Development of Macular Atrophy after Macular Hole Surgery in an Eye with Retinitis Pigmentosa.

IF 0.6 Q4 OPHTHALMOLOGY
Case Reports in Ophthalmology Pub Date : 2025-01-17 eCollection Date: 2025-01-01 DOI:10.1159/000543599
Yuki Goto, Kazuki Kuniyoshi, Kensuke Goto, Tomoyasu Kayazawa, Taro Kominami, Fukutaro Mano, Masuo Sakamoto, Chiharu Iwahashi, Shunji Kusaka
{"title":"Development of Macular Atrophy after Macular Hole Surgery in an Eye with Retinitis Pigmentosa.","authors":"Yuki Goto, Kazuki Kuniyoshi, Kensuke Goto, Tomoyasu Kayazawa, Taro Kominami, Fukutaro Mano, Masuo Sakamoto, Chiharu Iwahashi, Shunji Kusaka","doi":"10.1159/000543599","DOIUrl":null,"url":null,"abstract":"<p><strong>Introduction: </strong>Macular hole is a rare complication in patients with retinitis pigmentosa that significantly reduces visual acuity. Although vitreous surgery for macular holes generally yields favorable outcomes, postoperative macular atrophy has been reported. We report the second case of retinitis pigmentosa in a patient who developed a 13-year progressive macular atrophy after macular hole surgery.</p><p><strong>Case presentation: </strong>A 64-year-old Japanese woman, who had been diagnosed with retinitis pigmentosa at 52 years of age, presented to our hospital with blurred vision in her left eye. Phacovitrectomy of the left eye was performed after a full-thickness macular hole was revealed by optical coherence tomography. We stained the internal limiting membrane during surgery using 0.05% indocyanine green and peeled it around the macular hole. Nevertheless, slight atrophy of the retinal pigment epithelium appeared in the left macula 17 days after surgery. The macular hole closed 1 year after surgery, and the macular atrophy gradually became more apparent and enlarged. Thirteen years later, atrophy had expanded to 2.5-disc diameters, and the left decimal best-corrected visual acuity was 0.1; no macular degeneration appeared in the right eye. Genetic examination revealed compound heterozygous variants in the <i>EYS</i> gene.</p><p><strong>Conclusion: </strong>Macular atrophy can develop after dye-assisted macular hole surgery for patients with retinitis pigmentosa. Potential risk factors for the development of postoperative macular atrophy include dye toxicity, light toxicity, surgical intervention in the macula, postoperative inflammation, and genotype. However, the exact cause of atrophy remains uncertain.</p>","PeriodicalId":9635,"journal":{"name":"Case Reports in Ophthalmology","volume":"16 1","pages":"107-113"},"PeriodicalIF":0.6000,"publicationDate":"2025-01-17","publicationTypes":"Journal Article","fieldsOfStudy":null,"isOpenAccess":false,"openAccessPdf":"https://www.ncbi.nlm.nih.gov/pmc/articles/PMC11842103/pdf/","citationCount":"0","resultStr":null,"platform":"Semanticscholar","paperid":null,"PeriodicalName":"Case Reports in Ophthalmology","FirstCategoryId":"1085","ListUrlMain":"https://doi.org/10.1159/000543599","RegionNum":0,"RegionCategory":null,"ArticlePicture":[],"TitleCN":null,"AbstractTextCN":null,"PMCID":null,"EPubDate":"2025/1/1 0:00:00","PubModel":"eCollection","JCR":"Q4","JCRName":"OPHTHALMOLOGY","Score":null,"Total":0}
引用次数: 0

Abstract

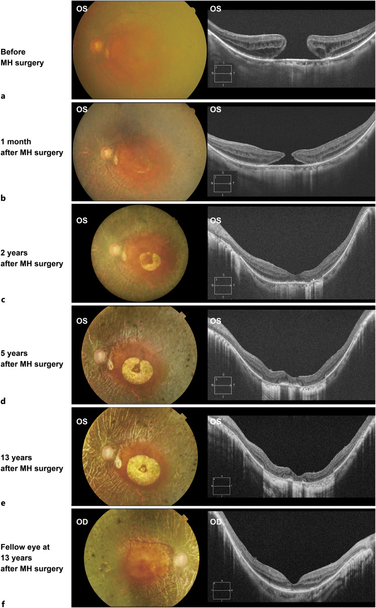
Introduction: Macular hole is a rare complication in patients with retinitis pigmentosa that significantly reduces visual acuity. Although vitreous surgery for macular holes generally yields favorable outcomes, postoperative macular atrophy has been reported. We report the second case of retinitis pigmentosa in a patient who developed a 13-year progressive macular atrophy after macular hole surgery.

