Diagnostic Imaging of Primary Cutaneous Osteoma of the Forehead.

IF 0.8 Q4 DERMATOLOGY
Case Reports in Dermatology Pub Date : 2024-12-11 eCollection Date: 2025-01-01 DOI:10.1159/000543125
Soma Nakaso, Nobuaki Ishii, Masataka Akimoto, Rei Ogawa
{"title":"Diagnostic Imaging of Primary Cutaneous Osteoma of the Forehead.","authors":"Soma Nakaso, Nobuaki Ishii, Masataka Akimoto, Rei Ogawa","doi":"10.1159/000543125","DOIUrl":null,"url":null,"abstract":"<p><strong>Introduction: </strong>Osteoma cutis is a rare benign cutaneous nodule characterized by ectopic bone formation in the dermis or subcutaneous tissue. While most cases of osteoma cutes are secondary to inflammation, tumors, or scars, there are rare primary cases with no apparent preceding lesion. Primary osteoma cutis can be broadly classified into two categories: those associated with metabolic abnormalities, such as pseudohypoparathyroidism and Albright's hereditary osteodystrophy, and those without such underlying conditions in a more specific sense.</p><p><strong>Case presentation: </strong>We present a case of primary osteoma cutis specifically located on the forehead in a young woman. Histopathological findings revealed a nodule of bone tissue within the dermis, along with some contiguous cartilage tissue. The patient underwent preoperative ultrasonography, computed tomography, and magnetic resonance imaging.</p><p><strong>Conclusion: </strong>We report this case because there have been no reports of primary osteoma cutis with complete preoperative imaging findings to the best of our knowledge.</p>","PeriodicalId":9619,"journal":{"name":"Case Reports in Dermatology","volume":"17 1","pages":"26-32"},"PeriodicalIF":0.8000,"publicationDate":"2024-12-11","publicationTypes":"Journal Article","fieldsOfStudy":null,"isOpenAccess":false,"openAccessPdf":"https://www.ncbi.nlm.nih.gov/pmc/articles/PMC11750170/pdf/","citationCount":"0","resultStr":null,"platform":"Semanticscholar","paperid":null,"PeriodicalName":"Case Reports in Dermatology","FirstCategoryId":"1085","ListUrlMain":"https://doi.org/10.1159/000543125","RegionNum":0,"RegionCategory":null,"ArticlePicture":[],"TitleCN":null,"AbstractTextCN":null,"PMCID":null,"EPubDate":"2025/1/1 0:00:00","PubModel":"eCollection","JCR":"Q4","JCRName":"DERMATOLOGY","Score":null,"Total":0}
引用次数: 0

Abstract

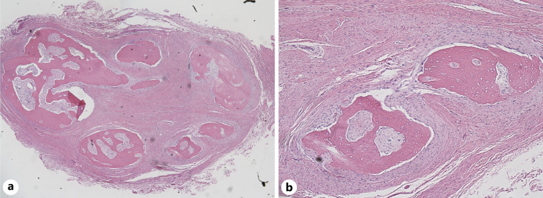
Introduction: Osteoma cutis is a rare benign cutaneous nodule characterized by ectopic bone formation in the dermis or subcutaneous tissue. While most cases of osteoma cutes are secondary to inflammation, tumors, or scars, there are rare primary cases with no apparent preceding lesion. Primary osteoma cutis can be broadly classified into two categories: those associated with metabolic abnormalities, such as pseudohypoparathyroidism and Albright's hereditary osteodystrophy, and those without such underlying conditions in a more specific sense.

Case presentation: We present a case of primary osteoma cutis specifically located on the forehead in a young woman. Histopathological findings revealed a nodule of bone tissue within the dermis, along with some contiguous cartilage tissue. The patient underwent preoperative ultrasonography, computed tomography, and magnetic resonance imaging.

Conclusion: We report this case because there have been no reports of primary osteoma cutis with complete preoperative imaging findings to the best of our knowledge.

Abstract Image

Abstract Image

Abstract Image

原发性前额皮肤骨瘤的影像学诊断。
皮肤骨瘤是一种罕见的良性皮肤结节,以真皮或皮下组织的异位骨形成为特征。虽然大多数骨瘤病例继发于炎症、肿瘤或疤痕,但也有罕见的无明显病变的原发性病例。原发性骨瘤皮肤大致可分为两类:一类与代谢异常相关,如假性甲状旁腺功能减退症和Albright遗传性骨营养不良症,另一类在更具体的意义上没有这些基础疾病。病例介绍:我们提出了一个病例原发性骨瘤皮肤特异性位于额头在一个年轻的妇女。组织病理学结果显示真皮内有骨组织结节,并伴有一些相邻的软骨组织。患者术前接受了超声检查、计算机断层扫描和磁共振成像。结论:我们报告这个病例,因为据我们所知,还没有完整的术前影像学发现的原发性骨瘤皮肤的报道。
本文章由计算机程序翻译,如有差异,请以英文原文为准。
求助全文
约1分钟内获得全文 求助全文
来源期刊
CiteScore
1.60
自引率
0.00%
发文量
57
审稿时长
9 weeks
×
引用
GB/T 7714-2015
复制
MLA
复制
APA
复制
导出至
BibTeX EndNote RefMan NoteFirst NoteExpress
×
提示
您的信息不完整,为了账户安全,请先补充。
现在去补充
×
提示
您因"违规操作"
具体请查看互助需知
我知道了
×
提示
确定
请完成安全验证×
copy
已复制链接
快去分享给好友吧!
我知道了
右上角分享
点击右上角分享
0
联系我们:info@booksci.cn Book学术提供免费学术资源搜索服务,方便国内外学者检索中英文文献。致力于提供最便捷和优质的服务体验。 Copyright © 2023 布克学术 All rights reserved.
京ICP备2023020795号-1
ghs 京公网安备 11010802042870号
Book学术文献互助
Book学术文献互助群
群 号:604180095
Book学术官方微信