Diabetic Striatopathy (Hyperglycemic Hemichorea-Hemiballismus Syndrome) in a Young Patient with Type 1 Diabetes Mellitus in Dar es Salaam, Tanzania: A Case Report.

IF 0.6 Q4 CLINICAL NEUROLOGY
Case Reports in Neurology Pub Date : 2024-11-25 eCollection Date: 2024-01-01 DOI:10.1159/000542452
Basil Tumaini, Thom Pius, Mahmoud Abeid, Lazaro Lewale, Kigocha Okeng'o, Ewaldo Komba, Muhammad Bakari
{"title":"Diabetic Striatopathy (Hyperglycemic Hemichorea-Hemiballismus Syndrome) in a Young Patient with Type 1 Diabetes Mellitus in Dar es Salaam, Tanzania: A Case Report.","authors":"Basil Tumaini, Thom Pius, Mahmoud Abeid, Lazaro Lewale, Kigocha Okeng'o, Ewaldo Komba, Muhammad Bakari","doi":"10.1159/000542452","DOIUrl":null,"url":null,"abstract":"<p><strong>Introduction: </strong>Diabetic striatopathy, or nonketotic hyperglycemic hemichorea-hemiballismus syndrome, is a rare movement disorder linked to poorly controlled diabetes mellitus. It predominantly affects older women with type 2 diabetes mellitus and presents with characteristic basal ganglia abnormalities on computed tomography (CT) and magnetic resonance imaging (MRI). Even rarer is the presentation in a young patient, which may pose diagnostic and management challenges.</p><p><strong>Case presentation: </strong>We report a 17-year-old male with poorly controlled type 1 diabetes mellitus presenting with left-sided hemichorea-hemiballismus of acute onset associated with hyperglycemia without ketoacidosis. Brain imaging revealed increased attenuation in the right caudate and putamen on CT and hyperintensity on T1-weighted MRI, consistent with diabetic striatopathy. The abnormal movements abated after 1 month through dietary counseling, increased insulin dosage, and anti-chorea therapy.</p><p><strong>Conclusion: </strong>Diabetic striatopathy may occur in young patients with type 1 diabetes mellitus. In resource-limited settings, its management can be challenging. There is a need for increased awareness among physicians of this potentially reversible condition, especially when seeing atypical patient populations. Strict glycemic control is an essential part of treatment.</p>","PeriodicalId":9639,"journal":{"name":"Case Reports in Neurology","volume":"16 1","pages":"304-309"},"PeriodicalIF":0.6000,"publicationDate":"2024-11-25","publicationTypes":"Journal Article","fieldsOfStudy":null,"isOpenAccess":false,"openAccessPdf":"https://www.ncbi.nlm.nih.gov/pmc/articles/PMC11644093/pdf/","citationCount":"0","resultStr":null,"platform":"Semanticscholar","paperid":null,"PeriodicalName":"Case Reports in Neurology","FirstCategoryId":"1085","ListUrlMain":"https://doi.org/10.1159/000542452","RegionNum":0,"RegionCategory":null,"ArticlePicture":[],"TitleCN":null,"AbstractTextCN":null,"PMCID":null,"EPubDate":"2024/1/1 0:00:00","PubModel":"eCollection","JCR":"Q4","JCRName":"CLINICAL NEUROLOGY","Score":null,"Total":0}
引用次数: 0

Abstract

Introduction: Diabetic striatopathy, or nonketotic hyperglycemic hemichorea-hemiballismus syndrome, is a rare movement disorder linked to poorly controlled diabetes mellitus. It predominantly affects older women with type 2 diabetes mellitus and presents with characteristic basal ganglia abnormalities on computed tomography (CT) and magnetic resonance imaging (MRI). Even rarer is the presentation in a young patient, which may pose diagnostic and management challenges.

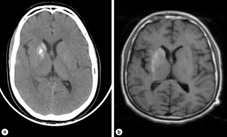
Case presentation: We report a 17-year-old male with poorly controlled type 1 diabetes mellitus presenting with left-sided hemichorea-hemiballismus of acute onset associated with hyperglycemia without ketoacidosis. Brain imaging revealed increased attenuation in the right caudate and putamen on CT and hyperintensity on T1-weighted MRI, consistent with diabetic striatopathy. The abnormal movements abated after 1 month through dietary counseling, increased insulin dosage, and anti-chorea therapy.

Conclusion: Diabetic striatopathy may occur in young patients with type 1 diabetes mellitus. In resource-limited settings, its management can be challenging. There is a need for increased awareness among physicians of this potentially reversible condition, especially when seeing atypical patient populations. Strict glycemic control is an essential part of treatment.

Abstract Image

坦桑尼亚达累斯萨拉姆1例年轻1型糖尿病患者的糖尿病纹状体病(高血糖性贫血-偏瘫综合征):1例报告。
简介:糖尿病纹状体病,或非酮症高血糖出血-偏瘫综合征,是一种罕见的运动障碍,与控制不良的糖尿病有关。它主要影响2型糖尿病的老年妇女,在计算机断层扫描(CT)和磁共振成像(MRI)上表现为特征性的基底神经节异常。更罕见的是年轻患者的表现,这可能会给诊断和管理带来挑战。病例介绍:我们报告一名17岁男性1型糖尿病控制不佳,表现为急性发作伴有高血糖的左侧出血-半身不全,无酮症酸中毒。脑成像显示CT显示右侧尾状核和壳核衰减增加,t1加权MRI显示高强度,与糖尿病纹状体病一致。1个月后,通过饮食咨询、增加胰岛素剂量和抗舞蹈病治疗,异常运动减轻。结论:糖尿病纹状体病可发生于年轻的1型糖尿病患者。在资源有限的情况下,其管理可能具有挑战性。有必要提高医生对这种潜在可逆性疾病的认识,特别是在看到非典型患者群体时。严格控制血糖是治疗的重要组成部分。
本文章由计算机程序翻译,如有差异,请以英文原文为准。
求助全文
约1分钟内获得全文 求助全文
来源期刊
Case Reports in Neurology
Case Reports in Neurology Medicine-Neurology (clinical)
CiteScore
1.50
自引率
0.00%
发文量
67
审稿时长
14 weeks
期刊介绍: This new peer-reviewed online-only journal publishes original case reports covering the entire spectrum of neurology. Clinicians and researchers are given a tool to disseminate their personal experience to a wider public as well as to review interesting cases encountered by colleagues all over the world. To complement the contributions supplementary material is welcomed. The reports are searchable according to the key words supplied by the authors; it will thus be possible to search across the entire growing collection of case reports with universally used terms, further facilitating the retrieval of specific information. Following the open access principle, the entire contents can be retrieved at no charge, guaranteeing easy access to this valuable source of anecdotal information at all times.
×
引用
GB/T 7714-2015
复制
MLA
复制
APA
复制
导出至
BibTeX EndNote RefMan NoteFirst NoteExpress
×
提示
您的信息不完整,为了账户安全,请先补充。
现在去补充
×
提示
您因"违规操作"
具体请查看互助需知
我知道了
×
提示
确定
请完成安全验证×
copy
已复制链接
快去分享给好友吧!
我知道了
右上角分享
点击右上角分享
0
联系我们:info@booksci.cn Book学术提供免费学术资源搜索服务,方便国内外学者检索中英文文献。致力于提供最便捷和优质的服务体验。 Copyright © 2023 布克学术 All rights reserved.
京ICP备2023020795号-1
ghs 京公网安备 11010802042870号
Book学术文献互助
Book学术文献互助群
群 号:604180095
Book学术官方微信