Biotin-Thiamine-Responsive Basal Ganglia Disease: A Case Report.

IF 0.6 Q4 CLINICAL NEUROLOGY
Case Reports in Neurology Pub Date : 2024-12-03 eCollection Date: 2025-01-01 DOI:10.1159/000542886
Jonathan Tse, Asem Abu-Qamar, Omar Youssef, Sherry L Pejka
{"title":"Biotin-Thiamine-Responsive Basal Ganglia Disease: A Case Report.","authors":"Jonathan Tse, Asem Abu-Qamar, Omar Youssef, Sherry L Pejka","doi":"10.1159/000542886","DOIUrl":null,"url":null,"abstract":"<p><strong>Introduction: </strong>Biotin-thiamine responsive basal ganglia disease (BTBGD) is a rare autosomal recessive neurometabolic disorder characterized by diverse and variable phenotypic features, which can make diagnosis challenging. However, prompt treatment with thiamine and biotin can effectively manage the condition. Diagnosis relies on the identification of biallelic pathogenic variants in the <i>SLC19A3</i> gene. This case report describes two novel variants of uncertain significance in the <i>SLC19A3</i> gene, which may be correlated with the phenotypic manifestations of BTBGD.</p><p><strong>Case presentation: </strong>Our case is a 7-month-old female infant who presented with a 3-week history of irritability, altered behavior, and refusal of newly introduced solid foods. Symptoms started with an upper respiratory tract infection, followed by lethargy, floppiness, and abnormal movements. The patient was admitted to the pediatric ward with a broad differential diagnosis. Extensive laboratory evaluations revealed lactic acidosis. MRI brain showed symmetric restricted diffusion affecting the bilateral basal ganglia, thalami, and cortical regions. Whole genome sequencing identified biallelic variants of the SLC19A3: a c.1364T>G p.Met455Arg missense variant in the maternal allele and a 2.3 kb deletion of intron 3 of the paternal allele. Both variants were identified as variants of uncertain significance. However, given the clinical picture, MRI brain findings, resolution of symptoms with empiric biotin and thiamine supplementation, and biallelic SLC19A3 variants of unknown significance, the patient most likely suffers from BTBGD. Patient continues to show sustained developmental progress on biotin and thiamine supplementation.</p><p><strong>Conclusion: </strong>This case highlights the fact that genetic testing remains a vital but improvable tool for the diagnosis of BTBGD. As of yet, genetic testing and diagnosis of BTBGD continues to be limited by the knowledge of which SLC19A3 variants are established to be pathogenic variants. Thus, further research is required to study other SCL19A3 variants of unknown significance to further improve genetic testing and diagnosis of BTBGD in the future.</p>","PeriodicalId":9639,"journal":{"name":"Case Reports in Neurology","volume":"17 1","pages":"1-8"},"PeriodicalIF":0.6000,"publicationDate":"2024-12-03","publicationTypes":"Journal Article","fieldsOfStudy":null,"isOpenAccess":false,"openAccessPdf":"https://www.ncbi.nlm.nih.gov/pmc/articles/PMC11781812/pdf/","citationCount":"0","resultStr":null,"platform":"Semanticscholar","paperid":null,"PeriodicalName":"Case Reports in Neurology","FirstCategoryId":"1085","ListUrlMain":"https://doi.org/10.1159/000542886","RegionNum":0,"RegionCategory":null,"ArticlePicture":[],"TitleCN":null,"AbstractTextCN":null,"PMCID":null,"EPubDate":"2025/1/1 0:00:00","PubModel":"eCollection","JCR":"Q4","JCRName":"CLINICAL NEUROLOGY","Score":null,"Total":0}
引用次数: 0

Abstract

Introduction: Biotin-thiamine responsive basal ganglia disease (BTBGD) is a rare autosomal recessive neurometabolic disorder characterized by diverse and variable phenotypic features, which can make diagnosis challenging. However, prompt treatment with thiamine and biotin can effectively manage the condition. Diagnosis relies on the identification of biallelic pathogenic variants in the SLC19A3 gene. This case report describes two novel variants of uncertain significance in the SLC19A3 gene, which may be correlated with the phenotypic manifestations of BTBGD.

