A Case of Concomitant Acute Zonal Occult Outer Retinopathy and Secondary Nonparaneoplastic Autoimmune Retinopathy.

IF 0.6 Q4 OPHTHALMOLOGY
Case Reports in Ophthalmology Pub Date : 2025-01-16 eCollection Date: 2025-01-01 DOI:10.1159/000543577
Shawn Khan, Khushi Saigal, Jillene Moxam, Arash Maleki
{"title":"A Case of Concomitant Acute Zonal Occult Outer Retinopathy and Secondary Nonparaneoplastic Autoimmune Retinopathy.","authors":"Shawn Khan, Khushi Saigal, Jillene Moxam, Arash Maleki","doi":"10.1159/000543577","DOIUrl":null,"url":null,"abstract":"<p><strong>Introduction: </strong>Acute zonal occult outer retinopathy (AZOOR) is a rare inflammatory retinal disease with rapid outer retinal function loss, photopsias, unremarkable fundus findings, and electroretinography abnormalities. AZOOR diagnosis can be challenging due to its overlap with other retinal conditions, such as acute idiopathic blind spot enlargement syndrome and autoimmune retinopathies (AIRs). Multimodal imaging, including fundus autofluorescence and optical coherence tomography, has improved detection, revealing progressive outer retinal damage. Although the etiology of AZOOR remains uncertain, autoimmune mechanisms and viral associations have been proposed. Recent studies have identified anti-retinal antibodies, complicating differentiation from other AIRs.</p><p><strong>Case presentation: </strong>A 63-year-old male presented with photopsias, floaters, and worsening vision in his left eye. He had a prior diagnosis of AIR with serum antibodies against enolase, arrestin, and heat shock protein 27 (HSP27). Despite corticosteroid therapy, his visual acuity worsened from 20/20 to 20/60. Fundus examination showed subtle changes, and multimodal imaging revealed outer retinal damage consistent with AZOOR. He was started on mycophenolate mofetil, cyclosporine, and intravenous immunoglobulin. Over a year of follow-up, his vision improved to 20/25, and imaging showed stabilization of retinal damage.</p><p><strong>Conclusion: </strong>This case report highlights AZOOR can be associated with secondary np-AIR. Multimodal imaging, electrophysiologic testing of retina and retinal pigment epithelial, and anti-retinal antibody may be helpful for diagnosis of these patients. A combination of conventional immunomodulatory therapy and IVIg can help with controlling AZOOR and secondary np-AIR.</p>","PeriodicalId":9635,"journal":{"name":"Case Reports in Ophthalmology","volume":"16 1","pages":"124-132"},"PeriodicalIF":0.6000,"publicationDate":"2025-01-16","publicationTypes":"Journal Article","fieldsOfStudy":null,"isOpenAccess":false,"openAccessPdf":"https://www.ncbi.nlm.nih.gov/pmc/articles/PMC11842096/pdf/","citationCount":"0","resultStr":null,"platform":"Semanticscholar","paperid":null,"PeriodicalName":"Case Reports in Ophthalmology","FirstCategoryId":"1085","ListUrlMain":"https://doi.org/10.1159/000543577","RegionNum":0,"RegionCategory":null,"ArticlePicture":[],"TitleCN":null,"AbstractTextCN":null,"PMCID":null,"EPubDate":"2025/1/1 0:00:00","PubModel":"eCollection","JCR":"Q4","JCRName":"OPHTHALMOLOGY","Score":null,"Total":0}
引用次数: 0

Abstract

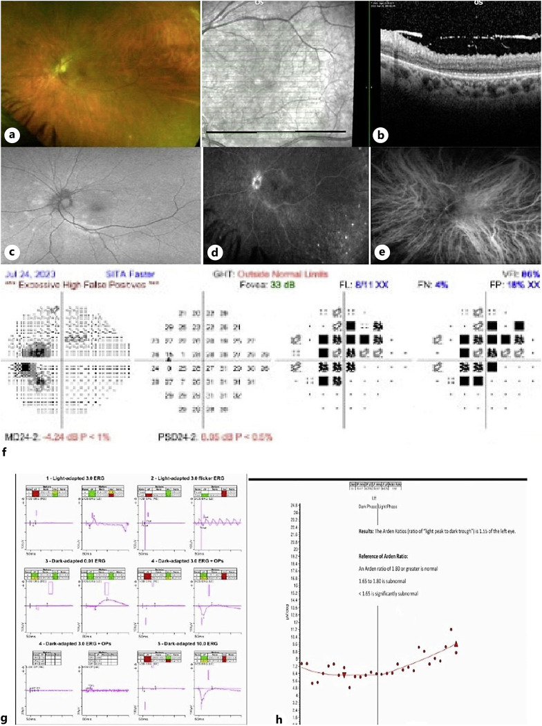
Introduction: Acute zonal occult outer retinopathy (AZOOR) is a rare inflammatory retinal disease with rapid outer retinal function loss, photopsias, unremarkable fundus findings, and electroretinography abnormalities. AZOOR diagnosis can be challenging due to its overlap with other retinal conditions, such as acute idiopathic blind spot enlargement syndrome and autoimmune retinopathies (AIRs). Multimodal imaging, including fundus autofluorescence and optical coherence tomography, has improved detection, revealing progressive outer retinal damage. Although the etiology of AZOOR remains uncertain, autoimmune mechanisms and viral associations have been proposed. Recent studies have identified anti-retinal antibodies, complicating differentiation from other AIRs.

