Steroid-Refractory Immune-Related Hepatitis Caused by Pembrolizumab with Stage IVB Non-Small Cell Lung Cancer: A Case Report.

IF 0.6 Q4 GASTROENTEROLOGY & HEPATOLOGY
Case Reports in Gastroenterology Pub Date : 2024-12-23 eCollection Date: 2025-01-01 DOI:10.1159/000542598
Tomomi Hamaguchi, Makoto Ueno, Satoshi Kobayashi, Shun Tezuka, Manabu Morimoto, Terufumi Kato, Haruhiro Saito, Shinya Sato, Junji Furuse, Shin Maeda
{"title":"Steroid-Refractory Immune-Related Hepatitis Caused by Pembrolizumab with Stage IVB Non-Small Cell Lung Cancer: A Case Report.","authors":"Tomomi Hamaguchi, Makoto Ueno, Satoshi Kobayashi, Shun Tezuka, Manabu Morimoto, Terufumi Kato, Haruhiro Saito, Shinya Sato, Junji Furuse, Shin Maeda","doi":"10.1159/000542598","DOIUrl":null,"url":null,"abstract":"<p><strong>Introduction: </strong>We report the case of a man in his 50s with stage IVB non-small cell lung cancer who developed severe immune-related hepatitis caused by pembrolizumab.</p><p><strong>Case presentation: </strong>He received carboplatin, pemetrexed, and pembrolizumab as first-line therapy. After four courses, each of the triplet regimen and maintenance therapy with pemetrexed and pembrolizumab, the patient developed immune-related pneumonitis and colitis. Therefore, pemetrexed and pembrolizumab were discontinued, and 0.5 mg/kg/day prednisolone was started. Despite gradual reduction of the prednisolone to 15 mg/day along with resolution of the pneumonitis and colitis, hepatic dysfunction occurred (elevated serum bilirubin and transaminase levels). We made a diagnosis of immune-related hepatitis based on liver biopsy results and negative results for other causes, such as viral infection. We increased the prednisolone dose to 2 mg/kg/day; however, the hepatic dysfunction was not resolved. Upon sequential methylprednisolone pulse therapy (1,000 mg/day), mycophenolate mofetil, and azathioprine treatment, the hepatic dysfunction plateaued but was not resolved. The patient did not respond to steroids for immune-related hepatitis, developed infectious enteritis owing to a compromised state, and died of sepsis on day 107 after diagnosis of immune-related hepatitis.</p><p><strong>Conclusion: </strong>This case highlights the importance of early diagnosis of steroid-refractory disease, prompt initiation of immunosuppressive agents, and steroid dose reduction in such cases. The changes in liver function during steroid non-response and immunosuppressive drug induction in this case are valuable as a reference for future cases of immune-related adverse event hepatitis.</p>","PeriodicalId":9614,"journal":{"name":"Case Reports in Gastroenterology","volume":"19 1","pages":"14-21"},"PeriodicalIF":0.6000,"publicationDate":"2024-12-23","publicationTypes":"Journal Article","fieldsOfStudy":null,"isOpenAccess":false,"openAccessPdf":"https://www.ncbi.nlm.nih.gov/pmc/articles/PMC11666266/pdf/","citationCount":"0","resultStr":null,"platform":"Semanticscholar","paperid":null,"PeriodicalName":"Case Reports in Gastroenterology","FirstCategoryId":"1085","ListUrlMain":"https://doi.org/10.1159/000542598","RegionNum":0,"RegionCategory":null,"ArticlePicture":[],"TitleCN":null,"AbstractTextCN":null,"PMCID":null,"EPubDate":"2025/1/1 0:00:00","PubModel":"eCollection","JCR":"Q4","JCRName":"GASTROENTEROLOGY & HEPATOLOGY","Score":null,"Total":0}
引用次数: 0

Abstract

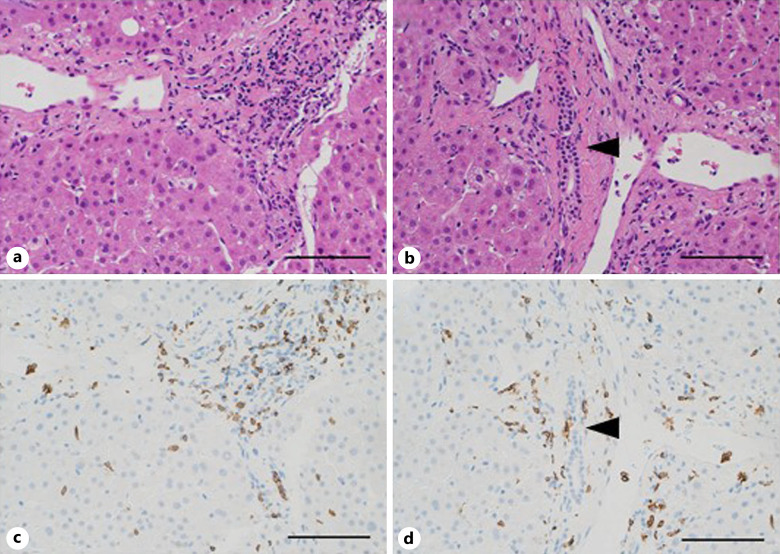
Introduction: We report the case of a man in his 50s with stage IVB non-small cell lung cancer who developed severe immune-related hepatitis caused by pembrolizumab.