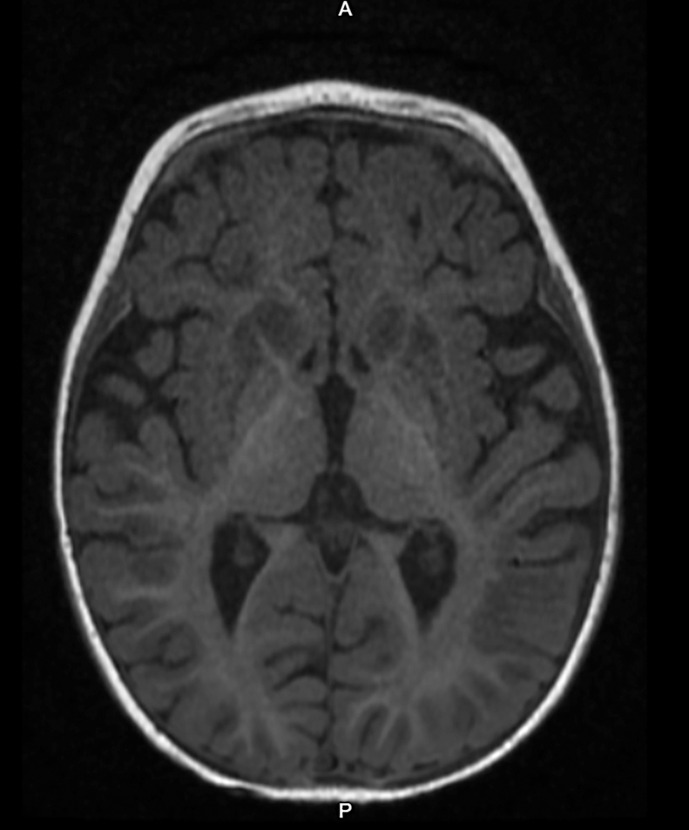
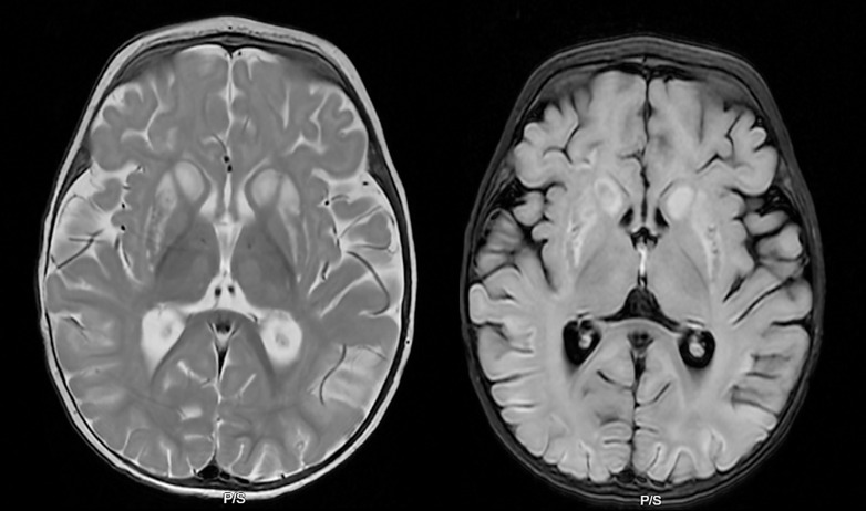
Case presentation: Our case is a 7-month-old female infant who presented with a 3-week history of irritability, altered behavior, and refusal of newly introduced solid foods. Symptoms started with an upper respiratory tract infection, followed by lethargy, floppiness, and abnormal movements. The patient was admitted to the pediatric ward with a broad differential diagnosis. Extensive laboratory evaluations revealed lactic acidosis. MRI brain showed symmetric restricted diffusion affecting the bilateral basal ganglia, thalami, and cortical regions. Whole genome sequencing identified biallelic variants of the SLC19A3: a c.1364T>G p.Met455Arg missense variant in the maternal allele and a 2.3 kb deletion of intron 3 of the paternal allele. Both variants were identified as variants of uncertain significance. However, given the clinical picture, MRI brain findings, resolution of symptoms with empiric biotin and thiamine supplementation, and biallelic SLC19A3 variants of unknown significance, the patient most likely suffers from BTBGD. Patient continues to show sustained developmental progress on biotin and thiamine supplementation.

