients found in the literature with this ocular surface tumor. Further detailed documentation on the presentation, location, and outcomes of CM in this population is imperative to better screen and treat this demographic.

Abstract Image

Abstract Image

黑人结膜黑色素瘤病例报告及文献回顾。
目的:本研究的目的是报告一例罕见的黑人男性结膜黑色素瘤(CM)病例,并对黑人人群中所有记录的CM病例进行全面的文献回顾。方法:报告一例黑人新诊断CM患者。我们进行了全面的文献综述,以确定黑人人群中CM的患病率。结果:一名46岁的黑人男性患者接受了广泛的原位CM切除和冷冻治疗。由于色素沉着复发,患者随后需要重复冷冻治疗和局部丝裂霉素C治疗。一篇文献综述确定了黑人人群中46例CM。结论:CM在黑人人群中很少观察到。根据目前的病例报告,文献中只有47名黑人患者患有这种眼表肿瘤。为了更好地筛查和治疗这一人群,有必要进一步详细记录CM的表现、位置和结果。
本文章由计算机程序翻译,如有差异,请以英文原文为准。
求助全文
约1分钟内获得全文 求助全文
来源期刊
自引率
0.00%
发文量
38
审稿时长
14 weeks
×
引用
GB/T 7714-2015
复制
MLA
复制
APA
复制
导出至
BibTeX EndNote RefMan NoteFirst NoteExpress
×
提示
您的信息不完整,为了账户安全,请先补充。
现在去补充
×
提示
您因"违规操作"
具体请查看互助需知
我知道了
×
提示
确定
请完成安全验证×
copy
已复制链接
快去分享给好友吧!
我知道了
右上角分享
点击右上角分享
0
联系我们:info@booksci.cn Book学术提供免费学术资源搜索服务,方便国内外学者检索中英文文献。致力于提供最便捷和优质的服务体验。 Copyright © 2023 布克学术 All rights reserved.
京ICP备2023020795号-1
ghs 京公网安备 11010802042870号
Book学术文献互助
Book学术文献互助群
群 号:604180095
Book学术官方微信