Conservative Management of Intraocular Graphite Foreign Body: A Case Report and Literature Review.

IF 0.6 Q4 OPHTHALMOLOGY
Case Reports in Ophthalmology Pub Date : 2024-11-15 eCollection Date: 2024-01-01 DOI:10.1159/000542584
Mohamed Shadi Nayeb, Lina Okar, Mahran Zeno, Hashem Abu Serhan
{"title":"Conservative Management of Intraocular Graphite Foreign Body: A Case Report and Literature Review.","authors":"Mohamed Shadi Nayeb, Lina Okar, Mahran Zeno, Hashem Abu Serhan","doi":"10.1159/000542584","DOIUrl":null,"url":null,"abstract":"<p><strong>Introduction: </strong>Retained intraocular graphite foreign bodies are uncommon. Although they are generally inert, they have been reported to cause severe inflammatory reactions and progressive damage to intraocular structures.</p><p><strong>Case presentation: </strong>We report a case of a 7-year-old girl with a retained intraocular graphite pencil lead foreign body in the vitreous treated conservatively for more than 5 years without any consequences.</p><p><strong>Conclusion: </strong>Graphite foreign bodies may be retained in the eye posterior segment without causing any inflammation or damage to the intraocular structures.</p>","PeriodicalId":9635,"journal":{"name":"Case Reports in Ophthalmology","volume":"15 1","pages":"846-851"},"PeriodicalIF":0.6000,"publicationDate":"2024-11-15","publicationTypes":"Journal Article","fieldsOfStudy":null,"isOpenAccess":false,"openAccessPdf":"https://www.ncbi.nlm.nih.gov/pmc/articles/PMC11842025/pdf/","citationCount":"0","resultStr":null,"platform":"Semanticscholar","paperid":null,"PeriodicalName":"Case Reports in Ophthalmology","FirstCategoryId":"1085","ListUrlMain":"https://doi.org/10.1159/000542584","RegionNum":0,"RegionCategory":null,"ArticlePicture":[],"TitleCN":null,"AbstractTextCN":null,"PMCID":null,"EPubDate":"2024/1/1 0:00:00","PubModel":"eCollection","JCR":"Q4","JCRName":"OPHTHALMOLOGY","Score":null,"Total":0}
引用次数: 0

Abstract

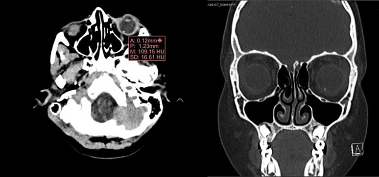
Introduction: Retained intraocular graphite foreign bodies are uncommon. Although they are generally inert, they have been reported to cause severe inflammatory reactions and progressive damage to intraocular structures.

Case presentation: We report a case of a 7-year-old girl with a retained intraocular graphite pencil lead foreign body in the vitreous treated conservatively for more than 5 years without any consequences.

Conclusion: Graphite foreign bodies may be retained in the eye posterior segment without causing any inflammation or damage to the intraocular structures.

Abstract Image

Abstract Image

Abstract Image

眼内石墨异物保守治疗1例并文献复习。
眼内石墨异物不常见。虽然它们通常是惰性的,但有报道称它们会引起严重的炎症反应和对眼内结构的进行性损害。病例介绍:我们报告一例7岁女童,玻璃体内遗留石墨铅笔芯异物保守治疗5年以上,无任何不良后果。结论:石墨异物可能残留在眼后段,但不会引起眼内结构的炎症和损伤。
本文章由计算机程序翻译,如有差异,请以英文原文为准。
求助全文
约1分钟内获得全文 求助全文
来源期刊
CiteScore
0.90
自引率
0.00%
发文量
129
审稿时长
12 weeks
期刊介绍: This peer-reviewed online-only journal publishes original case reports covering the entire spectrum of ophthalmology, including prevention, diagnosis, treatment, toxicities of therapy, supportive care, quality-of-life, and survivorship issues. The submission of negative results is strongly encouraged. The journal will also accept case reports dealing with the use of novel technologies, both in the arena of diagnosis and treatment. Supplementary material is welcomed. The intent of the journal is to provide clinicians and researchers with a tool to disseminate their personal experiences to a wider public as well as to review interesting cases encountered by colleagues all over the world. Universally used terms can be searched across the entire growing collection of case reports, further facilitating the retrieval of specific information. Following the open access principle, the entire contents can be retrieved at no charge, guaranteeing easy access to this valuable source of anecdotal information at all times.
×
引用
GB/T 7714-2015
复制
MLA
复制
APA
复制
导出至
BibTeX EndNote RefMan NoteFirst NoteExpress
×
提示
您的信息不完整,为了账户安全,请先补充。
现在去补充
×
提示
您因"违规操作"
具体请查看互助需知
我知道了
×
提示
确定
请完成安全验证×
copy
已复制链接
快去分享给好友吧!
我知道了
右上角分享
点击右上角分享
0
联系我们:info@booksci.cn Book学术提供免费学术资源搜索服务,方便国内外学者检索中英文文献。致力于提供最便捷和优质的服务体验。 Copyright © 2023 布克学术 All rights reserved.
京ICP备2023020795号-1
ghs 京公网安备 11010802042870号
Book学术文献互助
Book学术文献互助群
群 号:604180095
Book学术官方微信