Conclusion: This case highlights the fact that genetic testing remains a vital but improvable tool for the diagnosis of BTBGD. As of yet, genetic testing and diagnosis of BTBGD continues to be limited by the knowledge of which SLC19A3 variants are established to be pathogenic variants. Thus, further research is required to study other SCL19A3 variants of unknown significance to further improve genetic testing and diagnosis of BTBGD in the future.

Abstract Image

Abstract Image

生物素-硫胺素反应性基底神经节病1例报告。
生物素-硫胺素反应性基底神经节病(BTBGD)是一种罕见的常染色体隐性神经代谢疾病,其表型特征多样且易变,因此诊断具有挑战性。然而,及时用硫胺素和生物素治疗可以有效地控制病情。诊断依赖于SLC19A3基因双等位致病变异的鉴定。本病例报告描述了SLC19A3基因中两个不确定意义的新变异,它们可能与BTBGD的表型表现有关。病例介绍:我们的病例是一个7个月大的女婴,她表现出3周的易怒史,行为改变,拒绝新引入的固体食物。症状开始于上呼吸道感染,随后是嗜睡、虚弱和异常运动。患者因广泛的鉴别诊断被送入儿科病房。广泛的实验室评估显示乳酸性酸中毒。脑MRI显示对称的限制扩散影响双侧基底节区、丘脑和皮质区。全基因组测序鉴定出SLC19A3的双等位基因变异:母系等位基因c.1364T>G . p.Met455Arg错义变异,父系等位基因内含子3缺失2.3 kb。这两种变体都被确定为不确定意义的变体。然而,考虑到临床表现、MRI脑部发现、补足生物素和硫胺素后症状的缓解,以及意义未知的双等位基因SLC19A3变异,该患者极有可能患有BTBGD。患者在补充生物素和硫胺素后继续表现出持续的发育进展。结论:该病例强调了基因检测仍然是诊断BTBGD的重要但可改进的工具。到目前为止,BTBGD的基因检测和诊断仍然受到SLC19A3变异被确定为致病变异的知识的限制。因此,未来需要进一步研究其他意义未知的SCL19A3变异,以进一步提高BTBGD的基因检测和诊断水平。
本文章由计算机程序翻译,如有差异,请以英文原文为准。
求助全文
约1分钟内获得全文 求助全文
来源期刊
Case Reports in Neurology
Case Reports in Neurology Medicine-Neurology (clinical)
CiteScore
1.50
自引率
0.00%
发文量
67
审稿时长
14 weeks
期刊介绍: This new peer-reviewed online-only journal publishes original case reports covering the entire spectrum of neurology. Clinicians and researchers are given a tool to disseminate their personal experience to a wider public as well as to review interesting cases encountered by colleagues all over the world. To complement the contributions supplementary material is welcomed. The reports are searchable according to the key words supplied by the authors; it will thus be possible to search across the entire growing collection of case reports with universally used terms, further facilitating the retrieval of specific information. Following the open access principle, the entire contents can be retrieved at no charge, guaranteeing easy access to this valuable source of anecdotal information at all times.
×
引用
GB/T 7714-2015
复制
MLA
复制
APA
复制
导出至
BibTeX EndNote RefMan NoteFirst NoteExpress
×
提示
您的信息不完整,为了账户安全,请先补充。
现在去补充
×
提示
您因"违规操作"
具体请查看互助需知
我知道了
×
提示
确定
请完成安全验证×
copy
已复制链接
快去分享给好友吧!
我知道了
右上角分享
点击右上角分享
0
联系我们:info@booksci.cn Book学术提供免费学术资源搜索服务,方便国内外学者检索中英文文献。致力于提供最便捷和优质的服务体验。 Copyright © 2023 布克学术 All rights reserved.
京ICP备2023020795号-1
ghs 京公网安备 11010802042870号
Book学术文献互助
Book学术文献互助群
群 号:604180095
Book学术官方微信