Intrahepatic Cholangiocarcinoma with BRCA Mutation Achieved Pathological Complete Response after Neoadjuvant Gemcitabine, Cisplatin, and S-1 Therapy: A Case Report.

IF 0.7 Q4 SURGERY
Surgical Case Reports Pub Date : 2025-01-01 Epub Date: 2025-01-31 DOI:10.70352/scrj.cr.24-0042
Yoshifumi Morita, Koki Oda, Akio Matsumoto, Shinya Ida, Ryo Kitajima, Satoru Furuhashi, Makoto Takeda, Hirotoshi Kikuchi, Yoshihiro Hiramatsu, Jun Ito, Takeshi Chida, Hidenao Noritake, Kazuhito Kawata, Yuka Nagakura, Mana Goto, Satoshi Baba, Hiroya Takeuchi
{"title":"Intrahepatic Cholangiocarcinoma with <i>BRCA</i> Mutation Achieved Pathological Complete Response after Neoadjuvant Gemcitabine, Cisplatin, and S-1 Therapy: A Case Report.","authors":"Yoshifumi Morita, Koki Oda, Akio Matsumoto, Shinya Ida, Ryo Kitajima, Satoru Furuhashi, Makoto Takeda, Hirotoshi Kikuchi, Yoshihiro Hiramatsu, Jun Ito, Takeshi Chida, Hidenao Noritake, Kazuhito Kawata, Yuka Nagakura, Mana Goto, Satoshi Baba, Hiroya Takeuchi","doi":"10.70352/scrj.cr.24-0042","DOIUrl":null,"url":null,"abstract":"<p><strong>Introduction: </strong>Intrahepatic cholangiocarcinoma (ICC) is a highly malignant cancer for which surgery is the only curative treatment. The prognosis of ICC is extremely poor, especially in cases of lymph node metastasis (LNM), owing to the high postoperative recurrence rate. Herein, we present a case of advanced ICC with a breast cancer susceptibility gene-2 (<i>BRCA2</i>) mutation, treated with preoperative chemotherapy, including cisplatin, followed by surgery, in which we achieved a pathologic complete response.</p><p><strong>Case presentation: </strong>A 52-year-old woman was referred to our hospital and was subsequently diagnosed with bilateral breast cancer. Computed tomography (CT) and magnetic resonance imaging incidentally detected a liver tumor in the hilar region and lymph node enlargement in the hepatoduodenal ligament. A 19 mm tumor was observed in the area surrounded by the right and left branches of the portal vein and an abnormal portal branch of segment 7. Positron emission tomography-CT showed fluorodeoxyglucose uptake in the liver tumor, hepatoduodenal ligament lymph nodes, and bilateral breasts. A tumor biopsy showed a papillary tumor, and ICC was suspected. As ICC with LNM has a poor prognosis, neoadjuvant chemotherapy was planned. Genetic testing using a blood sample revealed a <i>BRCA2</i> mutation, indicating the patient would benefit from chemotherapy, particularly cisplatin. The patient received a chemotherapy regimen comprised of gemcitabine, cisplatin, and S-1 (GCS), and after 7 courses, her carbohydrate antigen 19-9 level decreased from 2433 to 15 U/mL. CT showed that the tumor had shrunk and the LNMs were indistinct. The patient was referred to our department for curative surgery, which included a left hepatectomy, caudate lobectomy, hepatoduodenal ligament lymph node dissection, bile duct resection, and choledocojejunostomy. The postoperative course was generally uneventful, and the patient was discharged on postoperative day 18. Pathological examination of the resected specimen revealed an absence of malignant cells. At 24 months postoperative, there was no evidence of recurrence.</p><p><strong>Conclusions: </strong>We encountered a patient with advanced ICC with a <i>BRCA2</i> mutation, which was successfully treated with preoperative GCS therapy followed by surgical resection, and a pathologic complete response was achieved. GCS therapy, therefore, appears promising as neoadjuvant chemotherapy for the treatment of ICC.</p>","PeriodicalId":22096,"journal":{"name":"Surgical Case Reports","volume":"11 1","pages":""},"PeriodicalIF":0.7000,"publicationDate":"2025-01-01","publicationTypes":"Journal Article","fieldsOfStudy":null,"isOpenAccess":false,"openAccessPdf":"https://www.ncbi.nlm.nih.gov/pmc/articles/PMC11835984/pdf/","citationCount":"0","resultStr":null,"platform":"Semanticscholar","paperid":null,"PeriodicalName":"Surgical Case Reports","FirstCategoryId":"1085","ListUrlMain":"https://doi.org/10.70352/scrj.cr.24-0042","RegionNum":0,"RegionCategory":null,"ArticlePicture":[],"TitleCN":null,"AbstractTextCN":null,"PMCID":null,"EPubDate":"2025/1/31 0:00:00","PubModel":"Epub","JCR":"Q4","JCRName":"SURGERY","Score":null,"Total":0}
引用次数: 0