Case presentation: A 64-year-old Japanese woman, who had been diagnosed with retinitis pigmentosa at 52 years of age, presented to our hospital with blurred vision in her left eye. Phacovitrectomy of the left eye was performed after a full-thickness macular hole was revealed by optical coherence tomography. We stained the internal limiting membrane during surgery using 0.05% indocyanine green and peeled it around the macular hole. Nevertheless, slight atrophy of the retinal pigment epithelium appeared in the left macula 17 days after surgery. The macular hole closed 1 year after surgery, and the macular atrophy gradually became more apparent and enlarged. Thirteen years later, atrophy had expanded to 2.5-disc diameters, and the left decimal best-corrected visual acuity was 0.1; no macular degeneration appeared in the right eye. Genetic examination revealed compound heterozygous variants in the EYS gene.

Conclusion: Macular atrophy can develop after dye-assisted macular hole surgery for patients with retinitis pigmentosa. Potential risk factors for the development of postoperative macular atrophy include dye toxicity, light toxicity, surgical intervention in the macula, postoperative inflammation, and genotype. However, the exact cause of atrophy remains uncertain.

Abstract Image

色素性视网膜炎的黄斑孔手术后黄斑萎缩的发展。
摘要黄斑裂孔是色素性视网膜炎患者中一种罕见的并发症,可显著降低视力。虽然玻璃体手术治疗黄斑裂孔通常有良好的结果,但术后黄斑萎缩也有报道。我们报告第二例色素性视网膜炎患者在黄斑孔手术后发展为13年进行性黄斑萎缩。病例介绍:一名64岁日本女性,52岁时被诊断为色素性视网膜炎,以左眼视力模糊就诊。在光学相干断层扫描发现全层黄斑空洞后,对左眼进行了晶状体切除术。术中用0.05%吲哚菁绿染色内限制膜,并在黄斑孔周围剥离。然而,术后17天左侧黄斑出现视网膜色素上皮轻微萎缩。术后1年黄斑孔闭合,黄斑萎缩逐渐明显扩大。13年后,萎缩扩大到2.5个椎间盘直径,左十进制最佳矫正视力为0.1;右眼未见黄斑变性。遗传检查发现EYS基因存在复合杂合变异。结论:色素性视网膜炎患者染料辅助黄斑孔手术后可发生黄斑萎缩。术后黄斑萎缩发生的潜在危险因素包括染料毒性、光毒性、黄斑手术干预、术后炎症和基因型。然而,萎缩的确切原因仍不确定。
本文章由计算机程序翻译,如有差异,请以英文原文为准。
求助全文
约1分钟内获得全文 求助全文
来源期刊
CiteScore
0.90
自引率
0.00%
发文量
129
审稿时长
12 weeks
期刊介绍: This peer-reviewed online-only journal publishes original case reports covering the entire spectrum of ophthalmology, including prevention, diagnosis, treatment, toxicities of therapy, supportive care, quality-of-life, and survivorship issues. The submission of negative results is strongly encouraged. The journal will also accept case reports dealing with the use of novel technologies, both in the arena of diagnosis and treatment. Supplementary material is welcomed. The intent of the journal is to provide clinicians and researchers with a tool to disseminate their personal experiences to a wider public as well as to review interesting cases encountered by colleagues all over the world. Universally used terms can be searched across the entire growing collection of case reports, further facilitating the retrieval of specific information. Following the open access principle, the entire contents can be retrieved at no charge, guaranteeing easy access to this valuable source of anecdotal information at all times.
×
引用
GB/T 7714-2015
复制
MLA
复制
APA
复制
导出至
BibTeX EndNote RefMan NoteFirst NoteExpress
×
提示
您的信息不完整,为了账户安全,请先补充。
现在去补充
×
提示
您因"违规操作"
具体请查看互助需知
我知道了
×
提示
确定
请完成安全验证×
copy
已复制链接
快去分享给好友吧!
我知道了
右上角分享
点击右上角分享
0
联系我们:info@booksci.cn Book学术提供免费学术资源搜索服务,方便国内外学者检索中英文文献。致力于提供最便捷和优质的服务体验。 Copyright © 2023 布克学术 All rights reserved.
京ICP备2023020795号-1
ghs 京公网安备 11010802042870号
Book学术文献互助
Book学术文献互助群
群 号:604180095
Book学术官方微信