Percutaneous coronary intervention-lobectomy for Lung Cancer hybrid surgery: an initial case series.

IF 3.2 Q2 CARDIAC & CARDIOVASCULAR SYSTEMS
Jing Zeng, Junyi Yu, Qiao Mei, Ye Yuan, Taiming Zhang, Longyong Mei, Lingling Huang, Yijie Hu, Bo Deng, Gengze Wu, Chunyu Zeng
{"title":"Percutaneous coronary intervention-lobectomy for Lung Cancer hybrid surgery: an initial case series.","authors":"Jing Zeng, Junyi Yu, Qiao Mei, Ye Yuan, Taiming Zhang, Longyong Mei, Lingling Huang, Yijie Hu, Bo Deng, Gengze Wu, Chunyu Zeng","doi":"10.1186/s40959-025-00317-6","DOIUrl":null,"url":null,"abstract":"<p><strong>Background: </strong>For patients diagnosed with both lung cancer and severe coronary heart disease (CHD), the conflict between revascularization and lung cancer surgery remains to be settled to balance how to attenuate the cardiovascular risk for lung surgery and shorten the waiting time of anti-platelet therapy after revascularization. This study presents the percutaneous coronary intervention (PCI)-lobectomy for lung cancer hybrid surgery (PLHS), and its antithrombotic therapeutic strategy.</p><p><strong>Methods: </strong>From October 2020 to June 2023, 14 patients, with unstable angina and resectable lung cancer received PLHS. All procedures were performed in a hybrid operating room. Drug-eluting stents (DES) were implanted during PCI. Lobectomy was carried out within one hour after PCI.</p><p><strong>Results: </strong>Procedural success was 100%. All the patients subjected to PLHS were alive after 12 months of follow-up; 2 patients (14.29%) died due to distant metastasis within 12-24 months post-PLHS. There were no intraoperative complications, or 30-day- and 3-month-mortality. Except for one patient who suffered pneumothorax, no other postoperative complications, including severe bleeding, or in-stent restenosis, occurred in the 31.7 ± 10.9 months follow-up.</p><p><strong>Conclusions: </strong>PLHS is a feasible and potentially safe option for patients with both lung cancer and severe CHD.</p>","PeriodicalId":9804,"journal":{"name":"Cardio-oncology","volume":"11 1","pages":"20"},"PeriodicalIF":3.2000,"publicationDate":"2025-02-21","publicationTypes":"Journal Article","fieldsOfStudy":null,"isOpenAccess":false,"openAccessPdf":"https://www.ncbi.nlm.nih.gov/pmc/articles/PMC11844065/pdf/","citationCount":"0","resultStr":null,"platform":"Semanticscholar","paperid":null,"PeriodicalName":"Cardio-oncology","FirstCategoryId":"1085","ListUrlMain":"https://doi.org/10.1186/s40959-025-00317-6","RegionNum":0,"RegionCategory":null,"ArticlePicture":[],"TitleCN":null,"AbstractTextCN":null,"PMCID":null,"EPubDate":"","PubModel":"","JCR":"Q2","JCRName":"CARDIAC & CARDIOVASCULAR SYSTEMS","Score":null,"Total":0}
引用次数: 0

Abstract

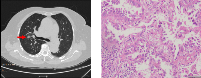
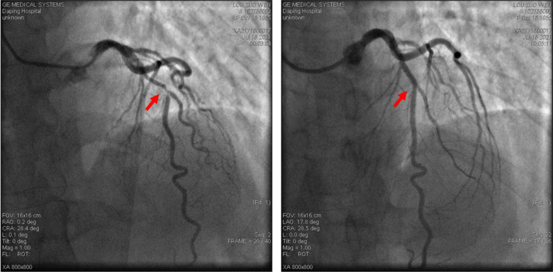
Background: For patients diagnosed with both lung cancer and severe coronary heart disease (CHD), the conflict between revascularization and lung cancer surgery remains to be settled to balance how to attenuate the cardiovascular risk for lung surgery and shorten the waiting time of anti-platelet therapy after revascularization. This study presents the percutaneous coronary intervention (PCI)-lobectomy for lung cancer hybrid surgery (PLHS), and its antithrombotic therapeutic strategy.

Methods: From October 2020 to June 2023, 14 patients, with unstable angina and resectable lung cancer received PLHS. All procedures were performed in a hybrid operating room. Drug-eluting stents (DES) were implanted during PCI. Lobectomy was carried out within one hour after PCI.

Results: Procedural success was 100%. All the patients subjected to PLHS were alive after 12 months of follow-up; 2 patients (14.29%) died due to distant metastasis within 12-24 months post-PLHS. There were no intraoperative complications, or 30-day- and 3-month-mortality. Except for one patient who suffered pneumothorax, no other postoperative complications, including severe bleeding, or in-stent restenosis, occurred in the 31.7 ± 10.9 months follow-up.

Conclusions: PLHS is a feasible and potentially safe option for patients with both lung cancer and severe CHD.

Abstract Image

Abstract Image

Abstract Image

经皮冠状动脉介入-肺叶切除术治疗肺癌混合手术:初步病例系列。
背景:对于同时诊断为肺癌和重度冠心病(CHD)的患者,如何降低肺部手术的心血管风险和缩短血运重建术后抗血小板治疗的等待时间,血运重建术与肺癌手术之间的冲突仍有待解决。本研究介绍经皮冠状动脉介入治疗(PCI)-肺叶切除术治疗肺癌混合手术(PLHS)及其抗血栓治疗策略。方法:2020年10月至2023年6月,对14例不稳定型心绞痛合并可切除肺癌患者进行PLHS治疗。所有手术均在混合手术室进行。PCI术中植入药物洗脱支架(DES)。PCI术后1小时内行肺叶切除术。结果:手术成功率100%。随访12个月后,所有PLHS患者均存活;2例(14.29%)在plhs后12-24个月内死于远处转移。无术中并发症,无30天和3个月死亡率。在31.7±10.9个月的随访中,除1例患者发生气胸外,未发生严重出血、支架内再狭窄等术后并发症。结论:对于肺癌和重度冠心病患者,PLHS是一种可行且潜在安全的选择。
本文章由计算机程序翻译,如有差异,请以英文原文为准。
求助全文
约1分钟内获得全文 求助全文
来源期刊
Cardio-oncology
Cardio-oncology Medicine-Cardiology and Cardiovascular Medicine
CiteScore
5.00
自引率
3.00%
发文量
17
审稿时长
7 weeks
×
引用
GB/T 7714-2015
复制
MLA
复制
APA
复制
导出至
BibTeX EndNote RefMan NoteFirst NoteExpress
×
提示
您的信息不完整,为了账户安全,请先补充。
现在去补充
×
提示
您因"违规操作"
具体请查看互助需知
我知道了
×
提示
确定
请完成安全验证×
copy
已复制链接
快去分享给好友吧!
我知道了
右上角分享
点击右上角分享
0
联系我们:info@booksci.cn Book学术提供免费学术资源搜索服务,方便国内外学者检索中英文文献。致力于提供最便捷和优质的服务体验。 Copyright © 2023 布克学术 All rights reserved.
京ICP备2023020795号-1
ghs 京公网安备 11010802042870号
Book学术文献互助
Book学术文献互助群
群 号:604180095
Book学术官方微信