Abstract

Introduction: Intrahepatic cholangiocarcinoma (ICC) is a highly malignant cancer for which surgery is the only curative treatment. The prognosis of ICC is extremely poor, especially in cases of lymph node metastasis (LNM), owing to the high postoperative recurrence rate. Herein, we present a case of advanced ICC with a breast cancer susceptibility gene-2 (BRCA2) mutation, treated with preoperative chemotherapy, including cisplatin, followed by surgery, in which we achieved a pathologic complete response.

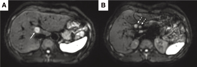
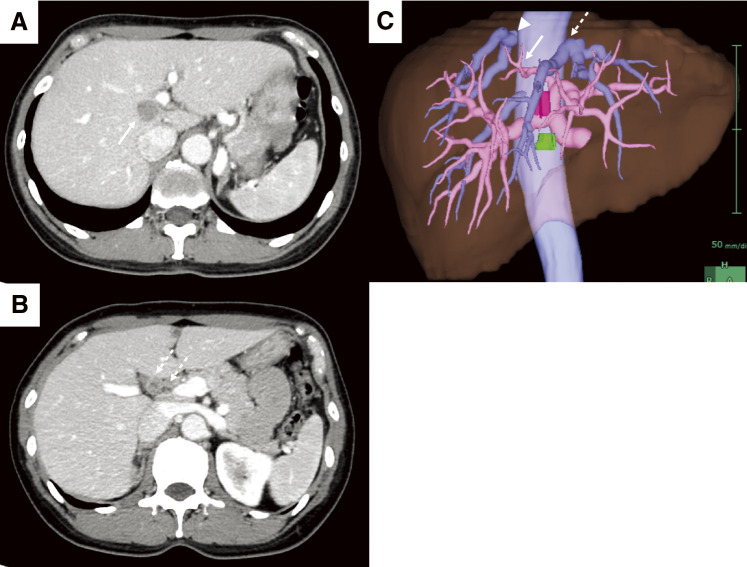
Case presentation: A 52-year-old woman was referred to our hospital and was subsequently diagnosed with bilateral breast cancer. Computed tomography (CT) and magnetic resonance imaging incidentally detected a liver tumor in the hilar region and lymph node enlargement in the hepatoduodenal ligament. A 19 mm tumor was observed in the area surrounded by the right and left branches of the portal vein and an abnormal portal branch of segment 7. Positron emission tomography-CT showed fluorodeoxyglucose uptake in the liver tumor, hepatoduodenal ligament lymph nodes, and bilateral breasts. A tumor biopsy showed a papillary tumor, and ICC was suspected. As ICC with LNM has a poor prognosis, neoadjuvant chemotherapy was planned. Genetic testing using a blood sample revealed a BRCA2 mutation, indicating the patient would benefit from chemotherapy, particularly cisplatin. The patient received a chemotherapy regimen comprised of gemcitabine, cisplatin, and S-1 (GCS), and after 7 courses, her carbohydrate antigen 19-9 level decreased from 2433 to 15 U/mL. CT showed that the tumor had shrunk and the LNMs were indistinct. The patient was referred to our department for curative surgery, which included a left hepatectomy, caudate lobectomy, hepatoduodenal ligament lymph node dissection, bile duct resection, and choledocojejunostomy. The postoperative course was generally uneventful, and the patient was discharged on postoperative day 18. Pathological examination of the resected specimen revealed an absence of malignant cells. At 24 months postoperative, there was no evidence of recurrence.