Case presentation: He received carboplatin, pemetrexed, and pembrolizumab as first-line therapy. After four courses, each of the triplet regimen and maintenance therapy with pemetrexed and pembrolizumab, the patient developed immune-related pneumonitis and colitis. Therefore, pemetrexed and pembrolizumab were discontinued, and 0.5 mg/kg/day prednisolone was started. Despite gradual reduction of the prednisolone to 15 mg/day along with resolution of the pneumonitis and colitis, hepatic dysfunction occurred (elevated serum bilirubin and transaminase levels). We made a diagnosis of immune-related hepatitis based on liver biopsy results and negative results for other causes, such as viral infection. We increased the prednisolone dose to 2 mg/kg/day; however, the hepatic dysfunction was not resolved. Upon sequential methylprednisolone pulse therapy (1,000 mg/day), mycophenolate mofetil, and azathioprine treatment, the hepatic dysfunction plateaued but was not resolved. The patient did not respond to steroids for immune-related hepatitis, developed infectious enteritis owing to a compromised state, and died of sepsis on day 107 after diagnosis of immune-related hepatitis.

Conclusion: This case highlights the importance of early diagnosis of steroid-refractory disease, prompt initiation of immunosuppressive agents, and steroid dose reduction in such cases. The changes in liver function during steroid non-response and immunosuppressive drug induction in this case are valuable as a reference for future cases of immune-related adverse event hepatitis.

Abstract Image

Abstract Image

Abstract Image

派姆单抗引起的类固醇难治性免疫相关性肝炎伴IVB期非小细胞肺癌1例报告
我们报告一例50多岁的IVB期非小细胞肺癌患者,由派姆单抗引起严重的免疫相关性肝炎。病例介绍:他接受卡铂、培美曲塞和派姆单抗作为一线治疗。经过四个疗程,每个疗程的三联方案和培美曲塞和派姆单抗的维持治疗后,患者发生了免疫相关性肺炎和结肠炎。因此,培美曲塞和派姆单抗停用,开始使用0.5 mg/kg/天的强的松龙。尽管随着肺炎和结肠炎的缓解,强的松龙逐渐减少到15mg /天,但肝功能障碍仍发生(血清胆红素和转氨酶水平升高)。根据肝活检结果和其他原因(如病毒感染)的阴性结果,我们诊断为免疫相关性肝炎。我们将强的松龙剂量增加到2mg /kg/天;但肝功能不全未得到解决。经序贯甲基强的松龙脉冲治疗(1000mg /天)、霉酚酸酯和硫唑嘌呤治疗后,肝功能稳定,但未得到解决。该患者对免疫相关性肝炎的类固醇治疗无反应,由于受损状态而发展为感染性肠炎,在诊断为免疫相关性肝炎后的第107天死于败血症。结论:本病例强调了早期诊断类固醇难治性疾病、及时使用免疫抑制剂和减少类固醇剂量的重要性。本例患者在类固醇无反应和免疫抑制药物诱导期间肝功能的变化,可作为未来免疫相关不良事件肝炎病例的参考。
本文章由计算机程序翻译,如有差异,请以英文原文为准。
求助全文
约1分钟内获得全文 求助全文
来源期刊
Case Reports in Gastroenterology
Case Reports in Gastroenterology Medicine-Gastroenterology
CiteScore
1.10
自引率
0.00%
发文量
99
审稿时长
7 weeks
期刊介绍:
×
引用
GB/T 7714-2015
复制
MLA
复制
APA
复制
导出至
BibTeX EndNote RefMan NoteFirst NoteExpress
×
提示
您的信息不完整,为了账户安全,请先补充。
现在去补充
×
提示
您因"违规操作"
具体请查看互助需知
我知道了
×
提示
确定
请完成安全验证×
copy
已复制链接
快去分享给好友吧!
我知道了
右上角分享
点击右上角分享
0
联系我们:info@booksci.cn Book学术提供免费学术资源搜索服务,方便国内外学者检索中英文文献。致力于提供最便捷和优质的服务体验。 Copyright © 2023 布克学术 All rights reserved.
京ICP备2023020795号-1
ghs 京公网安备 11010802042870号
Book学术文献互助
Book学术文献互助群
群 号:604180095
Book学术官方微信