Concentrated growth factor scaffold-based pulpotomy of permanent molars with symptomatic irreversible pulpitis.

IF 1.5
Restorative Dentistry & Endodontics Pub Date : 2025-02-01 Epub Date: 2025-01-17 DOI:10.5395/rde.2025.50.e1
Arthi K Harith, Vishnupriya Koteeswaran, Dinesh Kowsky, Natanasabapathy Velmurugan, Suresh Nandini
{"title":"Concentrated growth factor scaffold-based pulpotomy of permanent molars with symptomatic irreversible pulpitis.","authors":"Arthi K Harith, Vishnupriya Koteeswaran, Dinesh Kowsky, Natanasabapathy Velmurugan, Suresh Nandini","doi":"10.5395/rde.2025.50.e1","DOIUrl":null,"url":null,"abstract":"<p><strong>Objectives: </strong>: Pulpotomy is a minimally invasive procedure that aims to retain the vitality of the radicular pulp by removing the inflamed coronal pulp tissue. This case series presents the successful management of symptomatic irreversible pulpitis by pulpotomy with concentrated growth factor (CGF) scaffolds.</p><p><strong>Methods: </strong>Six permanent mandibular molars with a diagnosis of symptomatic irreversible pulpitis were included. Under Local anesthesia and rubber dam isolation, caries were excavated using high-speed bur under coolant. Full coronal pulpotomy was done and hemostasis was achieved. CGF membrane was prepared and placed over the radicular pulp and layered with Biodentine (Septodont). Final restoration of type IX glass ionomer cement and bulk fill composite resin was placed. Patients were assessed for various clinical and radiographic parameters at intervals of 1 week and 3, 6, and 12 months. Five patients fulfilled the success criteria at the end of 1 year.</p><p><strong>Results: </strong>Pulpotomy is considered an alternative treatment modality for root canal treatment in symptomatic irreversible pulpitis aiming at alleviating symptoms and maintaining vitality. CGF scaffold when used as a capping material acts as a reservoir for growth factors with anti-inflammatory properties and enhances healing.</p><p><strong>Conclusions: </strong>Scaffold-based pulpotomy can be considered a biological approach to healing inflamed pulp.</p>","PeriodicalId":21102,"journal":{"name":"Restorative Dentistry & Endodontics","volume":" ","pages":"e1"},"PeriodicalIF":1.5000,"publicationDate":"2025-02-01","publicationTypes":"Journal Article","fieldsOfStudy":null,"isOpenAccess":false,"openAccessPdf":"https://www.ncbi.nlm.nih.gov/pmc/articles/PMC11921459/pdf/","citationCount":"0","resultStr":null,"platform":"Semanticscholar","paperid":null,"PeriodicalName":"Restorative Dentistry & Endodontics","FirstCategoryId":"1085","ListUrlMain":"https://doi.org/10.5395/rde.2025.50.e1","RegionNum":0,"RegionCategory":null,"ArticlePicture":[],"TitleCN":null,"AbstractTextCN":null,"PMCID":null,"EPubDate":"2025/1/17 0:00:00","PubModel":"Epub","JCR":"","JCRName":"","Score":null,"Total":0}
引用次数: 0

Abstract

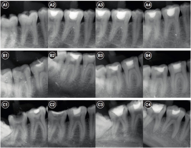
Objectives: : Pulpotomy is a minimally invasive procedure that aims to retain the vitality of the radicular pulp by removing the inflamed coronal pulp tissue. This case series presents the successful management of symptomatic irreversible pulpitis by pulpotomy with concentrated growth factor (CGF) scaffolds.

Methods: Six permanent mandibular molars with a diagnosis of symptomatic irreversible pulpitis were included. Under Local anesthesia and rubber dam isolation, caries were excavated using high-speed bur under coolant. Full coronal pulpotomy was done and hemostasis was achieved. CGF membrane was prepared and placed over the radicular pulp and layered with Biodentine (Septodont). Final restoration of type IX glass ionomer cement and bulk fill composite resin was placed. Patients were assessed for various clinical and radiographic parameters at intervals of 1 week and 3, 6, and 12 months. Five patients fulfilled the success criteria at the end of 1 year.

Results: Pulpotomy is considered an alternative treatment modality for root canal treatment in symptomatic irreversible pulpitis aiming at alleviating symptoms and maintaining vitality. CGF scaffold when used as a capping material acts as a reservoir for growth factors with anti-inflammatory properties and enhances healing.

Conclusions: Scaffold-based pulpotomy can be considered a biological approach to healing inflamed pulp.

Abstract Image

Abstract Image

Abstract Image

以浓缩生长因子支架为基础的恒磨牙切开术治疗症状性不可逆牙髓炎。
目的:髓切开术是一种微创手术,目的是通过去除发炎的冠状髓组织来保持根状髓的活力。本病例系列介绍了用浓缩生长因子(CGF)支架进行牙髓切开术成功治疗症状性不可逆牙髓炎。方法:6例诊断为症状性不可逆牙髓炎的恒磨牙。在局部麻醉和橡胶坝隔离的情况下,采用冷却液下高速挖牙。完成全冠状髓腔切开术并止血。制备CGF膜,将其置于根状牙髓上,并与生物牙汀(隔膜)分层。最后进行了IX型玻璃离子水泥和散装填充复合树脂的修复。每隔1周、3个月、6个月和12个月对患者进行各种临床和影像学参数评估。1年后,5例患者达到成功标准。结果:对症状性不可逆性牙髓炎进行根管治疗,切开术可以缓解症状,保持活力。当CGF支架用作覆盖材料时,它可以作为具有抗炎特性的生长因子的储存库,并促进愈合。结论:基于支架的牙髓切开术可以被认为是治疗炎症牙髓的一种生物学方法。
本文章由计算机程序翻译,如有差异,请以英文原文为准。
求助全文
约1分钟内获得全文 求助全文
来源期刊
CiteScore
0.20
自引率
0.00%
发文量
35
审稿时长
12 weeks
×
引用
GB/T 7714-2015
复制
MLA
复制
APA
复制
导出至
BibTeX EndNote RefMan NoteFirst NoteExpress
×
提示
您的信息不完整,为了账户安全,请先补充。
现在去补充
×
提示
您因"违规操作"
具体请查看互助需知
我知道了
×
提示
确定
请完成安全验证×
copy
已复制链接
快去分享给好友吧!
我知道了
右上角分享
点击右上角分享
0
联系我们:info@booksci.cn Book学术提供免费学术资源搜索服务,方便国内外学者检索中英文文献。致力于提供最便捷和优质的服务体验。 Copyright © 2023 布克学术 All rights reserved.
京ICP备2023020795号-1
ghs 京公网安备 11010802042870号
Book学术文献互助
Book学术文献互助群
群 号:604180095
Book学术官方微信