Retinal Vasculitis in the Setting of Mycobacterium tuberculosis Exposure: Clinical Course and Management of Three Cases.

IF 0.6 Q4 OPHTHALMOLOGY
Case Reports in Ophthalmology Pub Date : 2024-12-10 eCollection Date: 2025-01-01 DOI:10.1159/000542075
Lauren C Kiryakoza, Jesse D Sengillo, Maria Paula Fernandez, Avinash Pathengay, Thomas A Albini, Harry W Flynn
{"title":"Retinal Vasculitis in the Setting of <i>Mycobacterium tuberculosis</i> Exposure: Clinical Course and Management of Three Cases.","authors":"Lauren C Kiryakoza, Jesse D Sengillo, Maria Paula Fernandez, Avinash Pathengay, Thomas A Albini, Harry W Flynn","doi":"10.1159/000542075","DOIUrl":null,"url":null,"abstract":"<p><strong>Introduction: </strong>Retinal vasculitis in the setting of positive <i>Mycobacterium tuberculosis</i> (mTB) exposure represents an important diagnostic dilemma. Tubercular retinal vasculitis (TRV) is a recognized clinical entity, but it previously lacked diagnostic consensus. It shares clinical features with cases diagnosed as Eales disease. A precise distinction between the entities is lacking. Historically, Eales disease represented an idiopathic, obliterative retinal vasculitis seen in young males. Research has identified a potential relationship of Eales to mTB exposure, but the exact role of the organism is unclear, and the label \"Eales disease\" is reserved for truly idiopathic cases. We present the clinical course of 3 patients with retinal vasculitis and mTB exposure who were managed prior to group consensus guidelines for management of TRV. We discuss the evolving clinical meaning of Eales disease and review consensus TRV management guidelines.</p><p><strong>Case presentation: </strong>The clinical course of 3 patients with retinal vasculitis and mTB exposure were reviewed. Two patients were male, and 1 was female. Mean age at presentation was 56.8 years. Mean follow-up was 119.5 months. Mean presenting visual acuity was Snellen 20/25 in the right eye and 20/30 in the left eye. Mean visual acuity at final visit was 20/30 in both eyes. All 3 patients received antitubercular therapy (ATT). Two patients underwent retinal laser photocoagulation in one or both eyes. Two patients experienced multiple episodes of vitreous hemorrhage. One patient underwent pars plana vitrectomy for non-clearing vitreous hemorrhage in both eyes.</p><p><strong>Conclusion: </strong>The cases demonstrate the potential diagnostic and management variability created by the overlapping features of Eales disease and TRV. All 3 cases had some form of positive mTB testing (radiologic, immunologic, or both) and received different ATT regimens. Case 1 was labeled Eales disease, and cases 2 and 3 were labeled TRV. All 3 had favorable outcomes but only with control of the inflammation and neovascular complications. Recent consensus guidelines now provide guidance on ATT initiation in cases of TRV.</p>","PeriodicalId":9635,"journal":{"name":"Case Reports in Ophthalmology","volume":"16 1","pages":"18-26"},"PeriodicalIF":0.6000,"publicationDate":"2024-12-10","publicationTypes":"Journal Article","fieldsOfStudy":null,"isOpenAccess":false,"openAccessPdf":"https://www.ncbi.nlm.nih.gov/pmc/articles/PMC11842010/pdf/","citationCount":"0","resultStr":null,"platform":"Semanticscholar","paperid":null,"PeriodicalName":"Case Reports in Ophthalmology","FirstCategoryId":"1085","ListUrlMain":"https://doi.org/10.1159/000542075","RegionNum":0,"RegionCategory":null,"ArticlePicture":[],"TitleCN":null,"AbstractTextCN":null,"PMCID":null,"EPubDate":"2025/1/1 0:00:00","PubModel":"eCollection","JCR":"Q4","JCRName":"OPHTHALMOLOGY","Score":null,"Total":0}
引用次数: 0

Abstract

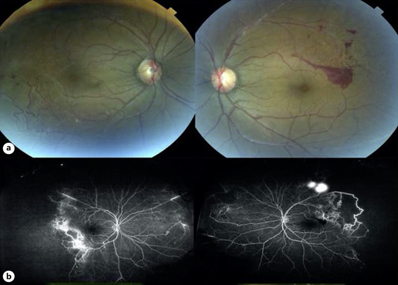
Introduction: Retinal vasculitis in the setting of positive Mycobacterium tuberculosis (mTB) exposure represents an important diagnostic dilemma. Tubercular retinal vasculitis (TRV) is a recognized clinical entity, but it previously lacked diagnostic consensus. It shares clinical features with cases diagnosed as Eales disease. A precise distinction between the entities is lacking. Historically, Eales disease represented an idiopathic, obliterative retinal vasculitis seen in young males. Research has identified a potential relationship of Eales to mTB exposure, but the exact role of the organism is unclear, and the label "Eales disease" is reserved for truly idiopathic cases. We present the clinical course of 3 patients with retinal vasculitis and mTB exposure who were managed prior to group consensus guidelines for management of TRV. We discuss the evolving clinical meaning of Eales disease and review consensus TRV management guidelines.

