Rare Encounter: A Case Report of Hepatic Perivascular Epithelioid Cell Tumor - An Uncommon Mesenchymal Tumor in the Liver.

IF 0.6 Q4 GASTROENTEROLOGY & HEPATOLOGY
Case Reports in Gastroenterology Pub Date : 2025-01-24 eCollection Date: 2025-01-01 DOI:10.1159/000543018
Diogo Paula, Maria João Amaral, Joana Madeira, João Simões, André Lázaro, Nuno Silva, José Guilherme Tralhão
{"title":"Rare Encounter: A Case Report of Hepatic Perivascular Epithelioid Cell Tumor - An Uncommon Mesenchymal Tumor in the Liver.","authors":"Diogo Paula, Maria João Amaral, Joana Madeira, João Simões, André Lázaro, Nuno Silva, José Guilherme Tralhão","doi":"10.1159/000543018","DOIUrl":null,"url":null,"abstract":"<p><strong>Introduction: </strong>Perivascular epithelioid cell tumor (PEComa) is a rare neoplastic mesenchymal tumor, more frequently found in the uterus, although it can occur in different organs. Hepatic PEComa is extremely rare, with only a few cases described in the literature.</p><p><strong>Case presentation: </strong>We present a case report of a 33-year-old female patient with a history of macroprolactinoma. She was initially referred to our Department due to a 9-mm hepatic nodule incidentally diagnosed in an abdominal ultrasound in 2018. She was asymptomatic. Follow-up ultrasound showed a growth from 9 mm to 16 mm in 2019 and 30 mm in a liver magnetic resonance imaging (MRI) scan in 2022. The case was discussed in a multidisciplinary team meeting, and since malignant transformation or hepatocellular carcinoma could not be ruled out, the decision was to undergo hepatic resection. An open hepatic subsegmentectomy of segment 5 was performed, with uneventful postoperative period. The definitive diagnosis was hepatic PEComa.</p><p><strong>Conclusion: </strong>Hepatic PEComas are rare liver tumors, and their preoperative diagnosis is challenging due to the lack of specific radiological features. In most cases, the diagnosis is only confirmed through histopathological and immunohistochemical studies. Resection of the lesion appears to be the curative treatment; however, due to the rarity of the condition, there are no studies comparing surgical treatment with other options. In our case, the hypervascular lesion was initially misdiagnosed as an adenoma. PEComas should be considered as a differential diagnosis in liver nodules with well-defined margins and increased uptake in the arterial phase in computed tomography or MRI scan. Surgical resection was curative, and no recurrence was detected during the patient's follow-up.</p>","PeriodicalId":9614,"journal":{"name":"Case Reports in Gastroenterology","volume":"19 1","pages":"43-51"},"PeriodicalIF":0.6000,"publicationDate":"2025-01-24","publicationTypes":"Journal Article","fieldsOfStudy":null,"isOpenAccess":false,"openAccessPdf":"https://www.ncbi.nlm.nih.gov/pmc/articles/PMC11759453/pdf/","citationCount":"0","resultStr":null,"platform":"Semanticscholar","paperid":null,"PeriodicalName":"Case Reports in Gastroenterology","FirstCategoryId":"1085","ListUrlMain":"https://doi.org/10.1159/000543018","RegionNum":0,"RegionCategory":null,"ArticlePicture":[],"TitleCN":null,"AbstractTextCN":null,"PMCID":null,"EPubDate":"2025/1/1 0:00:00","PubModel":"eCollection","JCR":"Q4","JCRName":"GASTROENTEROLOGY & HEPATOLOGY","Score":null,"Total":0}
引用次数: 0

Abstract

Introduction: Perivascular epithelioid cell tumor (PEComa) is a rare neoplastic mesenchymal tumor, more frequently found in the uterus, although it can occur in different organs. Hepatic PEComa is extremely rare, with only a few cases described in the literature.

