Upadacitinib Was Administered as a Sequential Salvage Therapy for Acute Severe Ulcerative Colitis: A Case Report.

IF 0.6 Q4 GASTROENTEROLOGY & HEPATOLOGY
Case Reports in Gastroenterology Pub Date : 2024-12-23 eCollection Date: 2025-01-01 DOI:10.1159/000542711
David Huynh, Myat Myat Khaing, Richard Gareth Fernandes, Reuben Malloy, Lei Lin, Robert Gilmore, Nicole Walker, Emi Khoo, Jakob Begun
{"title":"Upadacitinib Was Administered as a Sequential Salvage Therapy for Acute Severe Ulcerative Colitis: A Case Report.","authors":"David Huynh, Myat Myat Khaing, Richard Gareth Fernandes, Reuben Malloy, Lei Lin, Robert Gilmore, Nicole Walker, Emi Khoo, Jakob Begun","doi":"10.1159/000542711","DOIUrl":null,"url":null,"abstract":"<p><strong>Introduction: </strong>Acute severe ulcerative colitis (ASUC) represents a medical emergency associated with high mortality and morbidity. While corticosteroids are the primary treatment, cases that are unresponsive often require rescue therapy with either infliximab or cyclosporine to reduce the rate of colectomy. Janus kinase inhibitors, such as tofacitinib and upadacitinib, are a highly efficacious therapy with rapid induction of clinical response in moderate to severe ulcerative colitis (UC). Limited data are available on its use on ASUC. We present the first case utilizing upadacitinib as sequential medical rescue therapy in ASUC as well as intestinal ultrasound as a useful tool for disease and response monitoring.</p><p><strong>Case presentation: </strong>A 69-year-old female who presented with corticosteroid-refractory ASUC partially responded to dose-intensified infliximab and finally achieved clinical remission with upadacitinib. This resulted in swift clinical remission and significant improvement in her mucosal inflammation on intestinal ultrasound.</p><p><strong>Conclusion: </strong>This successful intervention not only avoided colectomy but demonstrated sustained clinical and sonographic remission 16 weeks of post-treatment. Upadacitinib, with its rapid action and efficacy, shows promise in ASUC and should be supported by registration trials and real-world studies. Despite successful outcomes in this case, further validation and long-term data are necessary.</p>","PeriodicalId":9614,"journal":{"name":"Case Reports in Gastroenterology","volume":"19 1","pages":"1-6"},"PeriodicalIF":0.6000,"publicationDate":"2024-12-23","publicationTypes":"Journal Article","fieldsOfStudy":null,"isOpenAccess":false,"openAccessPdf":"https://www.ncbi.nlm.nih.gov/pmc/articles/PMC11666260/pdf/","citationCount":"0","resultStr":null,"platform":"Semanticscholar","paperid":null,"PeriodicalName":"Case Reports in Gastroenterology","FirstCategoryId":"1085","ListUrlMain":"https://doi.org/10.1159/000542711","RegionNum":0,"RegionCategory":null,"ArticlePicture":[],"TitleCN":null,"AbstractTextCN":null,"PMCID":null,"EPubDate":"2025/1/1 0:00:00","PubModel":"eCollection","JCR":"Q4","JCRName":"GASTROENTEROLOGY & HEPATOLOGY","Score":null,"Total":0}
引用次数: 0

Abstract

Introduction: Acute severe ulcerative colitis (ASUC) represents a medical emergency associated with high mortality and morbidity. While corticosteroids are the primary treatment, cases that are unresponsive often require rescue therapy with either infliximab or cyclosporine to reduce the rate of colectomy. Janus kinase inhibitors, such as tofacitinib and upadacitinib, are a highly efficacious therapy with rapid induction of clinical response in moderate to severe ulcerative colitis (UC). Limited data are available on its use on ASUC. We present the first case utilizing upadacitinib as sequential medical rescue therapy in ASUC as well as intestinal ultrasound as a useful tool for disease and response monitoring.

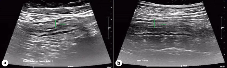
Case presentation: A 69-year-old female who presented with corticosteroid-refractory ASUC partially responded to dose-intensified infliximab and finally achieved clinical remission with upadacitinib. This resulted in swift clinical remission and significant improvement in her mucosal inflammation on intestinal ultrasound.

Conclusion: This successful intervention not only avoided colectomy but demonstrated sustained clinical and sonographic remission 16 weeks of post-treatment. Upadacitinib, with its rapid action and efficacy, shows promise in ASUC and should be supported by registration trials and real-world studies. Despite successful outcomes in this case, further validation and long-term data are necessary.

Abstract Image

Abstract Image

Abstract Image

Upadacitinib作为急性重度溃疡性结肠炎的序贯挽救治疗:1例报告。
简介:急性严重溃疡性结肠炎(ASUC)是一种与高死亡率和发病率相关的医学急诊。虽然皮质类固醇是主要的治疗方法,但对无反应的病例通常需要用英夫利昔单抗或环孢素进行抢救治疗,以减少结肠切除术的发生率。Janus激酶抑制剂,如托法替尼和upadacitinib,是一种高效的治疗方法,可快速诱导中重度溃疡性结肠炎(UC)的临床反应。关于其在ASUC上的使用数据有限。我们提出了第一个使用upadacitinib作为ASUC序贯医学抢救治疗的病例,以及肠道超声作为疾病和反应监测的有用工具。病例介绍:一名69岁的女性出现皮质类固醇难治性ASUC,对剂量强化的英夫利昔单抗有部分反应,最终使用upadacitinib获得临床缓解。这导致临床迅速缓解,肠超声检查显示她的粘膜炎症有了显著改善。结论:这种成功的干预不仅避免了结肠切除术,而且在治疗后16周表现出持续的临床和超声缓解。Upadacitinib具有快速作用和疗效,在ASUC中显示出希望,应该得到注册试验和现实世界研究的支持。尽管在这种情况下成功的结果,进一步的验证和长期的数据是必要的。
本文章由计算机程序翻译,如有差异,请以英文原文为准。
求助全文
约1分钟内获得全文 求助全文
来源期刊
Case Reports in Gastroenterology
Case Reports in Gastroenterology Medicine-Gastroenterology
CiteScore
1.10
自引率
0.00%
发文量
99
审稿时长
7 weeks
期刊介绍:
×
引用
GB/T 7714-2015
复制
MLA
复制
APA
复制
导出至
BibTeX EndNote RefMan NoteFirst NoteExpress
×
提示
您的信息不完整,为了账户安全,请先补充。
现在去补充
×
提示
您因"违规操作"
具体请查看互助需知
我知道了
×
提示
确定
请完成安全验证×
copy
已复制链接
快去分享给好友吧!
我知道了
右上角分享
点击右上角分享
0
联系我们:info@booksci.cn Book学术提供免费学术资源搜索服务,方便国内外学者检索中英文文献。致力于提供最便捷和优质的服务体验。 Copyright © 2023 布克学术 All rights reserved.
京ICP备2023020795号-1
ghs 京公网安备 11010802042870号
Book学术文献互助
Book学术文献互助群
群 号:604180095
Book学术官方微信