Case presentation: The clinical course of 3 patients with retinal vasculitis and mTB exposure were reviewed. Two patients were male, and 1 was female. Mean age at presentation was 56.8 years. Mean follow-up was 119.5 months. Mean presenting visual acuity was Snellen 20/25 in the right eye and 20/30 in the left eye. Mean visual acuity at final visit was 20/30 in both eyes. All 3 patients received antitubercular therapy (ATT). Two patients underwent retinal laser photocoagulation in one or both eyes. Two patients experienced multiple episodes of vitreous hemorrhage. One patient underwent pars plana vitrectomy for non-clearing vitreous hemorrhage in both eyes.

Conclusion: The cases demonstrate the potential diagnostic and management variability created by the overlapping features of Eales disease and TRV. All 3 cases had some form of positive mTB testing (radiologic, immunologic, or both) and received different ATT regimens. Case 1 was labeled Eales disease, and cases 2 and 3 were labeled TRV. All 3 had favorable outcomes but only with control of the inflammation and neovascular complications. Recent consensus guidelines now provide guidance on ATT initiation in cases of TRV.

Abstract Image

Abstract Image

Abstract Image

结核分枝杆菌暴露环境下视网膜血管炎:3例临床过程与处理。
简介:视网膜血管炎在设定阳性结核分枝杆菌(mTB)暴露是一个重要的诊断困境。结核性视网膜血管炎(TRV)是公认的临床实体,但以前缺乏诊断共识。它与诊断为Eales病的病例具有相同的临床特征。这两个实体之间缺乏精确的区分。从历史上看,Eales病是一种特发性、闭塞性视网膜血管炎,常见于年轻男性。研究已经确定了Eales与mTB暴露的潜在关系,但该生物体的确切作用尚不清楚,并且“Eales病”的标签是为真正的特发性病例保留的。我们提出了3例视网膜血管炎和mTB暴露患者的临床过程,这些患者在TRV管理的小组共识指南之前进行了管理。我们讨论不断发展的临床意义的Eales病和审查共识TRV管理指南。病例介绍:回顾了3例视网膜血管炎伴mTB暴露的临床过程。男性2例,女性1例。就诊时平均年龄为56.8岁。平均随访119.5个月。平均表现视力为右眼20/25,左眼20/30。复诊时双眼平均视力为20/30。3例患者均接受抗结核治疗(ATT)。2例患者单眼或双眼行视网膜激光光凝。2例患者多次发生玻璃体出血。1例患者因双眼玻璃体出血不清而行玻璃体切除术。结论:这些病例显示了Eales病和TRV的重叠特征所造成的潜在诊断和治疗的可变性。所有3例均有某种形式的mTB检测阳性(放射学、免疫学或两者都有),并接受了不同的结核分枝杆菌治疗方案。病例1标记为Eales病,病例2和病例3标记为TRV。所有3例患者均有良好的预后,但仅在炎症和新血管并发症得到控制的情况下。最近的协商一致准则现在为在TRV情况下启动ATT提供指导。
本文章由计算机程序翻译,如有差异,请以英文原文为准。
求助全文
约1分钟内获得全文 求助全文
来源期刊
CiteScore
0.90
自引率
0.00%
发文量
129
审稿时长
12 weeks
期刊介绍: This peer-reviewed online-only journal publishes original case reports covering the entire spectrum of ophthalmology, including prevention, diagnosis, treatment, toxicities of therapy, supportive care, quality-of-life, and survivorship issues. The submission of negative results is strongly encouraged. The journal will also accept case reports dealing with the use of novel technologies, both in the arena of diagnosis and treatment. Supplementary material is welcomed. The intent of the journal is to provide clinicians and researchers with a tool to disseminate their personal experiences to a wider public as well as to review interesting cases encountered by colleagues all over the world. Universally used terms can be searched across the entire growing collection of case reports, further facilitating the retrieval of specific information. Following the open access principle, the entire contents can be retrieved at no charge, guaranteeing easy access to this valuable source of anecdotal information at all times.
×
引用
GB/T 7714-2015
复制
MLA
复制
APA
复制
导出至
BibTeX EndNote RefMan NoteFirst NoteExpress
×
提示
您的信息不完整,为了账户安全,请先补充。
现在去补充
×
提示
您因"违规操作"
具体请查看互助需知
我知道了
×
提示
确定
请完成安全验证×
copy
已复制链接
快去分享给好友吧!
我知道了
右上角分享
点击右上角分享
0
联系我们:info@booksci.cn Book学术提供免费学术资源搜索服务,方便国内外学者检索中英文文献。致力于提供最便捷和优质的服务体验。 Copyright © 2023 布克学术 All rights reserved.
京ICP备2023020795号-1
ghs 京公网安备 11010802042870号
Book学术文献互助
Book学术文献互助群
群 号:604180095
Book学术官方微信