Case presentation: A 63-year-old male presented with photopsias, floaters, and worsening vision in his left eye. He had a prior diagnosis of AIR with serum antibodies against enolase, arrestin, and heat shock protein 27 (HSP27). Despite corticosteroid therapy, his visual acuity worsened from 20/20 to 20/60. Fundus examination showed subtle changes, and multimodal imaging revealed outer retinal damage consistent with AZOOR. He was started on mycophenolate mofetil, cyclosporine, and intravenous immunoglobulin. Over a year of follow-up, his vision improved to 20/25, and imaging showed stabilization of retinal damage.

Conclusion: This case report highlights AZOOR can be associated with secondary np-AIR. Multimodal imaging, electrophysiologic testing of retina and retinal pigment epithelial, and anti-retinal antibody may be helpful for diagnosis of these patients. A combination of conventional immunomodulatory therapy and IVIg can help with controlling AZOOR and secondary np-AIR.

Abstract Image

Abstract Image

急性区域性隐蔽性外视网膜病变伴发非副肿瘤性自身免疫性视网膜病变1例。
简介:急性带状隐匿性外视网膜病变(AZOOR)是一种罕见的炎症性视网膜疾病,其表现为视网膜外功能迅速丧失,光减退,眼底表现不明显,视网膜电图异常。AZOOR的诊断可能具有挑战性,因为它与其他视网膜疾病重叠,如急性特发性盲点扩大综合征和自身免疫性视网膜病变(AIRs)。多模态成像,包括眼底自身荧光和光学相干断层扫描,改善了检测,显示进行性视网膜外损伤。虽然AZOOR的病因尚不清楚,但已提出了自身免疫机制和病毒关联。最近的研究发现了抗视网膜抗体,使与其他air的分化复杂化。病例介绍:一名63岁男性,因左眼失光、飞蚊症及视力恶化而就诊。既往诊断为AIR,血清中有烯醇化酶、抑制素和热休克蛋白27 (HSP27)抗体。尽管接受了皮质类固醇治疗,他的视力还是从20/20恶化到20/60。眼底检查显示细微变化,多模态成像显示视网膜外损伤符合AZOOR。他开始使用霉酚酸酯、环孢素和静脉注射免疫球蛋白。经过一年的随访,他的视力改善到20/25,成像显示视网膜损伤稳定。结论:本病例报告强调AZOOR可能与继发性np-AIR相关。多模态成像、视网膜电生理及视网膜色素上皮检测、抗视网膜抗体检测可能有助于诊断。常规免疫调节治疗和IVIg的结合可以帮助控制AZOOR和继发性np-AIR。
本文章由计算机程序翻译,如有差异,请以英文原文为准。
求助全文
约1分钟内获得全文 求助全文
来源期刊
CiteScore
0.90
自引率
0.00%
发文量
129
审稿时长
12 weeks
期刊介绍: This peer-reviewed online-only journal publishes original case reports covering the entire spectrum of ophthalmology, including prevention, diagnosis, treatment, toxicities of therapy, supportive care, quality-of-life, and survivorship issues. The submission of negative results is strongly encouraged. The journal will also accept case reports dealing with the use of novel technologies, both in the arena of diagnosis and treatment. Supplementary material is welcomed. The intent of the journal is to provide clinicians and researchers with a tool to disseminate their personal experiences to a wider public as well as to review interesting cases encountered by colleagues all over the world. Universally used terms can be searched across the entire growing collection of case reports, further facilitating the retrieval of specific information. Following the open access principle, the entire contents can be retrieved at no charge, guaranteeing easy access to this valuable source of anecdotal information at all times.
×
引用
GB/T 7714-2015
复制
MLA
复制
APA
复制
导出至
BibTeX EndNote RefMan NoteFirst NoteExpress
×
提示
您的信息不完整,为了账户安全,请先补充。
现在去补充
×
提示
您因"违规操作"
具体请查看互助需知
我知道了
×
提示
确定
请完成安全验证×
copy
已复制链接
快去分享给好友吧!
我知道了
右上角分享
点击右上角分享
0
联系我们:info@booksci.cn Book学术提供免费学术资源搜索服务,方便国内外学者检索中英文文献。致力于提供最便捷和优质的服务体验。 Copyright © 2023 布克学术 All rights reserved.
京ICP备2023020795号-1
ghs 京公网安备 11010802042870号
Book学术文献互助
Book学术文献互助群
群 号:604180095
Book学术官方微信