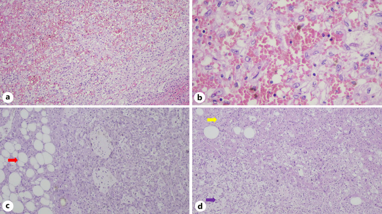
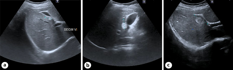
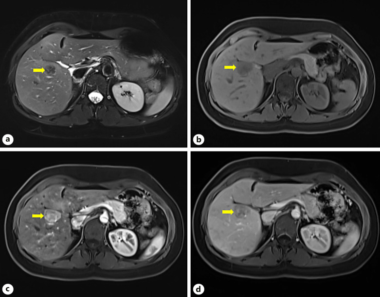
Case presentation: We present a case report of a 33-year-old female patient with a history of macroprolactinoma. She was initially referred to our Department due to a 9-mm hepatic nodule incidentally diagnosed in an abdominal ultrasound in 2018. She was asymptomatic. Follow-up ultrasound showed a growth from 9 mm to 16 mm in 2019 and 30 mm in a liver magnetic resonance imaging (MRI) scan in 2022. The case was discussed in a multidisciplinary team meeting, and since malignant transformation or hepatocellular carcinoma could not be ruled out, the decision was to undergo hepatic resection. An open hepatic subsegmentectomy of segment 5 was performed, with uneventful postoperative period. The definitive diagnosis was hepatic PEComa.

Conclusion: Hepatic PEComas are rare liver tumors, and their preoperative diagnosis is challenging due to the lack of specific radiological features. In most cases, the diagnosis is only confirmed through histopathological and immunohistochemical studies. Resection of the lesion appears to be the curative treatment; however, due to the rarity of the condition, there are no studies comparing surgical treatment with other options. In our case, the hypervascular lesion was initially misdiagnosed as an adenoma. PEComas should be considered as a differential diagnosis in liver nodules with well-defined margins and increased uptake in the arterial phase in computed tomography or MRI scan. Surgical resection was curative, and no recurrence was detected during the patient's follow-up.

Abstract Image

Abstract Image

Abstract Image

罕见病例:肝脏血管周围上皮样细胞瘤1例——一种罕见的肝脏间充质肿瘤。
导言血管周围上皮样细胞瘤(PEComa)是一种罕见的间叶肿瘤,多见于子宫,但也可发生于不同器官。肝脏上皮细胞瘤极为罕见,文献中仅有几例描述:我们报告了一例 33 岁女性患者的病例,她有大泌乳素瘤病史。她最初因 2018 年一次腹部超声检查中偶然诊断出一个 9 毫米的肝结节而被转诊至我科。她没有任何症状。随访超声检查显示,该结节在2019年从9毫米增大到16毫米,在2022年的肝脏磁共振成像(MRI)扫描中增大到30毫米。多学科团队会议对该病例进行了讨论,由于无法排除恶性转化或肝细胞癌的可能性,因此决定进行肝切除术。患者接受了开腹肝5段亚段切除术,术后情况良好。最终诊断为肝脏肝癌:结论:肝PEC瘤是一种罕见的肝肿瘤,由于缺乏特异性的放射学特征,其术前诊断具有挑战性。在大多数病例中,只有通过组织病理学和免疫组化研究才能确诊。切除病灶似乎是一种根治性治疗方法,但由于该病的罕见性,目前还没有将手术治疗与其他方法进行比较的研究。在我们的病例中,高血管病变最初被误诊为腺瘤。如果肝脏结节边缘清晰,且在计算机断层扫描或核磁共振成像扫描中动脉期摄取增加,则应考虑将 PEComas 作为鉴别诊断。手术切除是治愈性的,随访期间未发现复发。
本文章由计算机程序翻译,如有差异,请以英文原文为准。
求助全文
约1分钟内获得全文 求助全文
来源期刊
Case Reports in Gastroenterology
Case Reports in Gastroenterology Medicine-Gastroenterology
CiteScore
1.10
自引率
0.00%
发文量
99
审稿时长
7 weeks
期刊介绍:
×
引用
GB/T 7714-2015
复制
MLA
复制
APA
复制
导出至
BibTeX EndNote RefMan NoteFirst NoteExpress
×
提示
您的信息不完整,为了账户安全,请先补充。
现在去补充
×
提示
您因"违规操作"
具体请查看互助需知
我知道了
×
提示
确定
请完成安全验证×
copy
已复制链接
快去分享给好友吧!
我知道了
右上角分享
点击右上角分享
0
联系我们:info@booksci.cn Book学术提供免费学术资源搜索服务,方便国内外学者检索中英文文献。致力于提供最便捷和优质的服务体验。 Copyright © 2023 布克学术 All rights reserved.
京ICP备2023020795号-1
ghs 京公网安备 11010802042870号
Book学术文献互助
Book学术文献互助群
群 号:604180095
Book学术官方微信