Conclusions: We encountered a patient with advanced ICC with a BRCA2 mutation, which was successfully treated with preoperative GCS therapy followed by surgical resection, and a pathologic complete response was achieved. GCS therapy, therefore, appears promising as neoadjuvant chemotherapy for the treatment of ICC.

Abstract Image

Abstract Image

Abstract Image

伴有BRCA突变的肝内胆管癌在新辅助吉西他滨、顺铂和S-1治疗后达到病理完全缓解:1例报告
简介:肝内胆管癌(ICC)是一种高度恶性肿瘤,手术是唯一的治疗方法。由于术后复发率高,ICC预后极差,尤其是淋巴结转移(LNM)。在此,我们报告了一例晚期ICC伴乳腺癌易感基因2 (BRCA2)突变的病例,术前化疗,包括顺铂,随后手术,我们实现了病理完全缓解。病例介绍:一名52岁女性被转介至我院,随后被诊断为双侧乳腺癌。计算机断层扫描(CT)和磁共振成像偶然发现肝门区肿瘤和肝十二指肠韧带淋巴结肿大。在门静脉左右支及门静脉第7段异常支周围可见一19 mm肿瘤。正电子发射断层扫描显示肝脏肿瘤、肝十二指肠韧带淋巴结和双侧乳房有氟脱氧葡萄糖摄取。肿瘤活检显示乳头状肿瘤,怀疑ICC。由于ICC合并LNM预后较差,我们计划进行新辅助化疗。使用血液样本的基因检测显示BRCA2突变,表明患者将受益于化疗,特别是顺铂。患者接受由吉西他滨、顺铂、S-1 (GCS)组成的化疗方案,7个疗程后,患者的碳水化合物抗原19-9水平从2433降至15 U/mL。CT显示肿瘤缩小,LNMs模糊。患者转诊至我科行根治性手术,包括左肝切除术、尾状叶切除术、肝十二指肠韧带淋巴结清扫术、胆管切除术、胆肠吻合术。术后过程一般顺利,患者于术后第18天出院。切除标本的病理检查显示没有恶性细胞。术后24个月,无复发迹象。结论:我们遇到了一名BRCA2突变的晚期ICC患者,该患者通过术前GCS治疗和手术切除成功治疗,并获得了病理完全缓解。因此,GCS治疗作为治疗ICC的新辅助化疗似乎很有希望。
本文章由计算机程序翻译,如有差异,请以英文原文为准。
求助全文
约1分钟内获得全文 求助全文
来源期刊
自引率
0.00%
发文量
218
审稿时长
13 weeks
×
引用
GB/T 7714-2015
复制
MLA
复制
APA
复制
导出至
BibTeX EndNote RefMan NoteFirst NoteExpress
×
提示
您的信息不完整,为了账户安全,请先补充。
现在去补充
×
提示
您因"违规操作"
具体请查看互助需知
我知道了
×
提示
确定
请完成安全验证×
copy
已复制链接
快去分享给好友吧!
我知道了
右上角分享
点击右上角分享
0
联系我们:info@booksci.cn Book学术提供免费学术资源搜索服务,方便国内外学者检索中英文文献。致力于提供最便捷和优质的服务体验。 Copyright © 2023 布克学术 All rights reserved.
京ICP备2023020795号-1
ghs 京公网安备 11010802042870号
Book学术文献互助
Book学术文献互助群
群 号:604180095
Book学术官方微信